Suppr超能文献

Frey1 的跨膜结构域含有一个可移植的跨膜蛋白酶抑制基序。

The transmembrane domain of Frey1 harbors a transplantable inhibitory motif for intramembrane proteases.

机构信息

Institute of Physiological Chemistry, Technische Universität Dresden, Fiedlerstraße 42, 01307, Dresden, Germany.

Unit for Structural Biology, VIB-UGent Center for Inflammation Research, Ghent, Belgium.

出版信息

Cell Mol Life Sci. 2023 Jun 1;80(6):170. doi: 10.1007/s00018-023-04823-7.

Abstract

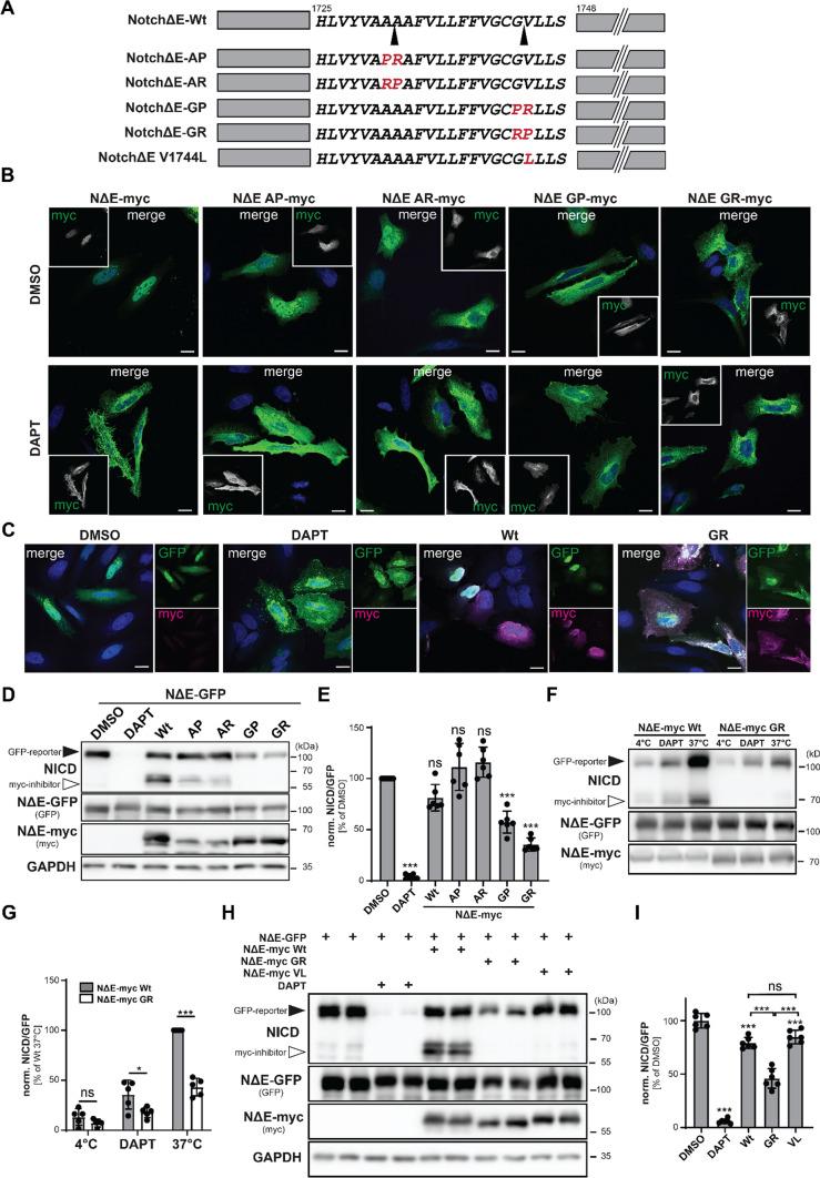
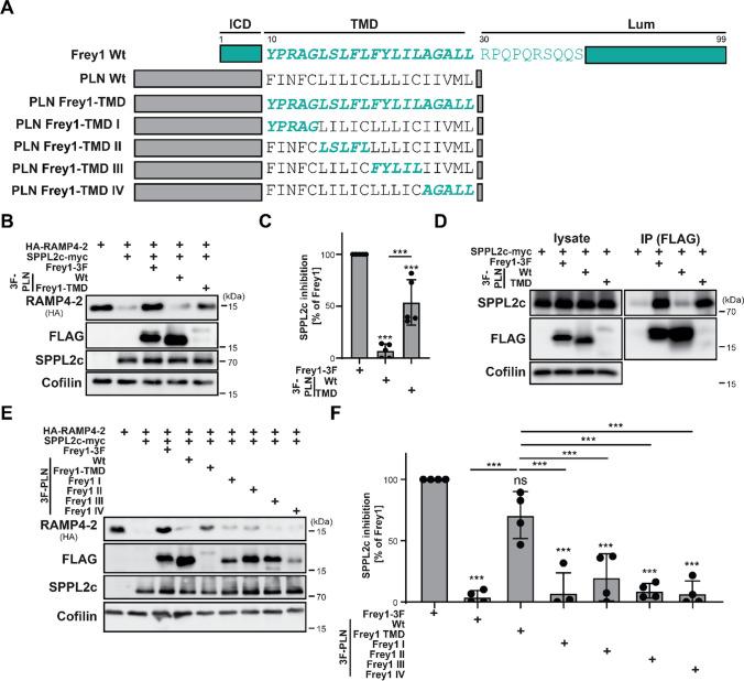
Although aspartic intramembrane-cleaving proteases (I-CLIPs) are crucial switches of multiple signaling pathways and involved in several devastating diseases, little is known about their physiological regulation. We have recently identified Frey regulator of sperm-oocyte fusion 1 (Frey1) as an inhibitory protein of Signal Peptide Peptidase-like 2c (SPPL2c), a member of this protease family. Employing structure modeling along with cell-based inhibition and interaction studies, we identify a short motif within the Frey1 transmembrane domain essential for inhibition of SPPL2c. Intriguingly, this motif can be transplanted to the SPPL2c substrate PLN, thereby transforming it into an inhibitor of this enzyme. It can be adopted for the generation of Notch1-based γ-Secretase inhibitors demonstrating its versatile use among aspartic I-CLIPs. In summary, we describe a mechanism of aspartic I-CLIP inhibition which allows the targeted generation of specific inhibitors of these enzymes and might enable the identification of endogenous negative regulators of these enzymes.

