Suppr超能文献

乌桕野蜂蜜逆转高糖高脂肪饮食诱导大鼠代谢紊乱的机制。

The Mechanism of Kelulut Honey in Reversing Metabolic Changes in Rats Fed with High-Carbohydrate High-Fat Diet.

机构信息

Department of Anatomy, Faculty of Medicine, Universiti Kebangsaan Malaysia, Jalan Yaacob Latif, Bandar Tun Razak, Kuala Lumpur 56000, Malaysia.

Department of Pharmacology, Faculty of Medicine, Universiti Kebangsaan Malaysia, Jalan Yaacob Latif, Bandar Tun Razak, Kuala Lumpur 56000, Malaysia.

出版信息

Molecules. 2023 Mar 20;28(6):2790. doi: 10.3390/molecules28062790.

Abstract

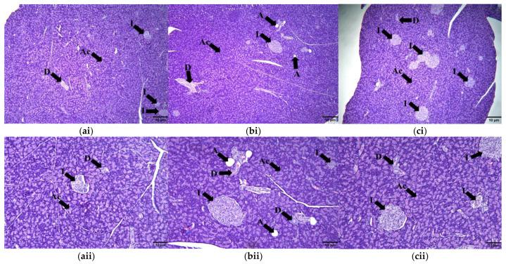
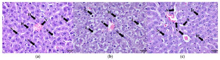
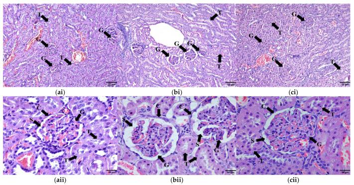
Metabolic syndrome (MetS) is composed of central obesity, hyperglycemia, dyslipidemia and hypertension that increase an individual's tendency to develop type 2 diabetes mellitus and cardiovascular diseases. Kelulut honey (KH) produced by stingless bee species has a rich phenolic profile. Recent studies have demonstrated that KH could suppress components of MetS, but its mechanisms of action are unknown. A total of 18 male Wistar rats were randomly divided into control rats (C group) ( = 6), MetS rats fed with a high carbohydrate high fat (HCHF) diet (HCHF group) ( = 6), and MetS rats fed with HCHF diet and treated with KH (HCHF + KH group) ( = 6). The HCHF + KH group received 1.0 g/kg/day KH via oral gavage from week 9 to 16 after HCHF diet initiation. Compared to the C group, the MetS group experienced a significant increase in body weight, body mass index, systolic (SBP) and diastolic blood pressure (DBP), serum triglyceride (TG) and leptin, as well as the area and perimeter of adipocyte cells at the end of the study. The MetS group also experienced a significant decrease in serum HDL levels versus the C group. KH supplementation reversed the changes in serum TG, HDL, leptin, adiponectin and corticosterone levels, SBP, DBP, as well as adipose tissue 11β-hydroxysteroid dehydrogenase type 1 (11βHSD1) level, area and perimeter at the end of the study. In addition, histological observations also showed that KH administration reduced fat deposition within hepatocytes, and prevented deterioration of pancreatic islet and renal glomerulus. In conclusion, KH is effective in preventing MetS by suppressing leptin, corticosterone and 11βHSD1 levels while elevating adiponectin levels.

摘要

代谢综合征(MetS)由中心性肥胖、高血糖、血脂异常和高血压组成,这些因素增加了个体患 2 型糖尿病和心血管疾病的倾向。无刺蜜蜂种生产的芦竹蜂蜜(KH)具有丰富的酚类物质。最近的研究表明,KH 可以抑制 MetS 的组成部分,但作用机制尚不清楚。总共 18 只雄性 Wistar 大鼠被随机分为对照组(C 组)(n = 6)、高碳水化合物高脂肪饮食喂养的 MetS 大鼠(HCHF 组)(n = 6)和 HCHF 饮食喂养并用 KH 治疗的 MetS 大鼠(HCHF + KH 组)(n = 6)。HCHF + KH 组从 HCHF 饮食开始后第 9 周到第 16 天,每天通过口服灌胃给予 1.0 g/kg 的 KH。与 C 组相比,MetS 组在研究结束时体重、体重指数、收缩压(SBP)和舒张压(DBP)、血清三酰甘油(TG)和瘦素以及脂肪细胞面积和周长显著增加。与 C 组相比,MetS 组血清 HDL 水平显著降低。KH 补充剂逆转了血清 TG、HDL、瘦素、脂联素和皮质酮水平、SBP、DBP 以及脂肪组织 11β-羟类固醇脱氢酶 1(11βHSD1)水平、面积和周长的变化在研究结束时。此外,组织学观察还表明,KH 给药可减少肝细胞内脂肪沉积,并防止胰岛和肾小球恶化。综上所述,KH 通过抑制瘦素、皮质酮和 11βHSD1 水平,同时升高脂联素水平,有效预防 MetS。

https://cdn.ncbi.nlm.nih.gov/pmc/blobs/6a03/10056699/4d43fb6f0be2/molecules-28-02790-g001.jpg

文献AI研究员

20分钟写一篇综述,助力文献阅读效率提升50倍。

立即体验

用中文搜PubMed

大模型驱动的PubMed中文搜索引擎

马上搜索

文档翻译

学术文献翻译模型,支持多种主流文档格式。

立即体验