Suppr超能文献

褪黑素与负载内皮细胞的海藻酸盐-纤维蛋白水凝胶促进了移植到异位部位的大鼠冻融卵巢中的血管生成。

Melatonin and endothelial cell-loaded alginate-fibrin hydrogel promoted angiogenesis in rat cryopreserved/thawed ovaries transplanted to the heterotopic sites.

作者信息

Izadpanah Melika, Del Bakhshayesh Azizeh Rahmani, Bahroudi Zahra, Seghinsara Abbas Majdi, Beheshti Rahim, Mahdipour Mahdi, Zarnaghi Mahsa Rezaii, Hassanpour Parisa, Mardi Narges, Rahbarghazi Reza, Abedelahi Ali

机构信息

Department of Anatomical Sciences, Faculty of Medicine, Tabriz University of Medical Sciences, Tabriz, 5166714766, Iran.

Department of Tissue Engineering, Faculty of Advanced Medical Sciences, Tabriz University of Medical Sciences, Tabriz, Iran.

出版信息

J Biol Eng. 2023 Mar 28;17(1):23. doi: 10.1186/s13036-023-00343-x.

Abstract

BACKGROUND

Ischemic niche can promote follicular atresia following the transplantation of cryopreserved/thawed ovaries to the heterotopic sites. Thus, the promotion of blood supply is an effective strategy to inhibit/reduce the ischemic damage to ovarian follicles. Here, the angiogenic potential of alginate (Alg) + fibrin (Fib) hydrogel enriched with melatonin (Mel) and CD144 endothelial cells (ECs) was assessed on encapsulated cryopreserved/thawed ovaries following transplantation to heterotopic sites in rats.

METHODS

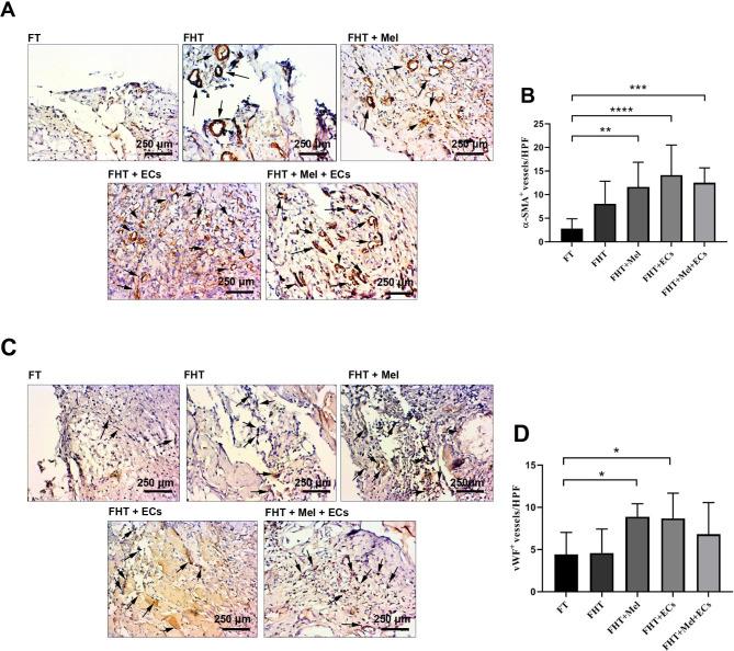
Alg + Fib hydrogel was fabricated by combining 2% (w/v) sodium Alg, 1% (w/v) Fib, and 5 IU thrombin at a ratio of 4: 2: 1, respectively. The mixture was solidified using 1% CaCl. Using FTIR, SEM, swelling rate, and biodegradation assay, the physicochemical properties of Alg + Fib hydrogel were evaluated. The EC viability was examined using an MTT assay. Thirty-six adult female rats (aged between 6 and 8 weeks) with a normal estrus cycle were ovariectomized and enrolled in this study. Cryopreserved/thawed ovaries were encapsulated in Alg + Fib hydrogel containing 100 µM Mel + CD144 ECs (2 × 10 cells/ml) and transplanted into the subcutaneous region. Ovaries were removed after 14 days and the expression of Ang-1, and Ang-2 was monitored using real-time PCR assay. The number of vWF and α-SMA vessels was assessed using IHC staining. Using Masson's trichrome staining, fibrotic changes were evaluated.

