Suppr超能文献

环状RNA Hsa_circ_0000566与HIF-1α的正反馈调节促进骨肉瘤进展和糖酵解代谢

Positive Feedback Regulation of Circular RNA Hsa_circ_0000566 and HIF-1α promotes Osteosarcoma Progression and Glycolysis Metabolism.

作者信息

Shen Shuying, Xu Yining, Gong Zhe, Yao Teng, Qiao Di, Huang Yizhen, Zhang Zhenlei, Gao Jun, Ni Haonan, Jin Zhanping, Zhu Yingchun, Wu Hongfei, Wang Qingxin, Fang Xiangqian, Huang Kangmao, Ma Jianjun

机构信息

1Department of Orthopaedic Surgery, Sir Run Run Shaw Hospital, Zhejiang University School of Medicine, Zhejiang, China.

2Key Laboratory of Musculoskeletal System Degeneration and Regeneration Translational Research of Zhejiang Province, Zhejiang, China.

出版信息

Aging Dis. 2023 Apr 1;14(2):529-547. doi: 10.14336/AD.2022.0826.

Abstract

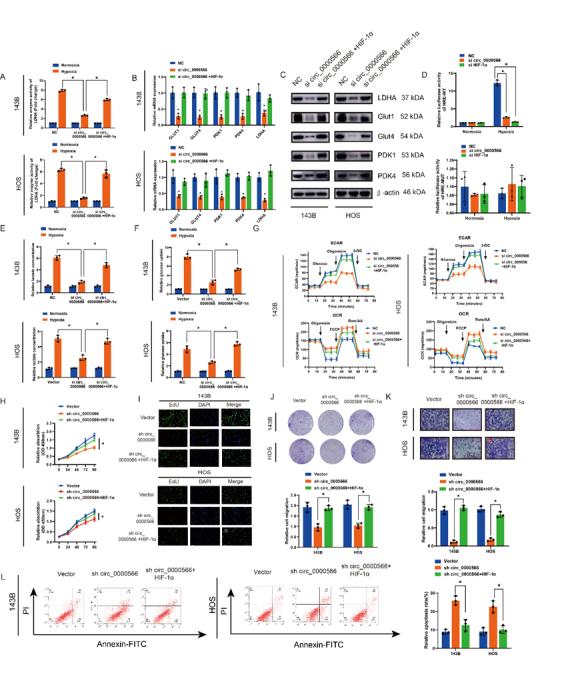
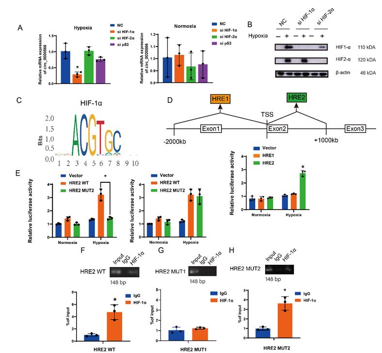
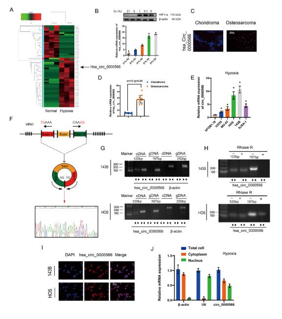
Hypoxia is an indispensable factor for cancer progression and is closely associated with the Warburg effect. Circular RNAs (CircRNA) have garnered considerable attention in molecular malignancy therapy as they are potentially important modulators. However, the roles of circRNAs and hypoxia in osteosarcoma (OS) progression have not yet been elucidated. This study reveals the hypoxia-sensitive circRNA, Hsa_circ_0000566, that plays a crucial role in OS progression and energy metabolism under hypoxic stress. Hsa_circ_0000566 is regulated by hypoxia-inducible factor-1α (HIF-1α) and directly binds to it as well as to the Von Hippel-Lindau (VHL) E3 ubiquitin ligase protein. Consequentially, binding between VHL and HIF-1α is impeded. Furthermore, Hsa_circ_0000566 contributes to OS progression by binding to HIF-1α (while competing with VHL) and by confers protection against HIF-1α against VHL-mediated ubiquitin degradation. These findings demonstrate the existence of a positive feedback loop formed by HIF-1α and Hsa_circ_0000566 and the key role they play in OS glycolysis. Taken together, these data indicate the significance of Hsa_circ_0000566 in the Warburg effect and suggest that Hsa_circ_0000566 could be a potential therapeutic target to combat OS progression.

摘要

缺氧是癌症进展的一个不可或缺的因素,并且与瓦伯格效应密切相关。环状RNA(CircRNA)作为潜在的重要调节因子,在分子恶性肿瘤治疗中受到了广泛关注。然而,circRNA和缺氧在骨肉瘤(OS)进展中的作用尚未阐明。本研究揭示了缺氧敏感的circRNA,即Hsa_circ_0000566,其在缺氧应激下的OS进展和能量代谢中起着关键作用。Hsa_circ_0000566受缺氧诱导因子-1α(HIF-1α)调控,并直接与其以及冯·希佩尔-林道(VHL)E3泛素连接酶蛋白结合。因此,VHL与HIF-1α之间的结合受到阻碍。此外,Hsa_circ_0000566通过与HIF-1α结合(同时与VHL竞争)以及赋予HIF-1α免受VHL介导的泛素降解的保护作用,从而促进OS进展。这些发现证明了由HIF-1α和Hsa_circ_0000566形成的正反馈回路的存在以及它们在OS糖酵解中所起的关键作用。综上所述,这些数据表明Hsa_circ_0000566在瓦伯格效应中的重要性,并表明Hsa_circ_0000566可能是对抗OS进展的潜在治疗靶点。

https://cdn.ncbi.nlm.nih.gov/pmc/blobs/82ca/10017158/06efbd25e6f3/AD-14-2-529-g1.jpg

文献AI研究员

20分钟写一篇综述,助力文献阅读效率提升50倍。

立即体验

用中文搜PubMed

大模型驱动的PubMed中文搜索引擎

马上搜索

文档翻译

学术文献翻译模型,支持多种主流文档格式。

立即体验