Suppr超能文献

靶向 PHB1 抑制体外和体内去势抵抗性前列腺癌的进展。

Targeting PHB1 to inhibit castration-resistant prostate cancer progression in vitro and in vivo.

机构信息

Department of Biochemistry and Molecular Biology, School of Basic Medical Sciences, Cheeloo College of Medicine, Shandong University, Jinan, China.

The Key Laboratory of Experimental Teratology, Ministry of Education and Department of Pathology, School of Basic Medical Sciences, Cheeloo College of Medicine, Shandong University, Jinan, China.

出版信息

J Exp Clin Cancer Res. 2023 May 20;42(1):128. doi: 10.1186/s13046-023-02695-0.

Abstract

BACKGROUND

Castration-resistant prostate cancer (CRPC) is currently the main challenge for prostate cancer (PCa) treatment, and there is an urgent need to find novel therapeutic targets and drugs. Prohibitin (PHB1) is a multifunctional chaperone/scaffold protein that is upregulated in various cancers and plays a pro-cancer role. FL3 is a synthetic flavagline drug that inhibits cancer cell proliferation by targeting PHB1. However, the biological functions of PHB1 in CRPC and the effect of FL3 on CRPC cells remain to be explored.

METHODS

Several public datasets were used to analyze the association between the expression level of PHB1 and PCa progression as well as outcome in PCa patients. The expression of PHB1 in human PCa specimens and PCa cell lines was examined by immunohistochemistry (IHC), qRT-PCR, and Western blot. The biological roles of PHB1 in castration resistance and underlying mechanisms were investigated by gain/loss-of-function analyses. Next, in vitro and in vivo experiments were conducted to investigate the anti-cancer effects of FL3 on CRPC cells as well as the underlying mechanisms.

RESULTS

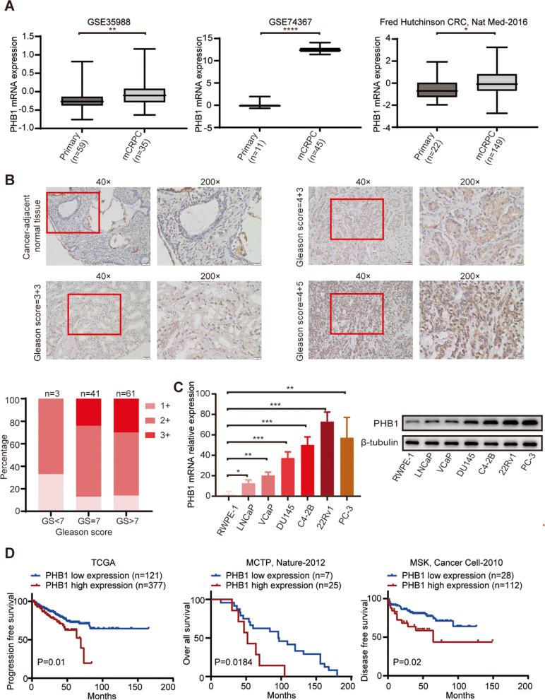
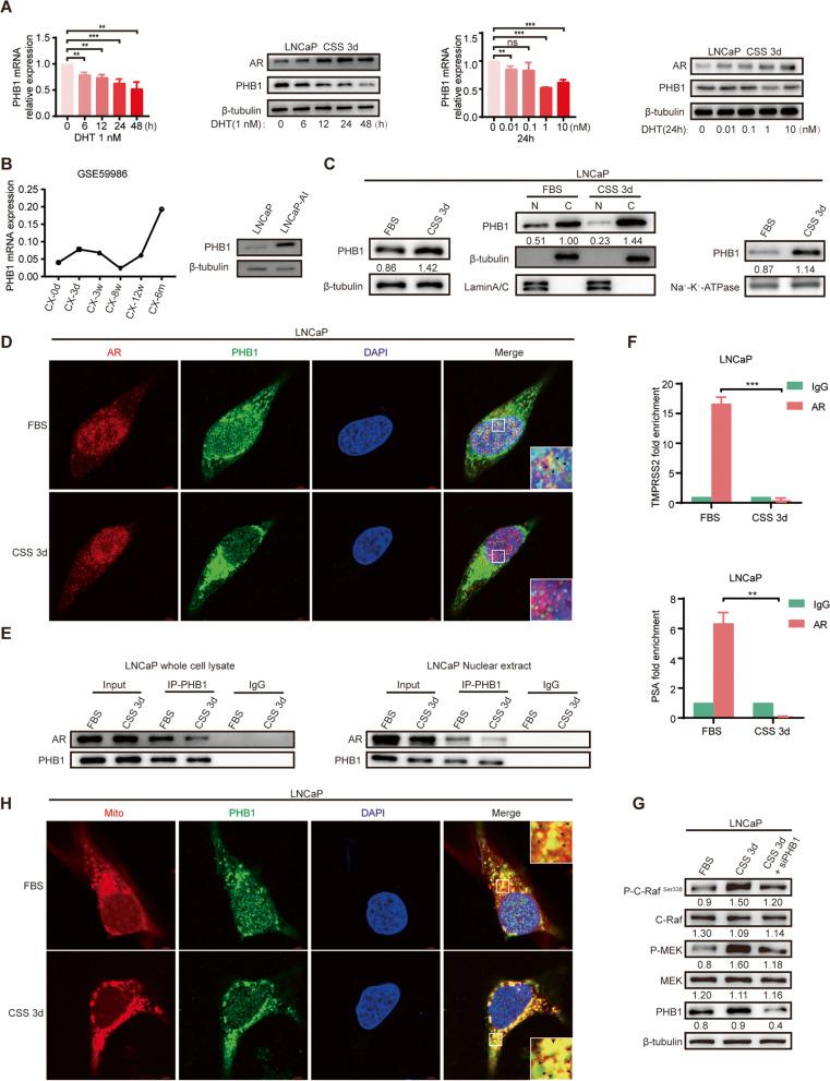
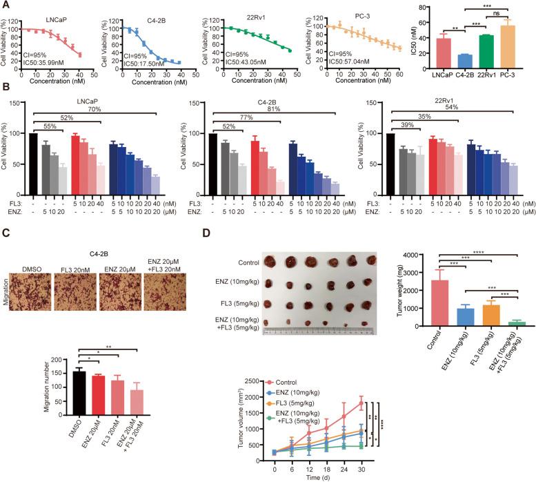
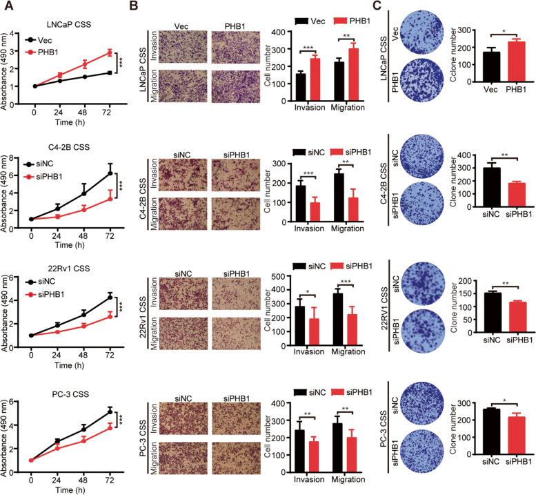
PHB1 expression was significantly upregulated in CRPC and was associated with poor prognosis. PHB1 promoted castration resistance of PCa cells under androgen deprivation condition. PHB1 is an androgen receptor (AR) suppressive gene, and androgen deprivation promoted the PHB1 expression and its nucleus-cytoplasmic translocation. FL3, alone or combined with the second-generation anti-androgen Enzalutamide (ENZ), suppressed CRPC cells especially ENZ-sensitive CRPC cells both in vitro and in vivo. Mechanically, we demonstrated that FL3 promoted trafficking of PHB1 from plasma membrane and mitochondria to nucleus, which in turn inhibited AR signaling as well as MAPK signaling, yet promoted apoptosis in CRPC cells.