RESULTS

FTIR data indicated successful interaction of Alg with Fib in the presence of ionic cross-linker (1% CaCl). Data confirmed higher biodegradation and swelling rates in Alg + Fib hydrogel compared to the Alg group (p < 0.05). Increased viability was achieved in encapsulated CD144 ECs compared to the control group (p < 0.05). IF analysis showed the biodistribution of Dil ECs within hydrogel two weeks after transplantation. The ratio of Ang-2/Ang-1 was statistically up-regulated in the rats that received Alg + Fib + Mel hydrogel compared to the control-matched groups (p < 0.05). Based on the data, the addition of Mel and CD144 ECs to Alg + Fib hydrogel reduced fibrotic changes. Along with these changes, the number of vWF and α-SMA vessels was increased in the presence of Mel and CD144 ECs.

CONCLUSIONS

Co-administration of Alg + Fib with Mel and CD144 ECs induced angiogenesis toward encapsulated cryopreserved/thawed ovarian transplants, resulting in reduced fibrotic changes.

摘要

背景

缺血微环境可促进冷冻保存/解冻后的卵巢移植到异位部位后的卵泡闭锁。因此,促进血液供应是抑制/减少卵巢卵泡缺血损伤的有效策略。在此,评估了富含褪黑素(Mel)和CD144内皮细胞(ECs)的海藻酸盐(Alg)+纤维蛋白(Fib)水凝胶对大鼠异位移植的冷冻保存/解冻卵巢的血管生成潜力。

方法

通过分别以4:2:1的比例混合2%(w/v)海藻酸钠、1%(w/v)纤维蛋白和5 IU凝血酶来制备Alg+Fib水凝胶。使用1%氯化钙使混合物固化。通过傅里叶变换红外光谱(FTIR)、扫描电子显微镜(SEM)、溶胀率和生物降解试验评估Alg+Fib水凝胶的物理化学性质。使用MTT法检测内皮细胞活力。36只处于正常发情周期的成年雌性大鼠(6至8周龄)接受卵巢切除术并纳入本研究。将冷冻保存/解冻的卵巢封装在含有100 µM Mel+CD144 ECs(2×10个细胞/ml)的Alg+Fib水凝胶中,并移植到皮下区域。14天后取出卵巢,使用实时聚合酶链反应(PCR)检测血管生成素-1(Ang-1)和血管生成素-2(Ang-2)的表达。使用免疫组织化学(IHC)染色评估血管性血友病因子(vWF)和α-平滑肌肌动蛋白(α-SMA)血管的数量。使用Masson三色染色评估纤维化变化。

结果

FTIR数据表明在离子交联剂(1%氯化钙)存在下Alg与Fib成功相互作用。数据证实Alg+Fib水凝胶的生物降解率和溶胀率高于Alg组(p<0.05)。与对照组相比,封装的CD144 ECs活力增加(p<0.05)。免疫荧光(IF)分析显示移植两周后Dil标记的内皮细胞在水凝胶中的生物分布。与对照匹配组相比,接受Alg+Fib+Mel水凝胶的大鼠中Ang-2/Ang-1的比例在统计学上上调(p<0.05)。基于这些数据,向Alg+Fib水凝胶中添加Mel和CD144 ECs可减少纤维化变化。伴随这些变化,在Mel和CD144 ECs存在的情况下,vWF和α-SMA血管的数量增加。

结论

Alg+Fib与Mel和CD144 ECs联合给药可诱导朝向封装的冷冻保存/解冻卵巢移植物的血管生成,从而减少纤维化变化。

https://cdn.ncbi.nlm.nih.gov/pmc/blobs/c4e2/10053723/899c24c2befe/13036_2023_343_Fig1_HTML.jpg

文献AI研究员

20分钟写一篇综述,助力文献阅读效率提升50倍。

立即体验

用中文搜PubMed

大模型驱动的PubMed中文搜索引擎

马上搜索

文档翻译

学术文献翻译模型,支持多种主流文档格式。

立即体验