Suppr超能文献

FBXL4 泛素连接酶缺陷通过提高 NIX 水平促进线粒体自噬。

FBXL4 ubiquitin ligase deficiency promotes mitophagy by elevating NIX levels.

机构信息

Molecular Physiology and Cell Signalling, Institute of Systems, Molecular and Integrative Biology, University of Liverpool, Liverpool, UK.

Institute of Biochemistry II, Goethe University, Medical Faculty, University Hospital, Frankfurt am Main, Germany.

出版信息

EMBO J. 2023 Jul 3;42(13):e112799. doi: 10.15252/embj.2022112799. Epub 2023 Apr 27.

Abstract

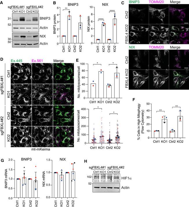
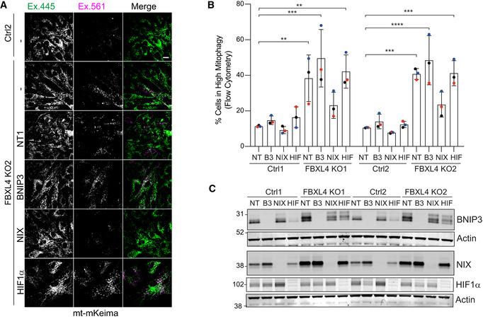
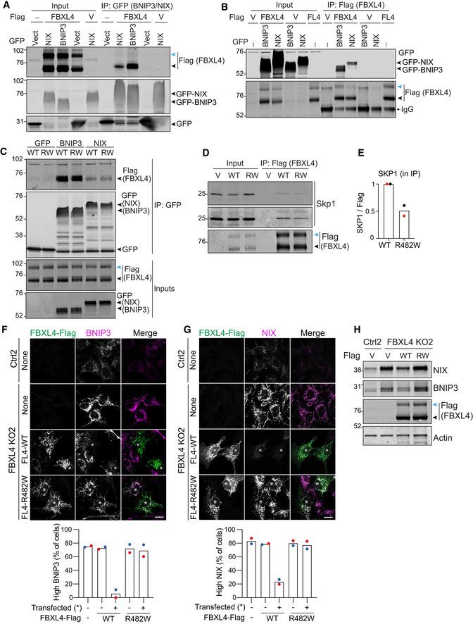
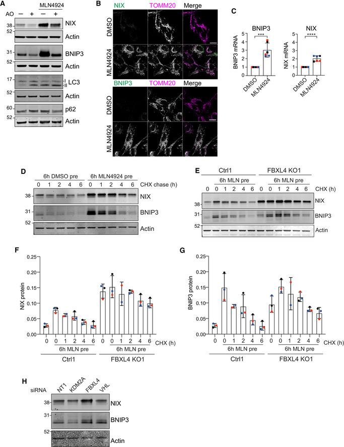
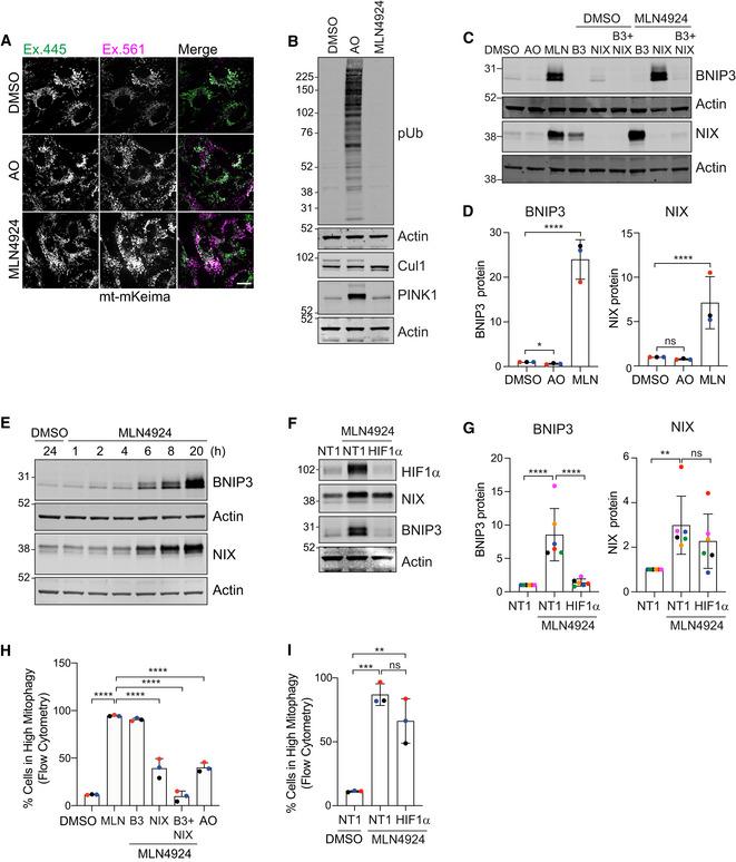
Selective autophagy of mitochondria, mitophagy, is linked to mitochondrial quality control and as such is critical to a healthy organism. We have used a CRISPR/Cas9 approach to screen human E3 ubiquitin ligases for influence on mitophagy under both basal cell culture conditions and upon acute mitochondrial depolarization. We identify two cullin-RING ligase substrate receptors, VHL and FBXL4, as the most profound negative regulators of basal mitophagy. We show that these converge, albeit via different mechanisms, on control of the mitophagy adaptors BNIP3 and BNIP3L/NIX. FBXL4 restricts NIX and BNIP3 levels via direct interaction and protein destabilization, while VHL acts through suppression of HIF1α-mediated transcription of BNIP3 and NIX. Depletion of NIX but not BNIP3 is sufficient to restore mitophagy levels. Our study contributes to an understanding of the aetiology of early-onset mitochondrial encephalomyopathy that is supported by analysis of a disease-associated mutation. We further show that the compound MLN4924, which globally interferes with cullin-RING ligase activity, is a strong inducer of mitophagy, thus providing a research tool in this context and a candidate therapeutic agent for conditions linked to mitochondrial dysfunction.

