Suppr超能文献

微小RNA-30c通过靶向SOX9并抑制细胞焦亡来减轻心肌缺血/再灌注损伤。

miR‑30c reduces myocardial ischemia/reperfusion injury by targeting SOX9 and suppressing pyroptosis.

作者信息

Nie Jia, Zhou Wenjing, Yu Shouyang, Cao Song, Wang Haiying, Yu Tian

机构信息

Department of Anesthesiology, Affiliated Hospital of Zunyi Medical University, Zunyi, Guizhou 563000, P.R. China.

Guizhou Key Laboratory of Anesthesia and Organ Protection, Zunyi Medical University, Zunyi, Guizhou 563000, P.R. China.

出版信息

Exp Ther Med. 2023 Mar 10;25(4):180. doi: 10.3892/etm.2023.11879. eCollection 2023 Apr.

Abstract

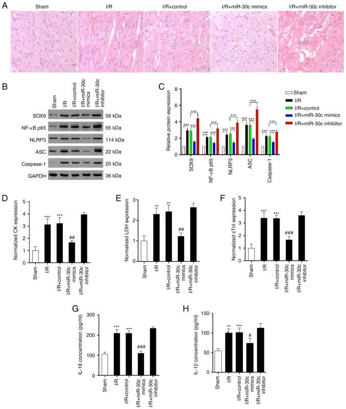
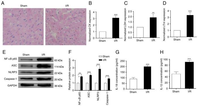
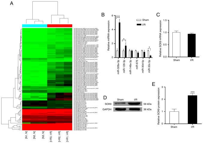
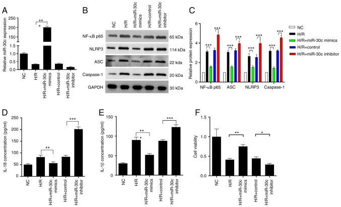
MicroRNAs (miRNAs or miRs) are commonly involved in regulating myocardial ischemia/reperfusion (I/R) injury by binding and silencing their target genes. However, whether miRNAs regulate myocardial I/R-induced pyroptosis remains unclear. The present study established an rat model of myocardial I/R injury and hypoxia/reoxygenation (H/R) injury model in rat primary cardiomyocytes to investigate the function and the underlying mechanisms of miRNAs on I/R injury-induced pyroptosis. RNA sequencing was utilized to select the candidate miRNAs between normal and I/R group. Reverse transcription-quantitative PCR and western blotting were performed to detect candidate miRNAs (miR-30c-5p, also known as miR-30c) and SRY-related high mobility group-box gene 9 (SOX9) expression, as well as expression of pyroptosis-associated proteins (NF-κB, ASC, caspase-1, NLRP3) in the myocardial I/R model. ELISA was used to measure pyroptosis-associated inflammatory markers IL-18 and IL-1β. Moreover, the link between miR-30c and SOX9 was predicted using bioinformatics and luciferase reporter assay. In myocardial I/R injured rats, miR-30c was downregulated, while the expression of SOX9 was upregulated. Overexpression of miR-30c inhibited pyroptosis both and . Furthermore, miR-30c negatively regulated SOX9 expression by binding its 3'untranslated region. In conclusion, the miR-30c/SOX9 axis decreased myocardial I/R injury by suppressing pyroptosis, which may be a potential therapeutic target.

摘要

微小RNA(miRNA或miR)通常通过结合并沉默其靶基因来参与调节心肌缺血/再灌注(I/R)损伤。然而,miRNA是否调节心肌I/R诱导的细胞焦亡仍不清楚。本研究建立了大鼠心肌I/R损伤模型以及大鼠原代心肌细胞缺氧/复氧(H/R)损伤模型,以研究miRNA在I/R损伤诱导的细胞焦亡中的作用及其潜在机制。利用RNA测序在正常组和I/R组之间筛选候选miRNA。进行逆转录定量PCR和蛋白质印迹法检测候选miRNA(miR-30c-5p,也称为miR-30c)和SRY相关高迁移率族盒基因9(SOX9)的表达,以及心肌I/R模型中细胞焦亡相关蛋白(NF-κB、ASC、半胱天冬酶-1、NLRP3)的表达。采用酶联免疫吸附测定法测量细胞焦亡相关炎症标志物IL-18和IL-1β。此外,利用生物信息学和荧光素酶报告基因测定法预测miR-30c与SOX9之间的联系。在心肌I/R损伤的大鼠中,miR-30c表达下调,而SOX9表达上调。miR-30c的过表达在体内和体外均抑制了细胞焦亡。此外,miR-30c通过结合SOX9的3'非翻译区负向调节其表达。总之,miR-30c/SOX9轴通过抑制细胞焦亡减轻心肌I/R损伤,这可能是一个潜在的治疗靶点。

https://cdn.ncbi.nlm.nih.gov/pmc/blobs/4668/10061048/1451210bb60d/etm-25-04-11879-g00.jpg

文献AI研究员

20分钟写一篇综述,助力文献阅读效率提升50倍。

立即体验

用中文搜PubMed

大模型驱动的PubMed中文搜索引擎

马上搜索

文档翻译

学术文献翻译模型,支持多种主流文档格式。

立即体验