Suppr超能文献

由于柠檬酸载体的降解导致染色质重塑,从而损害了老年间充质干细胞的成骨作用。

Chromatin remodeling due to degradation of citrate carrier impairs osteogenesis of aged mesenchymal stem cells.

机构信息

Max-Planck Research Group Chromatin and Ageing, Max Planck Institute for Biology of Ageing, Cologne, Germany.

Department of Biological Mechanisms of Ageing, Max Planck Institute for Biology of Ageing, Cologne, Germany.

出版信息

Nat Aging. 2021 Sep;1(9):810-825. doi: 10.1038/s43587-021-00105-8. Epub 2021 Sep 13.

Abstract

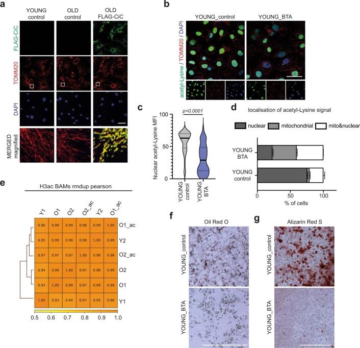
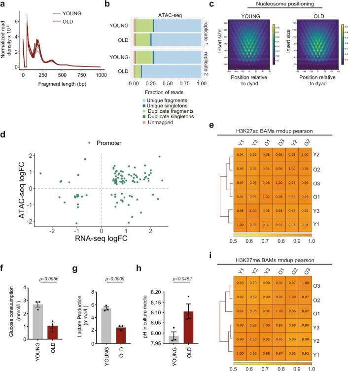
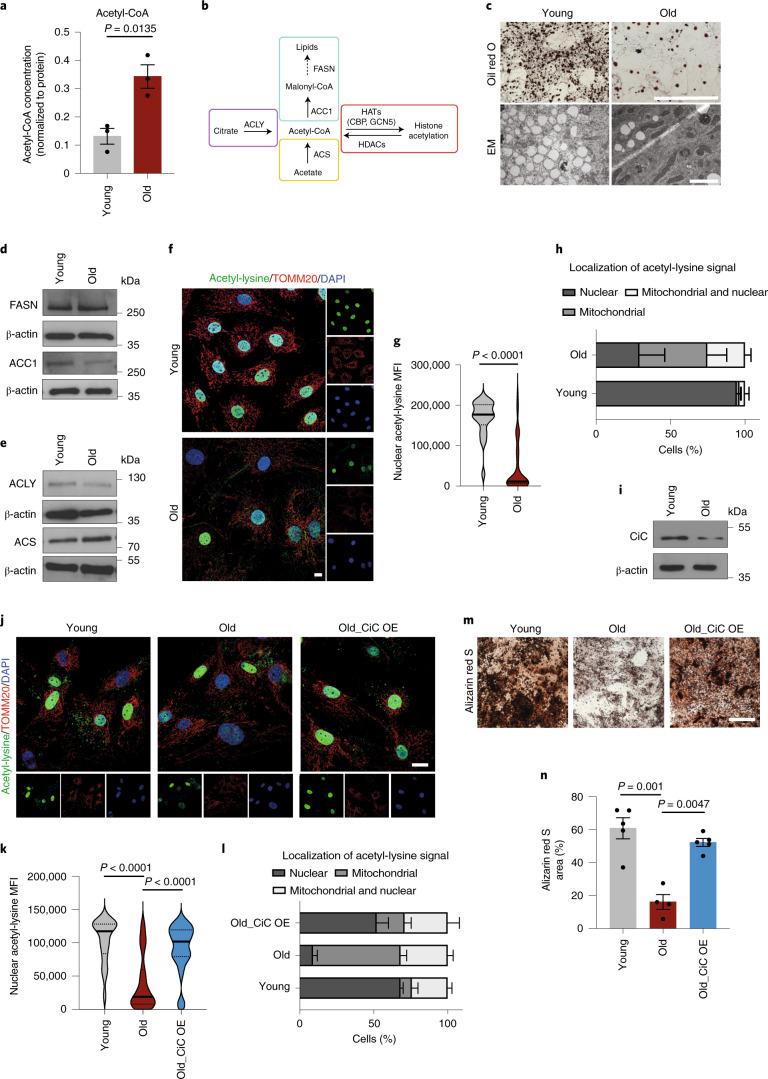
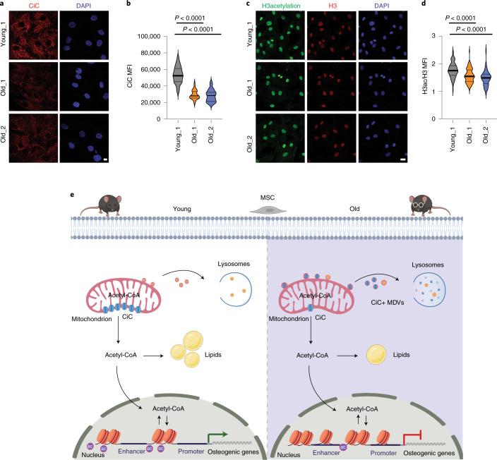
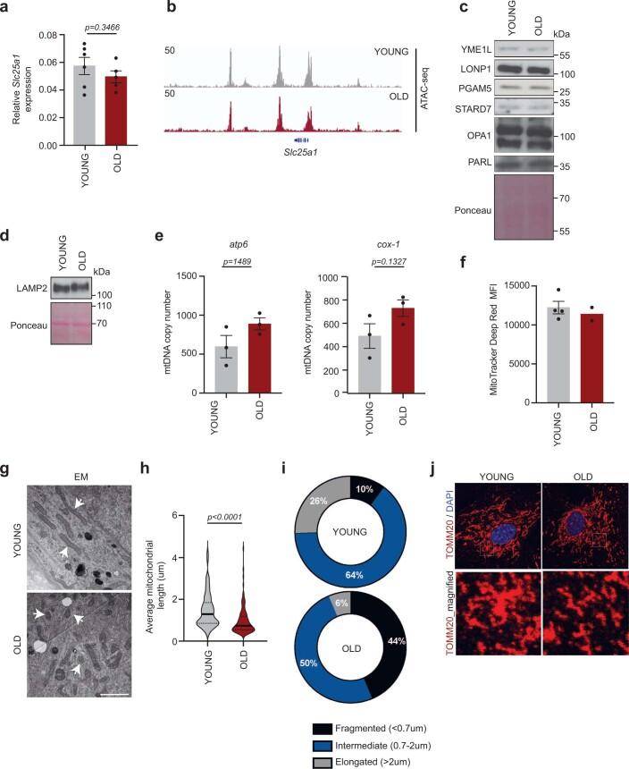
Aging is accompanied by a general decline in the function of many cellular pathways. However, whether these are causally or functionally interconnected remains elusive. Here, we study the effect of mitochondrial-nuclear communication on stem cell aging. We show that aged mesenchymal stem cells exhibit reduced chromatin accessibility and lower histone acetylation, particularly on promoters and enhancers of osteogenic genes. The reduced histone acetylation is due to impaired export of mitochondrial acetyl-CoA, owing to the lower levels of citrate carrier (CiC). We demonstrate that aged cells showed enhanced lysosomal degradation of CiC, which is mediated via mitochondrial-derived vesicles. Strikingly, restoring cytosolic acetyl-CoA levels either by exogenous CiC expression or via acetate supplementation, remodels the chromatin landscape and rescues the osteogenesis defects of aged mesenchymal stem cells. Collectively, our results establish a tight, age-dependent connection between mitochondrial quality control, chromatin and stem cell fate, which are linked together by CiC.

