Suppr超能文献

无偏评估雷帕霉素作为 mTOR 抑制剂的特异性。

Unbiased evaluation of rapamycin's specificity as an mTOR inhibitor.

机构信息

Max Planck Institute for Biology of Ageing (MPI-AGE), Cologne, Germany.

Cologne Graduate School of Ageing Research (CGA), Cologne, Germany.

出版信息

Aging Cell. 2023 Aug;22(8):e13888. doi: 10.1111/acel.13888. Epub 2023 May 24.

Abstract

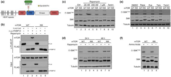
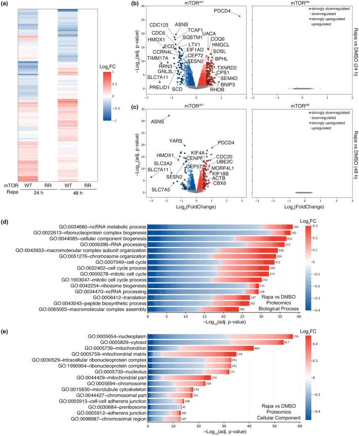
Rapamycin is a macrolide antibiotic that functions as an immunosuppressive and anti-cancer agent, and displays robust anti-ageing effects in multiple organisms including humans. Importantly, rapamycin analogues (rapalogs) are of clinical importance against certain cancer types and neurodevelopmental diseases. Although rapamycin is widely perceived as an allosteric inhibitor of mTOR (mechanistic target of rapamycin), the master regulator of cellular and organismal physiology, its specificity has not been thoroughly evaluated so far. In fact, previous studies in cells and in mice hinted that rapamycin may be also acting independently from mTOR to influence various cellular processes. Here, we generated a gene-edited cell line that expresses a rapamycin-resistant mTOR mutant (mTOR ) and assessed the effects of rapamycin treatment on the transcriptome and proteome of control or mTOR -expressing cells. Our data reveal a striking specificity of rapamycin towards mTOR, demonstrated by virtually no changes in mRNA or protein levels in rapamycin-treated mTOR cells, even following prolonged drug treatment. Overall, this study provides the first unbiased and conclusive assessment of rapamycin's specificity, with potential implications for ageing research and human therapeutics.

摘要

雷帕霉素是一种大环内酯类抗生素,具有免疫抑制和抗癌作用,并在包括人类在内的多种生物中表现出强大的抗衰老作用。重要的是,雷帕霉素类似物(rapalogs)在某些癌症类型和神经发育性疾病的临床治疗中具有重要意义。尽管雷帕霉素被广泛认为是 mTOR(雷帕霉素的作用靶点)的别构抑制剂,是细胞和机体生理学的主要调节剂,但迄今为止,其特异性尚未得到彻底评估。事实上,先前在细胞和小鼠中的研究表明,雷帕霉素可能也独立于 mTOR 发挥作用,影响各种细胞过程。在这里,我们生成了一种表达雷帕霉素抗性 mTOR 突变体(mTOR)的基因编辑细胞系,并评估了雷帕霉素处理对对照或 mTOR 表达细胞的转录组和蛋白质组的影响。我们的数据揭示了雷帕霉素对 mTOR 的惊人特异性,即使在延长药物处理后,mTOR 细胞中的 mRNA 或蛋白质水平几乎没有变化,证明了这一点。总的来说,这项研究首次对雷帕霉素的特异性进行了无偏倚和结论性的评估,这可能对衰老研究和人类治疗具有重要意义。

https://cdn.ncbi.nlm.nih.gov/pmc/blobs/42e5/10410055/f9fe6c8e3f8b/ACEL-22-e13888-g004.jpg

文献AI研究员

20分钟写一篇综述,助力文献阅读效率提升50倍。

立即体验

用中文搜PubMed

大模型驱动的PubMed中文搜索引擎

马上搜索

文档翻译

学术文献翻译模型,支持多种主流文档格式。

立即体验