CONCLUSION

Our data indicated that PHB1 is aberrantly upregulated in CRPC and is involved in castration resistance, as well as providing a novel rational approach for treating ENZ-sensitive CRPC.

摘要

背景

去势抵抗性前列腺癌(CRPC)是目前前列腺癌(PCa)治疗的主要挑战,迫切需要寻找新的治疗靶点和药物。抑制素(PHB1)是一种多功能伴侣/支架蛋白,在各种癌症中上调,发挥致癌作用。FL3 是一种合成的 flavagline 药物,通过靶向 PHB1 抑制癌细胞增殖。然而,PHB1 在 CRPC 中的生物学功能以及 FL3 对 CRPC 细胞的影响仍有待探索。

方法

使用几个公共数据集分析 PHB1 的表达水平与 PCa 患者 PCa 进展和结局的相关性。通过免疫组织化学(IHC)、qRT-PCR 和 Western blot 检测 PHB1 在人 PCa 标本和 PCa 细胞系中的表达。通过增益/失能分析研究 PHB1 在去势抵抗和潜在机制中的生物学作用。接下来,进行体外和体内实验研究 FL3 对 CRPC 细胞的抗癌作用及其潜在机制。

结果

PHB1 在 CRPC 中表达显著上调,与预后不良相关。PHB1 促进了雄激素剥夺条件下 PCa 细胞的去势抵抗。PHB1 是雄激素受体(AR)抑制基因,雄激素剥夺促进了 PHB1 的表达及其核质易位。FL3 单独或与第二代抗雄激素恩杂鲁胺(ENZ)联合使用,在体外和体内均抑制 CRPC 细胞,特别是 ENZ 敏感的 CRPC 细胞。机制上,我们证明 FL3 促进 PHB1 从质膜和线粒体向核内转运,从而抑制 AR 信号和 MAPK 信号,但促进 CRPC 细胞凋亡。

结论

我们的数据表明,PHB1 在 CRPC 中异常上调,参与去势抵抗,并为治疗 ENZ 敏感的 CRPC 提供了一种新的合理方法。

https://cdn.ncbi.nlm.nih.gov/pmc/blobs/1d97/10199526/e50c2e9884a6/13046_2023_2695_Fig1_HTML.jpg

文献AI研究员

20分钟写一篇综述,助力文献阅读效率提升50倍。

立即体验

用中文搜PubMed

大模型驱动的PubMed中文搜索引擎

马上搜索

文档翻译

学术文献翻译模型,支持多种主流文档格式。

立即体验