Suppr超能文献

新辅助全身治疗后乳腺癌患者导管原位癌反应评估的影像学发现:系统评价和荟萃分析。

Imaging findings for response evaluation of ductal carcinoma in situ in breast cancer patients treated with neoadjuvant systemic therapy: a systematic review and meta-analysis.

机构信息

Department of Surgery, Maastricht University Medical Centre+, Maastricht, The Netherlands.

GROW - School for Oncology and Reproduction, Maastricht University, Maastricht, The Netherlands.

出版信息

Eur Radiol. 2023 Aug;33(8):5423-5435. doi: 10.1007/s00330-023-09547-7. Epub 2023 Apr 5.

Abstract

OBJECTIVES

In approximately 45% of invasive breast cancer (IBC) patients treated with neoadjuvant systemic therapy (NST), ductal carcinoma in situ (DCIS) is present. Recent studies suggest response of DCIS to NST. The aim of this systematic review and meta-analysis was to summarise and examine the current literature on imaging findings for different imaging modalities evaluating DCIS response to NST. More specifically, imaging findings of DCIS pre- and post-NST, and the effect of different pathological complete response (pCR) definitions, will be evaluated on mammography, breast MRI, and contrast-enhanced mammography (CEM).

METHODS

PubMed and Embase databases were searched for studies investigating NST response of IBC, including information on DCIS. Imaging findings and response evaluation of DCIS were assessed for mammography, breast MRI, and CEM. A meta-analysis was conducted per imaging modality to calculate pooled sensitivity and specificity for detecting residual disease between pCR definition no residual invasive disease (ypT0/is) and no residual invasive or in situ disease (ypT0).

RESULTS

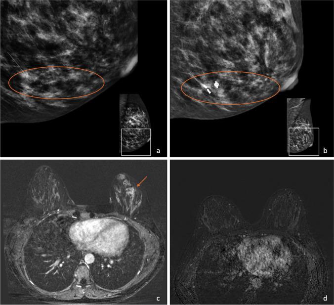
Thirty-one studies were included. Calcifications on mammography are related to DCIS, but can persist despite complete response of DCIS. In 20 breast MRI studies, an average of 57% of residual DCIS showed enhancement. A meta-analysis of 17 breast MRI studies confirmed higher pooled sensitivity (0.86 versus 0.82) and lower pooled specificity (0.61 versus 0.68) for detection of residual disease when DCIS is considered pCR (ypT0/is). Three CEM studies suggest the potential benefit of simultaneous evaluation of calcifications and enhancement.

CONCLUSIONS AND CLINICAL RELEVANCE

Calcifications on mammography can remain despite complete response of DCIS, and residual DCIS does not always show enhancement on breast MRI and CEM. Moreover, pCR definition effects diagnostic performance of breast MRI. Given the lack of evidence on imaging findings of response of the DCIS component to NST, further research is demanded.

KEY POINTS

• Ductal carcinoma in situ has shown to be responsive to neoadjuvant systemic therapy, but imaging studies mainly focus on response of the invasive tumour. • The 31 included studies demonstrate that after neoadjuvant systemic therapy, calcifications on mammography can remain despite complete response of DCIS and residual DCIS does not always show enhancement on MRI and contrast-enhanced mammography. • The definition of pCR has impact on the diagnostic performance of MRI in detecting residual disease, and when DCIS is considered pCR, pooled sensitivity was slightly higher and pooled specificity slightly lower.

摘要

目的

在接受新辅助全身治疗 (NST) 的浸润性乳腺癌 (IBC) 患者中,约有 45%存在导管原位癌 (DCIS)。最近的研究表明 DCIS 对 NST 有反应。本系统评价和荟萃分析的目的是总结和检查当前文献中不同成像方式评估 DCIS 对 NST 反应的影像学表现。更具体地说,将评估 NST 前后 DCIS 的影像学表现以及不同完全病理缓解 (pCR) 定义的影响,评估乳腺钼靶、乳腺 MRI 和对比增强乳腺摄影 (CEM) 的 DCIS 反应。

方法

在 PubMed 和 Embase 数据库中搜索研究 IBC 的 NST 反应的研究,包括有关 DCIS 的信息。评估了乳腺钼靶、乳腺 MRI 和 CEM 中 DCIS 的影像学表现和反应评估。根据成像方式进行荟萃分析,计算在无残留浸润性疾病 (ypT0/is) 和无残留浸润性或原位疾病 (ypT0) 的不同 pCR 定义之间检测残留疾病的汇总敏感性和特异性。

结果

共纳入 31 项研究。乳腺钼靶上的钙化与 DCIS 相关,但即使 DCIS 完全缓解,钙化也可能持续存在。在 20 项乳腺 MRI 研究中,平均有 57%的残留 DCIS 显示增强。17 项乳腺 MRI 研究的荟萃分析证实,当将 DCIS 视为 pCR (ypT0/is) 时,检测残留疾病的汇总敏感性(0.86 与 0.82)更高,汇总特异性(0.61 与 0.68)更低。三项 CEM 研究表明同时评估钙化和增强的潜在益处。

结论和临床相关性

尽管 DCIS 完全缓解,但乳腺钼靶上的钙化仍可能存在,并且残留的 DCIS 并不总是在乳腺 MRI 和 CEM 上显示增强。此外,pCR 定义会影响 MRI 检测残留疾病的诊断性能。鉴于缺乏关于 DCIS 成分对 NST 反应的影像学表现的证据,需要进一步研究。

要点

  • DCIS 已被证明对新辅助全身治疗有反应,但影像学研究主要关注侵袭性肿瘤的反应。

  • 纳入的 31 项研究表明,在新辅助全身治疗后,即使 DCIS 完全缓解,乳腺钼靶上的钙化仍可能存在,并且残留的 DCIS 并不总是在 MRI 和对比增强乳腺摄影上显示增强。

  • pCR 的定义对 MRI 检测残留疾病的诊断性能有影响,当将 DCIS 视为 pCR 时,汇总敏感性略高,汇总特异性略低。

https://cdn.ncbi.nlm.nih.gov/pmc/blobs/5822/10326113/0fc5145f6238/330_2023_9547_Fig1_HTML.jpg

文献AI研究员

20分钟写一篇综述,助力文献阅读效率提升50倍。

立即体验

用中文搜PubMed

大模型驱动的PubMed中文搜索引擎

马上搜索

文档翻译

学术文献翻译模型,支持多种主流文档格式。

立即体验