摘要

虽然天冬氨酸膜内切割蛋白酶(I-CLIPs)是多种信号通路的关键开关,并且参与了几种破坏性疾病,但人们对其生理调节知之甚少。我们最近发现,精子-卵子融合 1 号弗雷因子(Frey1)是信号肽肽酶样 2c(SPPL2c)的抑制蛋白,SPPL2c 是该蛋白酶家族的成员。通过结构建模以及基于细胞的抑制和相互作用研究,我们确定了 Frey1 跨膜结构域内的一个短基序,对于抑制 SPPL2c 至关重要。有趣的是,该基序可以移植到 SPPL2c 的底物 PLN 上,从而将其转化为该酶的抑制剂。它可以用于生成基于 Notch1 的 γ-分泌酶抑制剂,证明其在天冬氨酸 I-CLIP 中的多功能性。总之,我们描述了一种天冬氨酸 I-CLIP 抑制机制,该机制允许针对这些酶的特定抑制剂的生成,并可能能够鉴定这些酶的内源性负调节剂。

https://cdn.ncbi.nlm.nih.gov/pmc/blobs/8acc/11072791/7a3a52e9cd4b/18_2023_4823_Fig1_HTML.jpg

文献AI研究员

20分钟写一篇综述,助力文献阅读效率提升50倍。

立即体验

用中文搜PubMed

大模型驱动的PubMed中文搜索引擎

马上搜索

文档翻译

学术文献翻译模型,支持多种主流文档格式。

立即体验