Suppr超能文献

用辐照的禽致病性 气溶胶给小鸡接种可诱导局部免疫刺激作用。

Aerosol vaccination of chicken pullets with irradiated avian pathogenic induces a local immunostimulatory effect.

机构信息

Clinic for Poultry and Fish Medicine, Department for Farm Animals and Veterinary Public Health, University of Veterinary Medicine, Vienna, Austria.

Animal Production and Health Laboratory, Joint FAO/IAEA Centre of Nuclear Techniques in Food and Agriculture, International Atomic Energy Agency (IAEA), Vienna, Austria.

出版信息

Front Immunol. 2023 May 16;14:1185232. doi: 10.3389/fimmu.2023.1185232. eCollection 2023.

Abstract

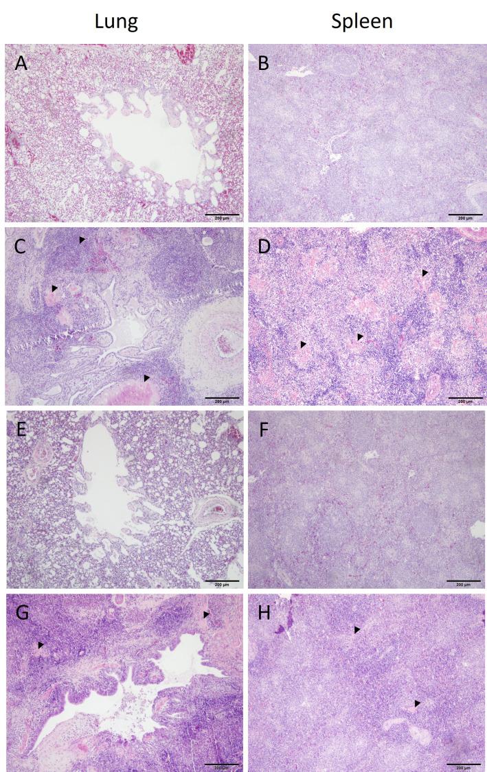
The present study investigated the expression of cytokines and cellular changes in chickens following vaccination with irradiated avian pathogenic (APEC) and/or challenge. Four groups of 11-week-old pullets, each consisting of 16 birds were kept separately in isolators before they were sham inoculated (N), challenged only (C), vaccinated (V) or vaccinated and challenged (V+C). Vaccination was performed using irradiated APEC applied aerosol. For challenge, the homologous strain was administered intratracheally. Birds were sacrificed on 3, 7, 14 and 21 days post challenge (dpc) to examine lesions, organ to body weight ratios and bacterial colonization. Lung and spleen were sampled for investigating gene expression of cytokines mediating inflammation by RT-qPCR and changes in the phenotype of subsets of mononuclear cells by flow cytometry. After re-stimulation of immune cells by co-cultivation with the pathogen, APEC-specific IFN-γ producing cells were determined. Challenged only birds showed more severe pathological and histopathological lesions, a higher probability of bacterial re-isolation and higher organ to body weight ratios compared to vaccinated and challenged birds. In the lung, an upregulation of and following vaccination and/or challenge at 3 dpc was observed, whereas in the spleen was elevated. Changes were observed in macrophages and TCR-γδ cells within 7 dpc in spleen and lung of challenged birds. Furthermore, an increase of CD4 cells in spleen and a rise of Bu-1 cells in lung were present in vaccinated and challenged birds at 3 dpc. APEC re-stimulated lung and spleen mononuclear cells from only challenged pullets showed a significant increase of IFN-γCD8α and IFN-γTCR-γδ cells. Vaccinated and challenged chickens responded with a significant increase of IFN-γCD8α T cells in the lung and IFN-γTCR-γδ cells in the spleen. Re-stimulation of lung mononuclear cells from vaccinated birds resulted in a significant increase of both IFN-γCD8α and IFN-γTCR-γδ cells. In conclusion, vaccination with irradiated APEC caused enhanced pro-inflammatory response as well as the production of APEC-specific IFN-γ-producing γδ and CD8α T cells, which underlines the immunostimulatory effect of the vaccine in the lung. Hence, our study provides insights into the underlying immune mechanisms that account for the defense against APEC.

摘要

本研究调查了鸡在接种辐照禽致病性(APEC)和/或挑战后的细胞因子表达和细胞变化。将四组 11 周龄的母鸡,每组 16 只,分别饲养在隔离器中,然后进行假接种(N)、仅挑战(C)、接种(V)或接种和挑战(V+C)。接种使用气溶胶接种辐照 APEC。进行挑战时,通过气管内施用同源株。在攻毒后 3、7、14 和 21 天(dpc)处死鸟类,以检查病变、器官与体重比和细菌定植。通过 RT-qPCR 检测参与炎症的细胞因子的基因表达,并通过流式细胞术检测单核细胞亚群表型的变化,从肺和脾脏中取样。在用病原体共培养重新刺激免疫细胞后,确定 APEC 特异性 IFN-γ 产生细胞。仅接受挑战的鸟类与接种和挑战的鸟类相比,显示出更严重的病理和组织病理学病变、更高的细菌再分离概率和更高的器官与体重比。在肺部,在 3 dpc 时观察到接种和/或挑战后 和 的上调,而在脾脏中 升高。在攻毒的鸟类的脾脏和肺中,在 7 dpc 时观察到巨噬细胞和 TCR-γδ 细胞的变化。此外,在 3 dpc 时,接种和挑战的鸟类的脾脏中 CD4 细胞增加,肺中 Bu-1 细胞增加。仅接受挑战的母鸡的 APEC 重新刺激肺和脾脏单核细胞显示 IFN-γCD8α 和 IFN-γTCR-γδ 细胞显著增加。接种和挑战的鸡对肺部 IFN-γCD8α T 细胞和脾脏 IFN-γTCR-γδ 细胞的增加有显著反应。接种鸟类的肺单核细胞的重新刺激导致 IFN-γCD8α 和 IFN-γTCR-γδ 细胞的显著增加。总之,用辐照 APEC 接种会引起促炎反应增强以及 APEC 特异性 IFN-γ 产生的 γδ 和 CD8α T 细胞的产生,这强调了疫苗在肺部的免疫刺激作用。因此,我们的研究提供了对解释针对 APEC 防御的潜在免疫机制的见解。

https://cdn.ncbi.nlm.nih.gov/pmc/blobs/3c82/10227613/1368f044e95c/fimmu-14-1185232-g001.jpg

文献AI研究员

20分钟写一篇综述,助力文献阅读效率提升50倍。

立即体验

用中文搜PubMed

大模型驱动的PubMed中文搜索引擎

马上搜索

文档翻译

学术文献翻译模型,支持多种主流文档格式。

立即体验