Suppr超能文献

质子治疗乳腺癌后肋骨骨折的发生率。

Incidence of Rib Fracture following Treatment with Proton Therapy for Breast Cancer.

作者信息

Bradley Julie A, Liang Xiaoying, Mailhot Vega Raymond B, Liu Chunbo, Brooks Eric D, Burchianti Teena, Viviers Emma, Dagan Roi, Oladeru Oluwadamilola T, Morris Christopher G, Mendenhall Nancy P

机构信息

Department of Radiation Oncology, University of Florida College of Medicine, Gainesville and Jacksonville, FL, USA.

Mayo Clinic, Jacksonville, FL, USA.

出版信息

Int J Part Ther. 2023 Mar 24;9(4):269-278. doi: 10.14338/IJPT-22-00034.1. eCollection 2023 Spring.

Abstract

PURPOSE

To determine the rib fracture rate in a cohort of patients with breast cancer treated with proton therapy.

PATIENT AND METHODS

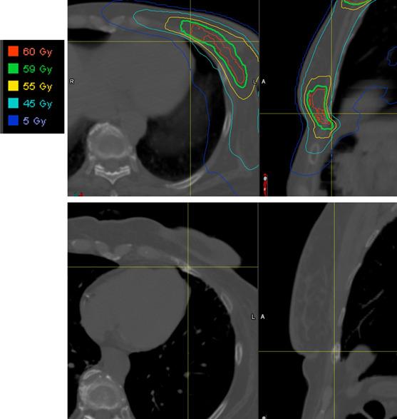
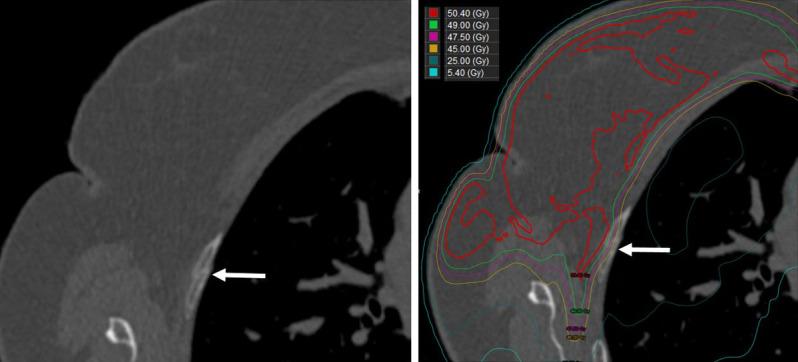
From a prospective database, we identified 225 patients treated with proton therapy between 2012 and 2020 (223 women; 2 men). Clinical and dosimetric data were extracted, the cumulative incidence method assessed rib fracture rate, and Fine-Gray tests assessed prognostic significance of select variables. In-field rib fracture was defined as a fracture that occurred in a rib located within the 10% isodose line. Out-of-field rib fracture was defined as a fracture occurring in a rib location outside of the 10% isodose line.

