Suppr超能文献

黄粉虫对大口黑鲈幼鱼生长性能、肝脏健康及消化率的影响

Effects of Yellow Mealworm () on Growth Performance, Hepatic Health and Digestibility in Juvenile Largemouth Bass ().

作者信息

Chen Haijie, Yu Jiao, Ran Xudong, Wu Jiaxuan, Chen Yongjun, Tan Beiping, Lin Shimei

机构信息

College of Fisheries, Southwest University, Chongqing 400715, China.

Key Laboratory of Freshwater Fish Reproduction and Development (Ministry of Education), Southwest University, Chongqing 400715, China.

出版信息

Animals (Basel). 2023 Apr 18;13(8):1389. doi: 10.3390/ani13081389.

Abstract

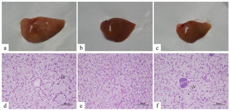
This study investigated the effects of yellow mealworm meal (TM) on growth performance, hepatic health and digestibility in juvenile largemouth bass (). The fish were fed with the basic feed and the test feed (70% basic feed and 30% raw materials) containing CrO, and feces were collected for digestibility determination. The fish were fed with five isonitrogenous (47% crude protein) and isolipidic (13% crude lipid) diets, in which fishmeal (FM) was replaced with 0% (TM0), 12% (TM12), 24% (TM24), 36% (TM36) and 48% (TM48) TM. The fish were reared in cylindrical plastic tanks in a recirculating aquaculture system for 11 weeks. The apparent digestibility coefficients (ADC), of dry matter, crude protein and crude lipid, in largemouth bass of TM were 74.66%, 91.03% and 90.91%, respectively. The ADC of total amino acid (TAA) of TM in largemouth bass was 92.89%, and the ADC of essential amino acid (EAA) in TM in largemouth bass was 93.86%. The final body weight (FBW), weight gain rate (WGR) and specific growth rate (SGR) in the TM24 group were significantly higher than those in other groups. Similarly, the highest mRNA expression levels of hepatic protein metabolism genes (, , and ) and antioxidant enzyme (glutathione peroxidase, Gpx; catalase, Cat) activities were observed in the TM24 group. Moreover, the expression levels of anti-inflammatory factors ( and ) in liver were up-regulated and the expression levels of pro-inflammatory factors ( and ) in liver were down-regulated. Quadratic regression model analysis, based on weight gain rate (WGR) against dietary TM level, indicated that the optimum level of dietary TM replacing FM in largemouth bass diet was 19.52%. Appropriate replacement levels (less than 36%) of FM by TM in the diets can enhance the antioxidant capacity and immunity of largemouth bass. However, high levels of FM substitution with TM (more than 48%) in the feeds can damage the liver health and inhibit the growth of largemouth bass. Notably, largemouth bass has high ADC and high utilization of TM, which indicates that it is feasible to use TM as feed protein source for largemouth bass.

摘要

本研究调查了黄粉虫粉(TM)对大口黑鲈幼鱼生长性能、肝脏健康和消化率的影响。给鱼投喂基础饲料以及含有三氧化二铬的试验饲料(70%基础饲料和30%原料),并收集粪便用于消化率测定。给鱼投喂五种等氮(粗蛋白含量47%)和等脂(粗脂肪含量13%)的饲料,其中鱼粉(FM)分别被0%(TM0)、12%(TM12)、24%(TM24)、36%(TM36)和48%(TM48)的TM替代。鱼在循环水养殖系统的圆柱形塑料水箱中饲养11周。大口黑鲈对TM的干物质、粗蛋白和粗脂肪的表观消化率系数(ADC)分别为74.66%、91.03%和90.91%。大口黑鲈对TM中总氨基酸(TAA)的ADC为92.89%,对TM中必需氨基酸(EAA)的ADC为93.86%。TM24组的终末体重(FBW)、增重率(WGR)和特定生长率(SGR)显著高于其他组。同样,在TM24组中观察到肝脏蛋白质代谢基因(、、和)的mRNA表达水平最高以及抗氧化酶(谷胱甘肽过氧化物酶,Gpx;过氧化氢酶,Cat)活性最高。此外,肝脏中抗炎因子(和)的表达水平上调,促炎因子(和)的表达水平下调。基于增重率(WGR)对饲料中TM水平的二次回归模型分析表明,大口黑鲈饲料中TM替代FM的最佳水平为19.52%。饲料中用TM适当替代水平(低于36%)的FM可增强大口黑鲈的抗氧化能力和免疫力。然而,饲料中用TM高水平替代FM(超过48%)会损害肝脏健康并抑制大口黑鲈的生长。值得注意的是,大口黑鲈对TM具有较高的ADC和利用率,这表明将TM用作大口黑鲈饲料蛋白源是可行的。

https://cdn.ncbi.nlm.nih.gov/pmc/blobs/1ab3/10135357/e98d82e9fa69/animals-13-01389-g001.jpg

文献AI研究员

20分钟写一篇综述,助力文献阅读效率提升50倍。

立即体验

用中文搜PubMed

大模型驱动的PubMed中文搜索引擎

马上搜索

文档翻译

学术文献翻译模型,支持多种主流文档格式。

立即体验