Suppr超能文献

中间型滋养细胞性妊娠滋养细胞肿瘤:上皮样滋养细胞肿瘤和胎盘部位滋养细胞肿瘤,一项关于形态学、免疫组织化学及二代测序的研究

Gestational trophoblastic neoplasia of intermediate trophoblasts: Epithelioid trophoblastic tumor and placental site trophoblastic tumor, a study of morphologic, immunohistochemical, and next generation sequencing.

作者信息

Öz Atalay Fatma, Gündoğdu Fatma, Taşar Kapaklı Gözde Elif, Güneş Ali Can, Güler Yeşim Gaye, Usubütün Alp

机构信息

Uludağ University Faculty of Medicine, Department of Pathology, Bursa, Turkey.

Hacettepe University Faculty of Medicine, Department of Pathology, Ankara, Turkey.

出版信息

Turk J Obstet Gynecol. 2023 Jun 1;20(2):105-112. doi: 10.4274/tjod.galenos.2023.73549.

Abstract

OBJECTIVE

Gestational trophoblastic tumors are very rare neoplasms. We determined the distinctive morphological, immunohistochemical, and clinical features of placental site trophoblastic tumors (PSTT) and epithelioid trophoblastic tumors (ETT) in our cohort.

MATERIALS AND METHODS

Nine cases of PSTT and four cases of ETT were retrieved from the archives. Histomorphologic, immunohistochemical, and clinical features were noted. A molecular study was performed on one PSTT and one ETT case using next-generation sequencing.

RESULTS

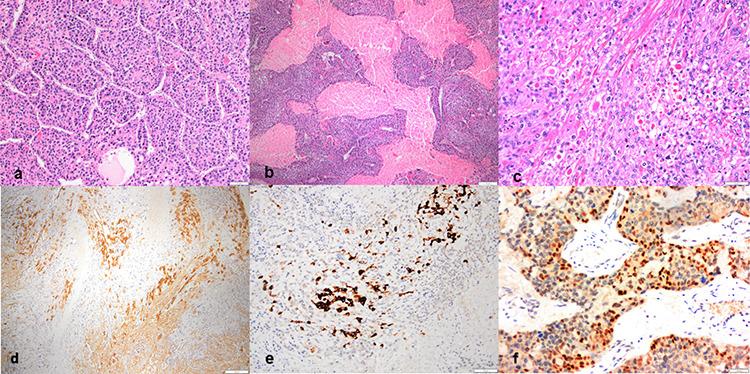
While the nodular pattern, geographic necrosis, and extracellular eosinophilic globules were peculiar to ETTs, vessel wall affinity, marked pleomorphism, intranuclear pseudoinclusion, spindle tumor cell, and vacuolar degeneration were more specific for PSTTs in our series. An immunohistochemical panel of p63, hPL, and CD146 were helpful for the exact typing of the tumor. p63 positivity supports the ETT and diffuse staining of hPL and CD146 supports the PSTT diagnosis. Three of the patients with metastatic disease (lung and brain metastasis) except one have a high mitotic count (12 and 8) and a long interval between (8 and 10 years) antecedent pregnancy and diagnosis. While KIT and TP53 mutations were observed only in PSTT, amino acid changes in KDR, APC, and SMAD4 genes were detected both in the ETT and PSTT cases.

CONCLUSION

In the prediction of metastasis, the long intervals between antecedent pregnancy and diagnosis, deep myometrial invasion, mitotic count, and Ki67 proliferation index were involved rather than other histomorphological parameters, but none of the parameters is an absolute predictor of the metastasis.

摘要

目的

妊娠滋养细胞肿瘤是非常罕见的肿瘤。我们确定了我们队列中胎盘部位滋养细胞肿瘤(PSTT)和上皮样滋养细胞肿瘤(ETT)独特的形态学、免疫组化及临床特征。

材料与方法

从存档资料中检索出9例PSTT和4例ETT。记录组织形态学、免疫组化及临床特征。对1例PSTT和1例ETT病例进行了二代测序的分子研究。

结果

虽然结节状模式、地图状坏死及细胞外嗜酸性小球是ETT所特有的,但在我们的系列研究中,血管壁亲和力、显著的多形性、核内假包涵体、梭形肿瘤细胞及空泡变性对PSTT更具特异性。p63、人胎盘催乳素(hPL)和CD146的免疫组化组合有助于肿瘤的准确分型。p63阳性支持ETT诊断,hPL和CD146的弥漫性染色支持PSTT诊断。除1例患者外,3例有转移疾病(肺和脑转移)的患者有较高的有丝分裂计数(分别为12和8),且既往妊娠与诊断之间间隔时间较长(8至10年)。虽然仅在PSTT中观察到KIT和TP53突变,但在ETT和PSTT病例中均检测到KDR、APC和SMAD4基因的氨基酸变化。

结论

在转移预测方面,涉及的因素是既往妊娠与诊断之间的间隔时间长、子宫肌层深部浸润、有丝分裂计数和Ki67增殖指数,而非其他组织形态学参数,但这些参数均不是转移的绝对预测指标。

https://cdn.ncbi.nlm.nih.gov/pmc/blobs/54a5/10236228/58289d3ce446/TJOG-20-105-g1.jpg

文献AI研究员

20分钟写一篇综述,助力文献阅读效率提升50倍。

立即体验

用中文搜PubMed

大模型驱动的PubMed中文搜索引擎

马上搜索

文档翻译

学术文献翻译模型,支持多种主流文档格式。

立即体验