RESULTS

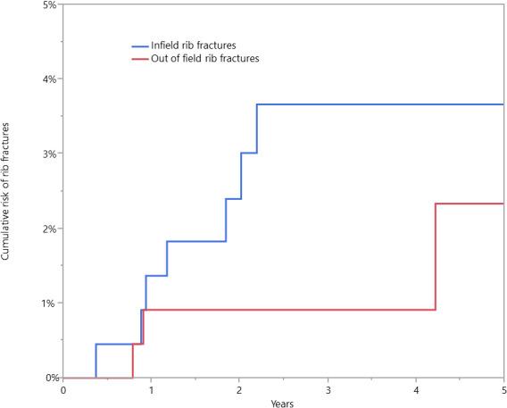
Of the patients, 74% had left-sided breast cancer; 5%, bilateral; and 21%, right-sided. Dual-energy x-ray absorptiometry scans showed normality in 20%, osteopenia in 34%, and osteoporosis in 6% (test not performed in 40%). Additionally, 57% received an aromatase inhibitor. Target volumes were breast ± internal mammary nodes (IMNs) (16%), breast and comprehensive regional lymphatics (32%), chest wall ± IMNs (1%), and chest wall/comprehensive regional lymphatics (51%). Passive-scattered proton therapy was used for 41% of patients, 58% underwent pencil-beam scanning (PBS), and 1% underwent a combination (passive scattering/PBS), with 85% of patients receiving a boost. Median follow-up was 3.1 years, with 97% having >12-month follow-up. The 3-year cumulative in-field rib fracture incidence was 3.7%. Eight patients developed in-field rib fractures (1 symptomatic, 7 imaging identified) for a 0.4% symptomatic rib fracture rate. Median time from radiation completion to rib fracture identification was 1.8 years (fractures were identified within 2.2 years for 7 of 8 patients). No variables were associated with rib fracture on univariate analysis. Three fractures developed outside the radiation field (0.9% cumulative incidence of out-of-field rib fracture).

CONCLUSION

In this series of patients with breast cancer treated with proton therapy, the 3-year rib fracture rates remain low (in-field 3.7%; symptomatic 0.4%). As in photon therapy, the asymptomatic rate may be underestimated owing to a lack of routine surveillance imaging. However, patients experiencing symptomatic rib fractures after proton therapy for breast cancer are rare.

摘要

目的

确定接受质子治疗的乳腺癌患者队列中的肋骨骨折发生率。

患者与方法

从一个前瞻性数据库中,我们识别出2012年至2020年间接受质子治疗的225例患者(223名女性;2名男性)。提取临床和剂量学数据,采用累积发病率法评估肋骨骨折发生率,采用Fine-Gray检验评估选定变量的预后意义。野内肋骨骨折定义为发生在10%等剂量线内的肋骨骨折。野外肋骨骨折定义为发生在10%等剂量线外的肋骨骨折。

结果

患者中,74%患有左侧乳腺癌;5%为双侧;21%为右侧。双能X线吸收法扫描显示,20%正常,34%骨质减少,6%骨质疏松(40%未进行该检查)。此外,57%接受了芳香化酶抑制剂治疗。靶区包括乳腺±内乳淋巴结(IMNs)(16%)、乳腺和综合区域淋巴结(32%)、胸壁±IMNs(1%)以及胸壁/综合区域淋巴结(51%)。41%的患者采用被动散射质子治疗,58%接受笔形束扫描(PBS),1%采用联合治疗(被动散射/PBS),85%的患者接受了加量照射。中位随访时间为3.1年,97%的患者随访时间超过12个月。3年累积野内肋骨骨折发生率为3.7%。8例患者发生野内肋骨骨折(1例有症状,7例经影像学检查发现),症状性肋骨骨折发生率为0.4%。从放疗结束到肋骨骨折确诊的中位时间为1.8年(8例患者中有7例在2.2年内确诊骨折)。单因素分析中没有变量与肋骨骨折相关。3例骨折发生在放疗野外(野外肋骨骨折累积发生率为0.9%)。

结论

在这组接受质子治疗的乳腺癌患者中,3年肋骨骨折发生率仍然较低(野内3.7%;有症状者0.4%)。与光子治疗一样,由于缺乏常规监测影像学检查,无症状发生率可能被低估。然而,乳腺癌质子治疗后出现症状性肋骨骨折的患者很少见。

https://cdn.ncbi.nlm.nih.gov/pmc/blobs/0a86/10166011/59224ab5318a/i2331-5180-9-4-269-f01.jpg

文献AI研究员

20分钟写一篇综述,助力文献阅读效率提升50倍。

立即体验

用中文搜PubMed

大模型驱动的PubMed中文搜索引擎

马上搜索

文档翻译

学术文献翻译模型,支持多种主流文档格式。

立即体验