Suppr超能文献

YB1通过RNA置换参与调节线粒体活性。

YB1 participated in regulating mitochondrial activity through RNA replacement.

作者信息

Gong Weipeng, Zhang Song

机构信息

Department of Gastrointestinal Surgery, Shandong Cancer Hospital and Institute, Shandong First Medical University and Shandong Academy of Medical Sciences, Jinan, Shandong, China.

Shandong Provincial Key Laboratory of Radiation Oncology, Shandong Cancer Hospital and Institute, Shandong First Medical University, Jinan, Shandong, China.

出版信息

Front Oncol. 2023 Mar 23;13:1145379. doi: 10.3389/fonc.2023.1145379. eCollection 2023.

Abstract

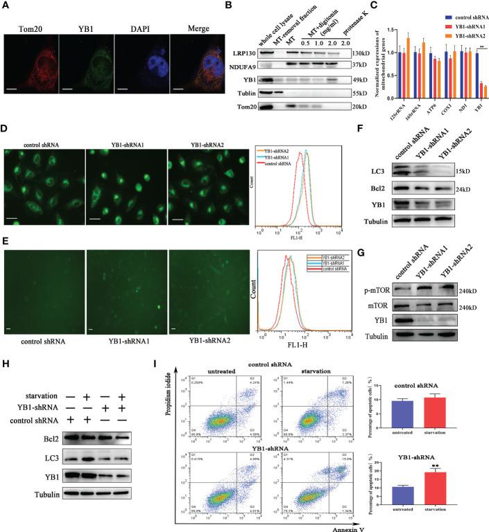
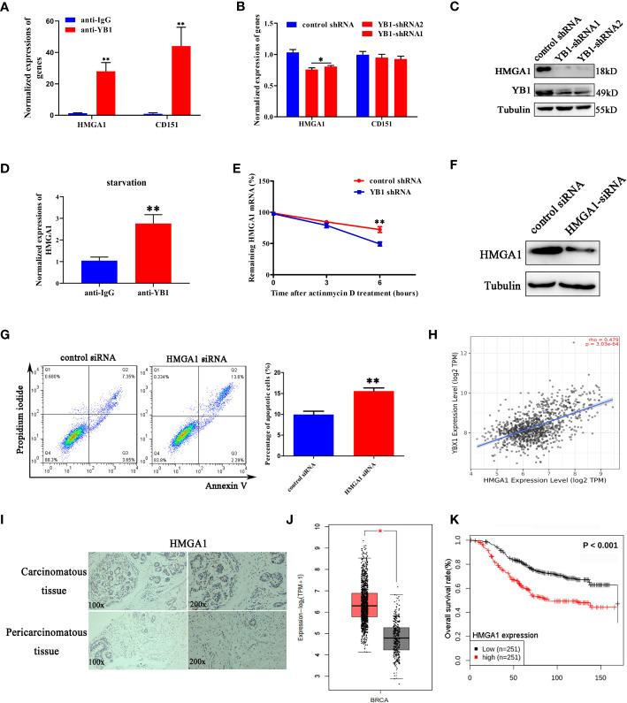
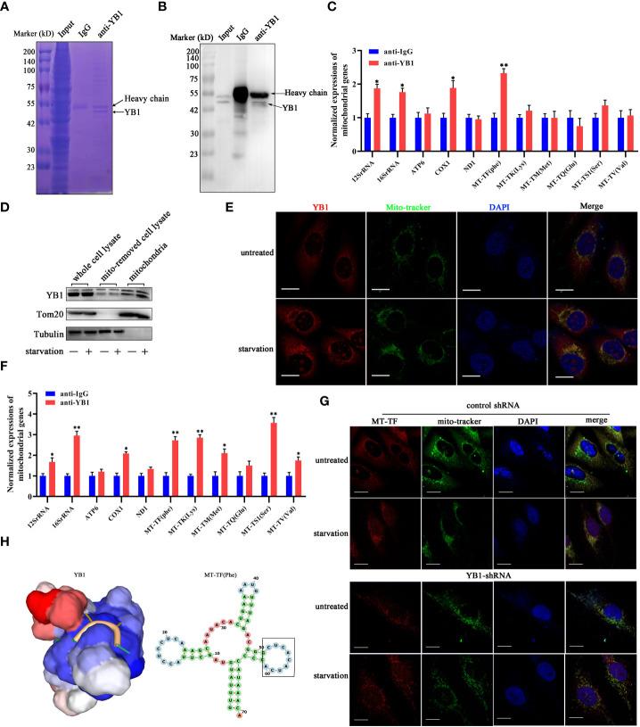
As a relic of ancient bacterial endosymbionts, mitochondria play a central role in cell metabolism, apoptosis, autophagy, and other processes. However, the function of mitochondria-derived nucleic acids in cellular signal transduction has not been fully elucidated. Here, our work has found that Y-box binding protein 1 (YB1) maintained cellular autophagy at a moderate level to inhibit mitochondrial oxidative phosphorylation. In addition, mitochondrial RNA was leaked into cytosol under starvation, accompanied by YB1 mitochondrial relocation, resulting in YB1-bound RNA replacement. The mRNAs encoded by oxidative phosphorylation (OXPHOS)-associated genes and oncogene HMGA1 (high-mobility group AT-hook 1) were competitively replaced by mitochondria-derived tRNAs. The increase of free OXPHOS mRNAs released from the YB1 complex enhanced mitochondrial activity through facilitating translation, but the stability of HMGA1 mRNA was impaired without the protection of YB1, both contributing to breast cancer cell apoptosis and reactive oxygen species production. Our finding not only provided a new potential target for breast cancer therapy but also shed new light on understanding the global landscape of cellular interactions between RNA-binding proteins and different RNA species.

摘要

作为古代细菌内共生体的遗迹,线粒体在细胞代谢、细胞凋亡、自噬及其他过程中发挥着核心作用。然而,线粒体衍生的核酸在细胞信号转导中的功能尚未完全阐明。在此,我们的研究发现,Y盒结合蛋白1(YB1)将细胞自噬维持在适度水平以抑制线粒体氧化磷酸化。此外,饥饿条件下线粒体RNA泄漏到细胞质中,同时YB1发生线粒体定位转移,导致与YB1结合的RNA被替换。氧化磷酸化(OXPHOS)相关基因和癌基因HMGA1(高迁移率族AT钩蛋白1)编码的mRNA被线粒体衍生的tRNA竞争性取代。从YB1复合物释放的游离OXPHOS mRNA增加,通过促进翻译增强了线粒体活性,但HMGA1 mRNA的稳定性在没有YB1保护的情况下受损,这两者都导致乳腺癌细胞凋亡和活性氧的产生。我们的发现不仅为乳腺癌治疗提供了一个新的潜在靶点,也为理解RNA结合蛋白与不同RNA种类之间细胞相互作用的整体格局提供了新的线索。

https://cdn.ncbi.nlm.nih.gov/pmc/blobs/b5d6/10076880/9314deccd5f0/fonc-13-1145379-g001.jpg

文献AI研究员

20分钟写一篇综述,助力文献阅读效率提升50倍。

立即体验

用中文搜PubMed

大模型驱动的PubMed中文搜索引擎

马上搜索

文档翻译

学术文献翻译模型,支持多种主流文档格式。

立即体验