Suppr超能文献

15 岁男孩患肺脓胸合并伴放线放线杆菌感染:病例报告及文献复习

Aggregatibacter actinomycetemcomitans infection in a 15-year-old boy with pulmonary empyema: a case report and review of literature.

机构信息

Unit of Emergency Pediatrics, Department of Emergency, Admission and General Pediatrics, Bambino Gesù Children's Hospital (IRCCS), Rome, Italy.

University Hospital Pediatric Department, Bambino Gesù Children's Hospital (IRCCS), Rome, Italy.

出版信息

Ital J Pediatr. 2023 Mar 31;49(1):42. doi: 10.1186/s13052-023-01429-4.

Abstract

BACKGROUND

Aggregatibacter actinomycetemcomitans (Aa), previously known as Actinobacillus actinomycetemcomitans, is a slow-growing Gram-negative coccobacillus, member of the HACEK group of bacteria colonizing oral flora. Besides causing infectious diseases in the oral cavity such as dental caries and periodontitis, it is responsible for severe extra-oral infections secondary to hematogenous spread or aspiration, such as endocarditis, soft tissue abscesses and osteomyelitis. The diagnosis depends on prolonged bacterial culture of biological material obtained through biopsy. Aa is susceptible to most antibiotics but complete eradication often requires a long term treatment.

CASE PRESENTATION

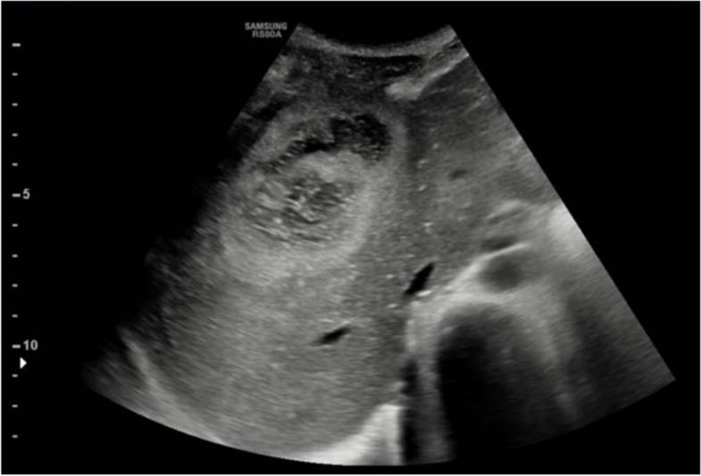
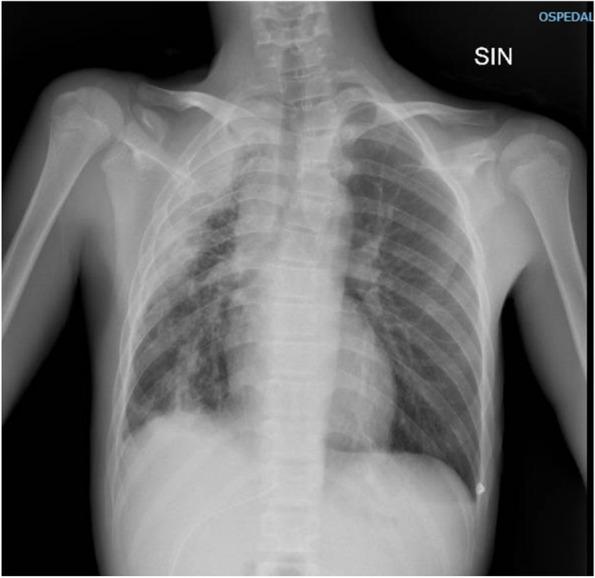
We report the case of a 15-year-old previously healthy boy diagnosed with both pulmonary empyema and subphrenic chest wall abscess caused by Aa. He was admitted to our Pediatric Emergency department for evaluation of a right mass associated with marked asthenia and dry cough. After radiological findings etiological diagnosis was made by culture of fluid drainage of pleural empyema. He started empirical antibiotic therapy with intravenous piperacillin/tazobactam, whose sensibility was confirmed by the antibiogram, then, for occurrance of hepatopathy it was switched to ciprofloxacin: the patient almost completely recovered after 6-month therapy.

CONCLUSIONS

Extra-oral infections caused by Aa are extremely rare, especially in children, and not well described yet. To our knowledge, there is only another similar case described in literature. However, the case described in our manuscript represents the only one presenting with pulmonary empyema without involvement of lung parenchyma in children. We also conducted a brief review of published cases of Aa infection in the pediatric population. This case report reminds us the importance of an accurate inspection of the oral cavity during the examination of pediatric patients.

摘要

背景

Aggregatibacter actinomycetemcomitans(以前称为 Actinobacillus actinomycetemcomitans)是一种生长缓慢的革兰氏阴性球杆菌,是定植于口腔菌群的 HACEK 组细菌的成员。除了在口腔中引起龋齿和牙周炎等传染病外,它还可通过血源性传播或吸入引起严重的口腔外感染,如心内膜炎、软组织脓肿和骨髓炎。诊断取决于通过活检获得的生物材料的长时间细菌培养。Aa 对大多数抗生素敏感,但完全消除通常需要长期治疗。

病例介绍

我们报告了一例 15 岁既往健康的男孩,被诊断为 Aa 引起的肺脓胸和膈下胸壁脓肿。他因右肺肿块伴明显乏力和干咳而被收入我院儿科急诊。在影像学检查后,通过胸腔积液引流的培养进行了病因诊断。他开始接受经验性抗生素治疗,静脉注射哌拉西林/他唑巴坦,药敏试验证实了抗生素的敏感性,然后因出现肝损伤而改用环丙沙星:患者在 6 个月的治疗后几乎完全康复。

结论

由 Aa 引起的口腔外感染极为罕见,尤其是在儿童中,且尚未得到很好的描述。据我们所知,文献中仅描述了另一个类似的病例。然而,我们报告的病例是唯一一例在儿童中表现为肺脓胸而无肺实质受累的病例。我们还对儿科人群中 Aa 感染的已发表病例进行了简要回顾。该病例报告提醒我们在检查儿科患者时,准确检查口腔的重要性。

https://cdn.ncbi.nlm.nih.gov/pmc/blobs/ff33/10067169/a98d0ad21f3e/13052_2023_1429_Fig1_HTML.jpg

文献AI研究员

20分钟写一篇综述,助力文献阅读效率提升50倍。

立即体验

用中文搜PubMed

大模型驱动的PubMed中文搜索引擎

马上搜索

文档翻译

学术文献翻译模型,支持多种主流文档格式。

立即体验