Suppr超能文献

出芽效应子枯草溶菌素样蛋白酶 1 的激活是由质膜蛋白酶 X 破坏前导序列介导的。

Activation of the Egress Effector Subtilisin-Like Protease 1 Is Mediated by Plasmepsin X Destruction of the Prodomain.

机构信息

Division of Infectious Diseases, Department of Medicine, and Department of Molecular Microbiology, Washington University School of Medicine, St. Louis, Missouri, USA.

出版信息

mBio. 2023 Apr 25;14(2):e0067323. doi: 10.1128/mbio.00673-23. Epub 2023 Apr 10.

Abstract

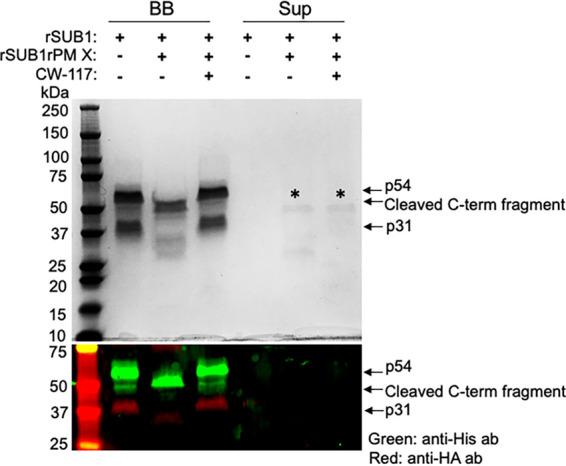
Following each round of replication, daughter merozoites of the malaria parasite Plasmodium falciparum escape (egress) from the infected host red blood cell (RBC) by rupturing the parasitophorous vacuole membrane (PVM) and the RBC membrane (RBCM). A proteolytic cascade orchestrated by a parasite serine protease, subtilisin-like protease 1 (SUB1), regulates the membrane breakdown. SUB1 activation involves primary autoprocessing of the 82-kDa zymogen to a 54-kDa (p54) intermediate that remains bound to its inhibitory propiece (p31) postcleavage. A second processing step converts p54 to the terminal 47-kDa (p47) form of SUB1. Although the aspartic protease plasmepsin X (PM X) has been implicated in the activation of SUB1, the mechanism remains unknown. Here, we show that upon knockdown of PM X, the inhibitory p31-p54 complex of SUB1 accumulates in the parasites. Using recombinant PM X and SUB1, we show that PM X can directly cleave both p31 and p54. We have mapped the cleavage sites on recombinant p31. Furthermore, we demonstrate that the conversion of p54 to p47 can be effected by cleavage at either SUB1 or PM X cleavage sites that are adjacent to one another. Importantly, once the p31 is removed, p54 is fully functional inside the parasites, suggesting that the conversion to p47 is dispensable for SUB1 activity. Relief of propiece inhibition via a heterologous protease is a novel mechanism for subtilisin activation. Malaria parasites replicate inside a parasitophorous vacuole within the host red blood cells. The exit of mature progeny from the infected host cells is essential for further dissemination. Parasite exit is a highly regulated, explosive process that involves membrane breakdown. To do this, the parasite utilizes a serine protease called SUB1 that proteolytically activates various effector proteins. SUB1 activity is dependent on an upstream protease called PM X, although the mechanism was unknown. Here, we describe the molecular basis for PM X-mediated SUB1 activation. PM X proteolytically degrades the inhibitory segment of SUB1, thereby activating it. The involvement of a heterologous protease is a novel mechanism for subtilisin activation.

摘要

疟原虫裂殖子在每一轮复制后,通过破坏滋养体空泡膜(PVM)和红细胞膜(RBCM)从受感染的宿主红细胞中逸出(出芽)。由寄生虫丝氨酸蛋白酶、枯草溶菌素样蛋白酶 1(SUB1)协调的蛋白水解级联反应调节膜破裂。SUB1 的激活涉及 82kDa 酶原的主要自体加工,形成 54kDa(p54)中间产物,该中间产物在切割后仍与抑制性前肽(p31)结合。第二步加工将 p54 转化为 SUB1 的终末 47kDa(p47)形式。尽管天冬氨酸蛋白酶 plasmepsin X(PM X)已被牵连到 SUB1 的激活中,但该机制仍不清楚。在这里,我们表明,在 PM X 敲低后,SUB1 的抑制性 p31-p54 复合物在寄生虫中积累。使用重组 PM X 和 SUB1,我们表明 PM X 可以直接切割 p31 和 p54。我们已经在重组 p31 上定位了切割位点。此外,我们证明 p54 到 p47 的转化可以通过 SUB1 或彼此相邻的 PM X 切割位点的切割来实现。重要的是,一旦 p31 被去除,p54 在寄生虫内完全具有功能,这表明 p47 的转化对于 SUB1 活性不是必需的。通过异源蛋白酶释放前肽抑制是枯草菌素激活的一种新机制。疟原虫在宿主红细胞内的滋养体空泡内复制。成熟后代从受感染的宿主细胞中逸出对于进一步传播至关重要。寄生虫的退出是一个高度调节的、爆炸的过程,涉及膜的破裂。为此,寄生虫利用一种称为 SUB1 的丝氨酸蛋白酶,该蛋白酶通过蛋白水解激活各种效应蛋白。SUB1 活性依赖于一种称为 PM X 的上游蛋白酶,尽管机制尚不清楚。在这里,我们描述了 PM X 介导的 SUB1 激活的分子基础。PM X 蛋白水解降解 SUB1 的抑制性片段,从而激活 SUB1。异源蛋白酶的参与是枯草菌素激活的一种新机制。

https://cdn.ncbi.nlm.nih.gov/pmc/blobs/4fb0/10128010/00a5b9dedd68/mbio.00673-23-f001.jpg

文献AI研究员

20分钟写一篇综述,助力文献阅读效率提升50倍。

立即体验

用中文搜PubMed

大模型驱动的PubMed中文搜索引擎

马上搜索

文档翻译

学术文献翻译模型,支持多种主流文档格式。

立即体验