Suppr超能文献

硫酸镁靶向内质网应激相关的PERK/GRP78/CHOP信号通路可减轻慢性束缚应激诱导的大鼠抑郁样神经病理学变化。

Targeting the Endoplasmic Reticulum Stress-Linked PERK/GRP78/CHOP Pathway with Magnesium Sulfate Attenuates Chronic-Restraint-Stress-Induced Depression-like Neuropathology in Rats.

作者信息

Arab Hany H, Khames Ali, Alsufyani Shuruq E, El-Sheikh Azza A K, Gad Amany M

机构信息

Department of Pharmacology and Toxicology, College of Pharmacy, Taif University, P.O. Box 11099, Taif 21944, Saudi Arabia.

Department of Pharmacology and Toxicology, Faculty of Pharmacy, Sohag University, Sohag 82511, Egypt.

出版信息

Pharmaceuticals (Basel). 2023 Feb 15;16(2):300. doi: 10.3390/ph16020300.

Abstract

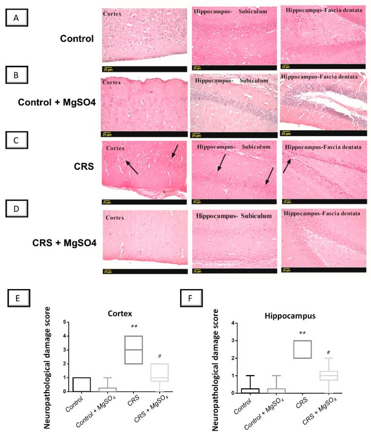
Magnesium sulfate has demonstrated marked neuroprotection in eclampsia, hypoxia, stroke, and post-traumatic brain injury rodent models. However, its potential impact against chronic-restraint-stress (CRS)-induced depression-like neuropathology and associated alterations in endoplasmic reticulum (ER) stress have not been adequately examined. The present study aimed to investigate the neuroprotective potential of magnesium sulfate in a rat model of CRS-triggered depression-like behavioral disturbance and the underlying molecular mechanisms. Herein, CRS was induced by placing rats into restraining tubes for 6 h/day for 21 days and the animals were intraperitoneally injected with magnesium sulfate (100 mg/kg/day) during the study period. After stress cessation, the depression-like behavior was examined by the open-field test, sucrose preference test, and forced swimming test. The present data demonstrated that CRS triggered typical depression-like behavioral changes which were confirmed by the Z-normalization scores. Mechanistically, serum circulating corticosterone levels spiked, and the hippocampi of CRS-exposed animals demonstrated a significant decline in serotonin, norepinephrine, and dopamine neurotransmitters. At the molecular level, the hippocampal pro-inflammatory TNF-alpha and IL-1β cytokines and the oxidative stress marker 8-hydroxy-2'-deoxyguanosine (8-HG) increased in stressed animals. In tandem, enhancement of hippocampal ER stress was evidenced by the activation of iNOS/PERK/GRP78/CHOP axis seen by increased protein expression of iNOS, PERK, GRP78, and CHOP signal proteins in the hippocampi of stressed rats. Interestingly, magnesium sulfate administration attenuated the depression-like behavioral outcomes and the histopathological changes in the brain hippocampi. These favorable actions were driven by magnesium sulfate's counteraction of corticosterone spike, and hippocampal neurotransmitter decline, alongside the attenuation of neuroinflammation, pro-oxidation, and ER stress. In conclusion, the current results suggest the promising neuroprotective/antidepressant actions of magnesium sulfate in CRS by dampening inflammation, ER stress, and the associated PERK/GRP78/CHOP pathway.

摘要

硫酸镁已在子痫、缺氧、中风和创伤性脑损伤啮齿动物模型中显示出显著的神经保护作用。然而,其对慢性束缚应激(CRS)诱导的抑郁样神经病理学及内质网(ER)应激相关改变的潜在影响尚未得到充分研究。本研究旨在探讨硫酸镁在CRS引发的抑郁样行为障碍大鼠模型中的神经保护潜力及其潜在分子机制。在此,通过将大鼠每天置于束缚管中6小时,持续21天来诱导CRS,并且在研究期间给动物腹腔注射硫酸镁(100mg/kg/天)。应激停止后,通过旷场试验、蔗糖偏好试验和强迫游泳试验来检测抑郁样行为。目前的数据表明,CRS引发了典型的抑郁样行为变化,这通过Z标准化分数得到证实。从机制上讲,血清循环皮质酮水平飙升,暴露于CRS的动物海马体中血清素、去甲肾上腺素和多巴胺神经递质显著下降。在分子水平上,应激动物海马体中的促炎细胞因子TNF-α和IL-1β以及氧化应激标志物8-羟基-2'-脱氧鸟苷(8-HG)增加。同时,应激大鼠海马体中iNOS、PERK、GRP78和CHOP信号蛋白的蛋白表达增加,表明iNOS/PERK/GRP78/CHOP轴被激活,从而证明海马体ER应激增强。有趣的是,给予硫酸镁可减轻抑郁样行为结果以及脑海马体的组织病理学变化。这些有益作用是由硫酸镁对抗皮质酮飙升、海马体神经递质下降以及减轻神经炎症、促氧化和ER应激所驱动的。总之,目前的结果表明硫酸镁通过减轻炎症、ER应激以及相关的PERK/GRP78/CHOP途径,在CRS中具有有前景的神经保护/抗抑郁作用。

https://cdn.ncbi.nlm.nih.gov/pmc/blobs/86a2/9961498/da559d3d01ee/pharmaceuticals-16-00300-g001.jpg

文献AI研究员

20分钟写一篇综述,助力文献阅读效率提升50倍。

立即体验

用中文搜PubMed

大模型驱动的PubMed中文搜索引擎

马上搜索

文档翻译

学术文献翻译模型,支持多种主流文档格式。

立即体验