Suppr超能文献

口腔恶性黑色素瘤病例报告:隐匿的杀手

A Case Report of Oral Malignant Melanoma: A Silent Killer.

作者信息

Kukde Monal M, Madurwar Anil U, Selokar Deepak S, Noman Obaid

机构信息

Dentistry, Datta Meghe Medical College and Shalinitai Meghe Hospital, Nagpur, IND.

Radiodiagnosis, Chandrapur CT Scan and MRI Center, Chandrapur, IND.

出版信息

Cureus. 2023 Mar 25;15(3):e36671. doi: 10.7759/cureus.36671. eCollection 2023 Mar.

Abstract

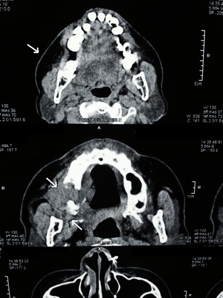
Melanoma of the oral cavity is a rare malignant tumor that develops from a malignant melanocytic or de novo from melanocytes within the normal mucosa or skin and appears blue, black, or reddish-brown. Oral mucosal melanoma has a higher proclivity for metastasis and attacks tissue more aggressively than any other malignant tumor in the mouth. Intestinal melanoma of the head and neck is an uncommon type of cancer that should be counted among the deadliest. Malignant melanoma of the oral cavity accounts for only 0.2%-8.0% of all reported melanoma, although accounting for 1.3% of all malignancies. Because most melanotic mucosal lesions are painless at first, the diagnosis is sometimes delayed until the ulcer or growth causes symptoms. Early detection is critical for effective therapy and the only way to improve survival and prognosis in patients with oral malignant melanoma due to its poor prognosis. To avoid oral melanomas, every single colored lesion identified in the oral cavity should be treated with suspicion and adequate inquiry because a colored lesion might expand, and it should be referred for a biopsy to avoid poisoning. This article shows how the oral clinic is important in the diagnosis of oral ulcers and argues that early detection is necessary to enhance patient outcomes.

摘要

口腔黑色素瘤是一种罕见的恶性肿瘤,它由恶性黑素细胞发展而来,或者起源于正常黏膜或皮肤内的黑素细胞,表现为蓝色、黑色或红棕色。口腔黏膜黑色素瘤比口腔内的任何其他恶性肿瘤更易发生转移,侵袭组织的能力更强。头颈部肠道黑色素瘤是一种罕见的癌症类型,属于最致命的癌症之一。口腔恶性黑色素瘤仅占所有报告黑色素瘤的0.2%-8.0%,尽管占所有恶性肿瘤的1.3%。由于大多数黑色素性黏膜病变起初无痛,诊断有时会延迟,直到溃疡或肿物引起症状。早期检测对于有效治疗至关重要,由于口腔恶性黑色素瘤预后较差,这也是改善患者生存和预后的唯一途径。为避免口腔黑色素瘤,口腔内发现的每一个有色病变都应受到怀疑并进行充分询问,因为有色病变可能会扩大,应转诊进行活检以避免误诊。本文展示了口腔诊所在口腔溃疡诊断中的重要性,并认为早期检测对于改善患者预后是必要的。

https://cdn.ncbi.nlm.nih.gov/pmc/blobs/990e/10124672/a594541a0a67/cureus-0015-00000036671-i01.jpg

文献AI研究员

20分钟写一篇综述,助力文献阅读效率提升50倍。

立即体验

用中文搜PubMed

大模型驱动的PubMed中文搜索引擎

马上搜索

文档翻译

学术文献翻译模型,支持多种主流文档格式。

立即体验