摘要

线粒体的选择性自噬,即 mitophagy,与线粒体质量控制有关,因此对健康的生物体至关重要。我们使用 CRISPR/Cas9 方法筛选了人类 E3 泛素连接酶,以研究它们在基础细胞培养条件下和急性线粒体去极化时对 mitophagy 的影响。我们确定了两种 cullin-RING 连接酶底物受体,VHL 和 FBXL4,作为基础 mitophagy 的最主要负调控因子。我们表明,这些因子通过不同的机制汇聚在一起,以控制 mitophagy 衔接蛋白 BNIP3 和 BNIP3L/NIX。FBXL4 通过直接相互作用和蛋白不稳定来限制 NIX 和 BNIP3 的水平,而 VHL 通过抑制 HIF1α 介导的 BNIP3 和 NIX 的转录来发挥作用。NIX 的耗竭而非 BNIP3 的耗竭足以恢复 mitophagy 水平。我们的研究有助于理解由疾病相关突变分析支持的早发性线粒体脑肌病的病因。我们进一步表明,全身性干扰 cullin-RING 连接酶活性的化合物 MLN4924 是 mitophagy 的强烈诱导剂,因此在这种情况下提供了一种研究工具,并为与线粒体功能障碍相关的疾病提供了候选治疗药物。

https://cdn.ncbi.nlm.nih.gov/pmc/blobs/83c6/10308357/81e7671aa355/EMBJ-42-e112799-g009.jpg

文献AI研究员

20分钟写一篇综述,助力文献阅读效率提升50倍。

立即体验

用中文搜PubMed

大模型驱动的PubMed中文搜索引擎

马上搜索

文档翻译

学术文献翻译模型,支持多种主流文档格式。

立即体验