Suppr超能文献

胶原纤维取向通过细胞收缩性指导成纤维细胞分化。

Collagen Fibril Orientation Instructs Fibroblast Differentiation Via Cell Contractility.

机构信息

Laboratory for Immuno Bioengineering Research and Applications, Division of Engineering, New York University Abu Dhabi, Abu Dhabi, 129188, UAE.

School of Engineering, Ecole Polytechnique Federale de Lausanne, Lausanne, 1015, Switzerland.

出版信息

Adv Sci (Weinh). 2023 Aug;10(22):e2301353. doi: 10.1002/advs.202301353. Epub 2023 May 30.

Abstract

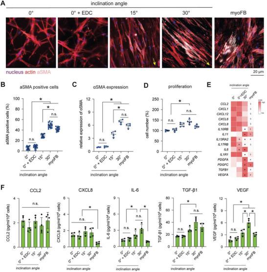
Collagen alignment is one of the key microarchitectural signatures of many pathological conditions, including scarring and fibrosis. Investigating how collagen alignment modulates cellular functions will pave the way for understanding tissue scarring and regeneration and new therapeutic strategies. However, current approaches for the fabrication of three-dimensional (3D) aligned collagen matrices are low-throughput and require special devices. To overcome these limitations, a simple approach to reconstitute homogeneous 3D collagen matrices with adjustable degree of fibril alignment using 3D printed inclined surfaces is developed. By characterizing the mechanical properties of reconstituted matrices, it is found that the elastic modulus of collagen matrices is enhanced with an increase in the alignment degree. The reconstituted matrices are used to study fibroblast behavior to reveal the progression of scar formation where a gradual enhancement of collagen alignment can be observed. It is found that matrices with aligned fibrils trigger fibroblast differentiation into myofibroblasts via cell contractility, while collagen stiffening through a crosslinker does not. The results suggest the impact of collagen fibril organization on the regulation of fibroblast differentiation. Overall, this approach to reconstitute 3D collagen matrices with fibril alignment opens opportunities for biomimetic pathological-relevant tissue in vitro, which can be applied for other biomedical research.

摘要

胶原纤维的有序排列是许多病理状态(包括瘢痕和纤维化)的关键微观结构特征之一。研究胶原纤维的有序排列如何调节细胞功能,将为理解组织瘢痕和再生以及新的治疗策略铺平道路。然而,目前用于制备三维(3D)有序胶原基质的方法存在通量低和需要特殊设备的局限性。为了克服这些限制,开发了一种简单的方法,使用 3D 打印的倾斜表面来重新构建具有可调节纤维排列程度的均匀 3D 胶原基质。通过对重构基质的机械性能进行表征,发现胶原基质的弹性模量随纤维排列程度的增加而增强。将重构的基质用于研究成纤维细胞行为,以揭示瘢痕形成的进展,在此过程中可以观察到胶原纤维排列逐渐增强。研究发现,具有纤维排列的基质通过细胞收缩力将成纤维细胞分化为肌成纤维细胞,而通过交联剂使胶原变硬则不会。结果表明胶原纤维组织对成纤维细胞分化的调节作用。总之,这种具有纤维排列的 3D 胶原基质的重构方法为体外仿生相关组织提供了机会,可应用于其他生物医学研究。

https://cdn.ncbi.nlm.nih.gov/pmc/blobs/1744/10401101/4010bb4f811f/ADVS-10-2301353-g004.jpg

文献AI研究员

20分钟写一篇综述,助力文献阅读效率提升50倍。

立即体验

用中文搜PubMed

大模型驱动的PubMed中文搜索引擎

马上搜索

文档翻译

学术文献翻译模型,支持多种主流文档格式。

立即体验