Suppr超能文献

胆固醇 7-脱饱和酶在卵巢成熟和蜕皮中的功能分析:为生殖蜕皮进展提供证据。

Function Analysis of Cholesterol 7-Desaturase in Ovarian Maturation and Molting in : Providing Evidence for Reproductive Molting Progress.

机构信息

Wuxi Fisheries College, Nanjing Agricultural University, Wuxi 214081, China.

Key Laboratory of Freshwater Fisheries and Germplasm Resources Utilization, Ministry of Agriculture and Rural Affairs, Freshwater Fisheries Research Center, Chinese Academy of Fishery Sciences, Wuxi 214081, China.

出版信息

Int J Mol Sci. 2023 Apr 8;24(8):6940. doi: 10.3390/ijms24086940.

Abstract

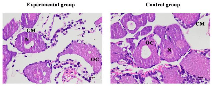
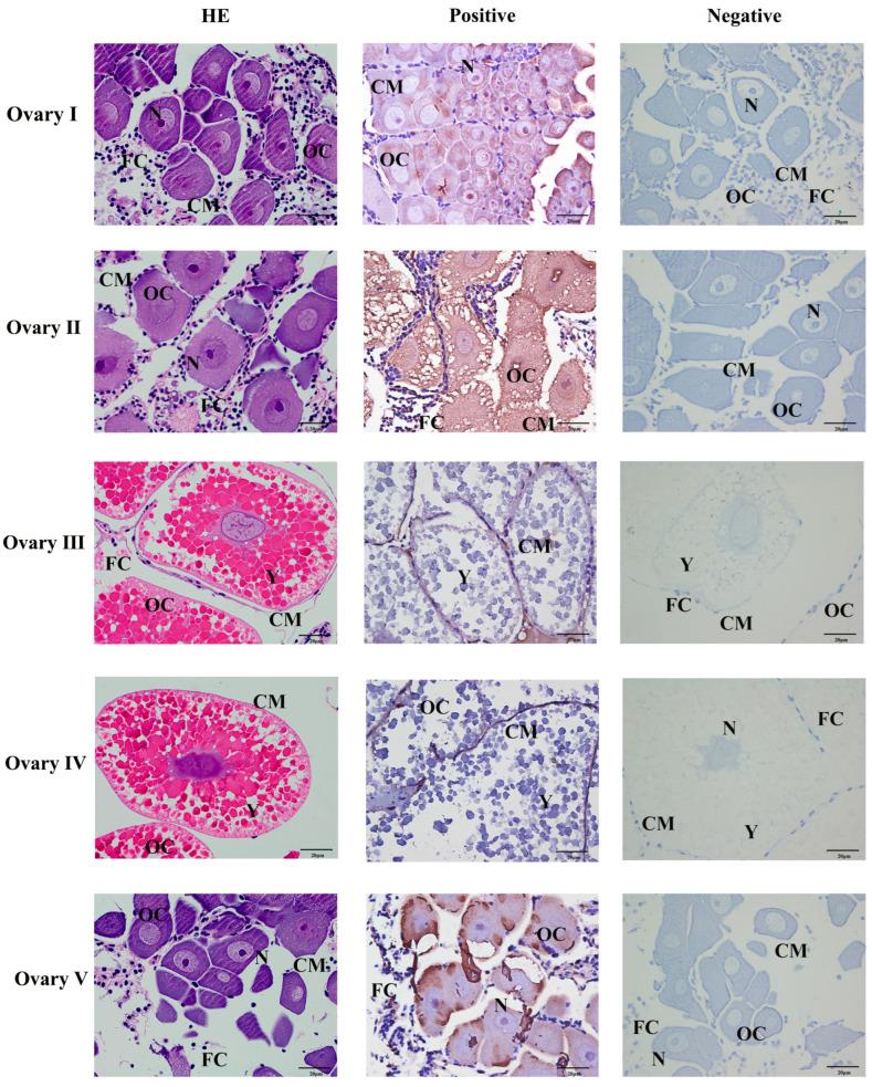
The Cholesterol 7-desaturase gene plays an important role in insect ecdysone synthesis, but its role in ovarian development has not been reported. In this study, characteristics and the phylogenetic relationship of Cholesterol 7-desaturase were identified by bioinformatics. qPCR showed that the gene was highly expressed in the ovary, which was much higher than that in other tissues, and the expression level of reached the highest level at the third stage of the ovarian development stage (O-III). During embryonic development, the gene expression was highest in the zoea stage. The function of the gene was explored by RNA interference. The experimental group was injected with dsRNA through the pericardial cavity of , while the control group was injected with the same volume of . Statistical analysis of gonadal development and GSI calculation showed that the silencing of - resulted in the suppression of gonadal development. In addition, the molting frequency of the experimental group was significantly lower than that of the control group during the second molting cycle after silencing . On the seventh day after silencing, ecdysone content in the experimental group was significantly reduced. These results demonstrated that the gene played a dual role in ovarian maturation and molting of .

摘要

胆固醇 7-脱饱和酶基因在昆虫蜕皮激素合成中发挥着重要作用,但它在卵巢发育中的作用尚未见报道。本研究通过生物信息学方法鉴定了胆固醇 7-脱饱和酶的特征和系统发育关系。qPCR 显示,该基因在卵巢中高度表达,明显高于其他组织,在卵巢发育阶段(O-III)的第 3 期达到表达水平的最高值。在胚胎发育过程中,该基因在幼体期表达最高。通过心脏注射 dsRNA 干扰该基因的功能,实验组注射 dsRNA,对照组注射相同体积的 。对性腺发育和 GSI 计算的统计分析表明,沉默 基因导致性腺发育受到抑制。此外,沉默后第二个蜕皮周期实验组的蜕皮频率明显低于对照组。沉默后第 7 天,实验组的蜕皮激素含量明显降低。这些结果表明, 基因在 的卵巢成熟和蜕皮中起双重作用。

https://cdn.ncbi.nlm.nih.gov/pmc/blobs/9864/10138363/76a068fcabf9/ijms-24-06940-g001.jpg

文献AI研究员

20分钟写一篇综述,助力文献阅读效率提升50倍。

立即体验

用中文搜PubMed

大模型驱动的PubMed中文搜索引擎

马上搜索

文档翻译

学术文献翻译模型,支持多种主流文档格式。

立即体验