摘要

衰老是许多细胞通路功能普遍下降的伴随现象。然而,这些通路在因果关系或功能上是否相互关联仍难以捉摸。在这里,我们研究了线粒体-核通讯对干细胞衰老的影响。我们发现,衰老的间充质干细胞表现出染色质可及性降低和组蛋白乙酰化水平降低,特别是在成骨基因的启动子和增强子上。组蛋白乙酰化水平降低是由于柠檬酸载体 (CiC) 水平降低,导致线粒体乙酰-CoA 的输出受损。我们证明,衰老细胞表现出 CiC 的溶酶体降解增强,这是通过线粒体衍生的囊泡介导的。引人注目的是,通过外源 CiC 表达或通过乙酸盐补充来恢复细胞质乙酰-CoA 水平,重塑染色质景观并挽救衰老间充质干细胞的成骨缺陷。总的来说,我们的结果确立了线粒体质量控制、染色质和干细胞命运之间紧密的、依赖年龄的联系,这种联系通过 CiC 联系在一起。

https://cdn.ncbi.nlm.nih.gov/pmc/blobs/b6e1/10154229/5e098596971f/43587_2021_105_Fig1_HTML.jpg

文献AI研究员

20分钟写一篇综述,助力文献阅读效率提升50倍。

立即体验

用中文搜PubMed

大模型驱动的PubMed中文搜索引擎

马上搜索

文档翻译

学术文献翻译模型,支持多种主流文档格式。

立即体验