Suppr超能文献

白藜芦醇通过抑制PDK1/AKT磷酸化和HIF-1α表达来调节糖尿病大鼠的糖脂代谢。

Resveratrol Regulates Glucose and Lipid Metabolism in Diabetic Rats by Inhibition of PDK1/AKT Phosphorylation and HIF-1α Expression.

作者信息

Li Siyun, Feng Fuzhen, Deng Yanhui

机构信息

Department of Pharmacy, The Third Affiliated Hospital of Southern Medical University, Guangzhou, People's Republic of China.

Department of Pharmacy, The Sixth Affiliated Hospital, School of Medicine, South China University of Technology, Foshan, People's Republic of China.

出版信息

Diabetes Metab Syndr Obes. 2023 Apr 15;16:1063-1074. doi: 10.2147/DMSO.S403893. eCollection 2023.

Abstract

PURPOSE

To explore the underlying mechanism of the anti-diabetic effect of resveratrol (RSV) on regulating glycolipid metabolism in diabetic rats induced by streptozotocin (STZ) and a high-fat diet (HFD).

METHODS

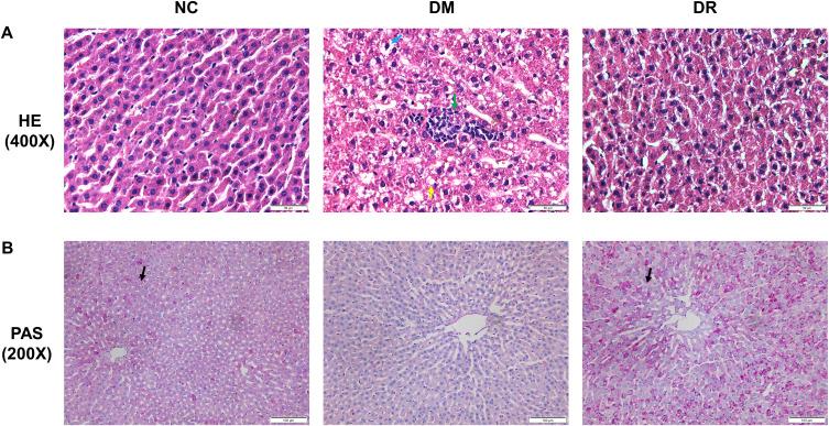
Male Wistar rats were randomized into three groups. Two groups were fed a high-fat diet and intraperitoneally injected with STZ (35 mg/kg), with one group also treated with RSV (30 mg/kg/d), and the third, control group was fed a normal diet. After 12 weeks, blood lipid levels and fasting blood glucose (FBG) were assessed. Histopathological changes were evaluated by hematoxylin-eosin (HE) staining and periodic acid-Schiff (PAS) staining. The protein expression of hypoxia-inducible factor 1α (HIF-1α) was assessed by Western blotting and immunofluorescence, and the proteins level of 3-phosphoinositide-dependent protein kinase 1 (PDK1), phosphorylated-PDK1 (p-PDK1), phosphorylated-protein kinase B (p-AKT), glucose transporter 1 (GLUT1) and low-density lipoprotein receptor (LDLR) in the liver were analyzed by Western blotting. The mRNA levels of and in the liver were determined by RT-qPCR.

RESULTS

RSV treatment significantly reduced liver/body weight ratio (L/W, < 0.05), FBG ( < 0.01) and serum concentrations of total cholesterol (TC, < 0.05), triglycerides (TG, < 0.01) and low-density lipoprotein-cholesterol (LDL-C, < 0.05) in diabetic rats. RSV also improved diabetic symptoms, attenuated liver steatosis and increased liver glycogen accumulation. RSV treatment significantly downregulated the proteins expression of p-PDK1 and p-AKT ( < 0.01) and the levels of HIF-1α ( < 0.05) and GLUT1 ( < 0.01), while significantly upregulating the level of LDLR ( < 0.05).

CONCLUSION

RSV was effective in improving glycolipid metabolism in diabetic rats, probably by inhibiting the PDK1/AKT/HIF-1α pathway and regulation of its downstream target levels. These findings may provide new insight into the mechanism of action of RSV in the treatment of diabetes.

摘要

目的

探讨白藜芦醇(RSV)对链脲佐菌素(STZ)和高脂饮食(HFD)诱导的糖尿病大鼠糖脂代谢调节作用的潜在机制。

方法

将雄性Wistar大鼠随机分为三组。两组给予高脂饮食并腹腔注射STZ(35 mg/kg),其中一组还用RSV(30 mg/kg/d)治疗,第三组为对照组,给予正常饮食。12周后,评估血脂水平和空腹血糖(FBG)。通过苏木精-伊红(HE)染色和过碘酸-希夫(PAS)染色评估组织病理学变化。通过蛋白质免疫印迹法和免疫荧光法评估缺氧诱导因子1α(HIF-1α)的蛋白表达,并通过蛋白质免疫印迹法分析肝脏中3-磷酸肌醇依赖性蛋白激酶1(PDK1)、磷酸化-PDK1(p-PDK1)、磷酸化蛋白激酶B(p-AKT)、葡萄糖转运蛋白1(GLUT1)和低密度脂蛋白受体(LDLR)的蛋白水平。通过RT-qPCR测定肝脏中相关基因的mRNA水平。

结果

RSV治疗显著降低了糖尿病大鼠的肝/体重比(L/W,P<0.05)、FBG(P<0.01)以及血清总胆固醇(TC,P<0.05)、甘油三酯(TG,P<0.01)和低密度脂蛋白胆固醇(LDL-C,P<0.05)浓度。RSV还改善了糖尿病症状,减轻了肝脏脂肪变性并增加了肝糖原积累。RSV治疗显著下调了p-PDK1和p-AKT的蛋白表达(P<0.01)以及HIF-1α(P<0.05)和GLUT1(P<0.01)的水平,同时显著上调了LDLR的水平(P<0.05)。

结论

RSV可有效改善糖尿病大鼠的糖脂代谢,可能是通过抑制PDK1/AKT/HIF-1α途径并调节其下游靶点水平。这些发现可能为RSV治疗糖尿病的作用机制提供新的见解。

https://cdn.ncbi.nlm.nih.gov/pmc/blobs/9465/10115207/57cabd6e701c/DMSO-16-1063-g0001.jpg

文献AI研究员

20分钟写一篇综述,助力文献阅读效率提升50倍。

立即体验

用中文搜PubMed

大模型驱动的PubMed中文搜索引擎

马上搜索

文档翻译

学术文献翻译模型,支持多种主流文档格式。

立即体验