Suppr超能文献

新冠感染及疫苗接种后狼疮性脑炎致新发急性精神病:一例罕见病例报告。

New-onset acute psychosis as a manifestation of lupus cerebritis following concomitant COVID-19 infection and vaccination: a rare case report.

机构信息

Faculty of Medicine of Tunis, Tunis Al Manar University, Tunis, Tunisia.

The Tunisian Center of Early Intervention in Psychosis, Department of Psychiatry "Ibn Omrane", Razi Hospital, Manouba, 2010, Tunisia.

出版信息

BMC Psychiatry. 2023 Jun 12;23(1):419. doi: 10.1186/s12888-023-04924-4.

Abstract

BACKGROUND

Rare cases of COVID-19 infection- and vaccine-triggered autoimmune diseases have been separately reported in the literature. In this paper, we report the first and unique case of new onset acute psychosis as a manifestation of lupus cerebritis following concomitant COVID-19 infection and vaccination in a previously healthy 26-year-old Tunisian female.

CASE PRESENTATION

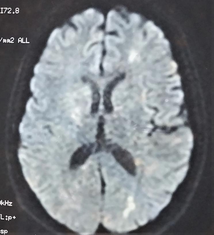
A 26-years old female with a family history of a mother diagnosed with schizophrenia, and no personal medical or psychiatric history, was diagnosed with mild COVID-19 infection four days after receiving the second dose of Pfizer-BioNTech COVID-19 vaccine. One month after receiving the vaccine, she presented to the psychiatric emergency department with acute psychomotor agitation, incoherent speech and total insomnia evolving for five days. She was firstly diagnosed with a brief psychotic disorder according to the DSM-5, and was prescribed risperidone (2 mg/day). On the seventh day of admission, she reported the onset of severe asthenia with dysphagia. Physical examination found fever, tachycardia, and multiple mouth ulcers. Neurological evaluation revealed a dysarthria with left hemiparesis. On laboratory tests, she had severe acute kidney failure, proteinuria, high CRP values, and pancytopenia. Immune tests identified the presence of antinuclear antibodies. Brain magnetic resonance imaging (MRI) revealed hyperintense signals in the left fronto-parietal lobes and the cerebellum. The patient was diagnosed with systemic lupus erythematosus (SLE) and put on anti-SLE drugs and antipsychotics, with a favorable evolution.

CONCLUSIONS

The chronological relationship between COVID-19 infection, vaccination and the first lupus cerebritis manifestations is highly suggestive, albeit with no certainty, of the potential causal link. We suggest that precautionary measures should be taken to decrease the risk of SLE onset or exacerbation after COVID-19 vaccination, including a systematic COVID-19 testing before vaccination in individuals with specific predisposition.

摘要

背景

COVID-19 感染和疫苗引发的自身免疫性疾病的罕见病例已在文献中分别报道。在本文中,我们报告了首例也是唯一一例新发病例,即 COVID-19 感染和疫苗接种后,一名先前健康的 26 岁突尼斯女性出现 COVID-19 感染和疫苗接种后新发急性精神病,表现为狼疮性脑脊髓炎。

病例介绍

一名 26 岁女性,有一位被诊断患有精神分裂症的母亲,无个人医疗或精神病史,在接种辉瑞-BioNTech COVID-19 疫苗第二剂后四天被诊断为轻度 COVID-19 感染。接种疫苗一个月后,她因急性精神运动激越、言语不连贯和完全失眠 5 天而到精神科急诊就诊。根据 DSM-5,她最初被诊断为短暂精神病障碍,并开了利培酮(2mg/天)。入院第 7 天,她报告出现严重乏力伴吞咽困难。体格检查发现发热、心动过速和多发性口腔溃疡。神经系统检查发现构音障碍伴左侧偏瘫。实验室检查发现严重急性肾衰竭、蛋白尿、高 C 反应蛋白值和全血细胞减少。免疫检查发现抗核抗体。脑磁共振成像(MRI)显示左额顶叶和小脑有高信号。患者被诊断为系统性红斑狼疮(SLE),并开始接受抗 SLE 药物和抗精神病药物治疗,病情好转。

结论

COVID-19 感染、疫苗接种和狼疮性脑脊髓炎首次表现之间的时间关系高度提示(尽管不能确定)潜在的因果关系。我们建议,在有特定易感性的个体中,在接种疫苗前进行 COVID-19 检测,以采取预防措施降低 COVID-19 接种后 SLE 发病或恶化的风险。

https://cdn.ncbi.nlm.nih.gov/pmc/blobs/7d08/10258989/f438aece1f44/12888_2023_4924_Fig1_HTML.jpg

文献AI研究员

20分钟写一篇综述,助力文献阅读效率提升50倍。

立即体验

用中文搜PubMed

大模型驱动的PubMed中文搜索引擎

马上搜索

文档翻译

学术文献翻译模型,支持多种主流文档格式。

立即体验