Suppr超能文献

无铀低电压透射电子显微镜:用于蓝藻细胞超微结构研究的强大工具。

Urany-Less Low Voltage Transmission Electron Microscopy: A Powerful Tool for Ultrastructural Studying of Cyanobacterial Cells.

作者信息

Mrazova Katerina, Bacovsky Jaromir, Sedrlova Zuzana, Slaninova Eva, Obruca Stanislav, Fritz Ines, Krzyzanek Vladislav

机构信息

Institute of Scientific Instruments of the Czech Academy of Sciences, v.v.i., Kralovopolska 147, 612 64 Brno, Czech Republic.

Delong Instruments a.s., Palackeho Trida 3019/153 b, 612 00 Brno, Czech Republic.

出版信息

Microorganisms. 2023 Mar 29;11(4):888. doi: 10.3390/microorganisms11040888.

Abstract

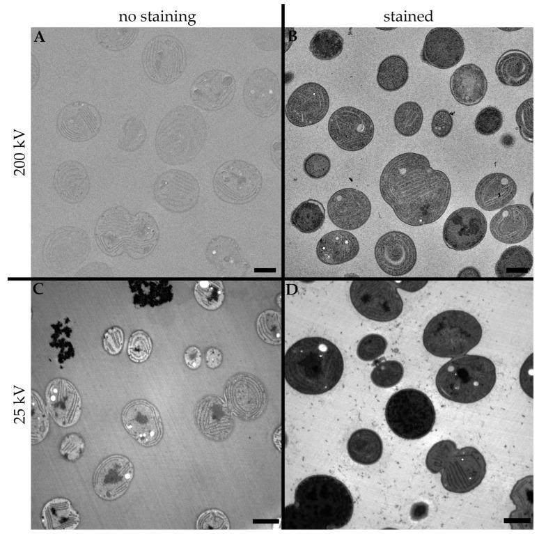
Sample preparation protocols for conventional high voltage transmission electron microscopy (TEM) heavily rely on the usage of staining agents containing various heavy metals, most commonly uranyl acetate and lead citrate. However high toxicity, rising legal regulations, and problematic waste disposal of uranyl acetate have increased calls for the reduction or even complete replacement of this staining agent. One of the strategies for uranyless imaging is the employment of low-voltage transmission electron microscopy. To investigate the influence of different imaging and staining strategies on the final image of cyanobacterial cells, samples stained by uranyl acetate with lead citrate, as well as unstained samples, were observed using TEM and accelerating voltages of 200 kV or 25 kV. Moreover, to examine the possibilities of reducing chromatic aberration, which often causes issues when imaging using electrons of lower energies, samples were also imaged using a scanning transmission electron microscopy at 15 kV accelerating voltages. The results of this study demonstrate that low-voltage electron microscopy offers great potential for uranyless electron microscopy.

摘要

传统高压透射电子显微镜(TEM)的样品制备方案严重依赖于含有各种重金属的染色剂的使用,最常见的是醋酸铀酰和柠檬酸铅。然而,醋酸铀酰的高毒性、日益严格的法律法规以及有问题的废物处理,使得减少甚至完全替代这种染色剂的呼声越来越高。无铀成像的策略之一是采用低电压透射电子显微镜。为了研究不同成像和染色策略对蓝藻细胞最终图像的影响,使用TEM和200 kV或25 kV的加速电压观察了用醋酸铀酰和柠檬酸铅染色的样品以及未染色的样品。此外,为了研究减少色差的可能性,色差在使用低能量电子成像时经常会导致问题,还使用扫描透射电子显微镜在15 kV加速电压下对样品进行了成像。这项研究的结果表明,低电压电子显微镜在无铀电子显微镜方面具有巨大潜力。

https://cdn.ncbi.nlm.nih.gov/pmc/blobs/28cb/10146862/8e609f918922/microorganisms-11-00888-g001.jpg

文献AI研究员

20分钟写一篇综述,助力文献阅读效率提升50倍。

立即体验

用中文搜PubMed

大模型驱动的PubMed中文搜索引擎

马上搜索

文档翻译

学术文献翻译模型,支持多种主流文档格式。

立即体验