Suppr超能文献

TRIM21 通过依赖泛素化的 M1 降解来限制甲型流感病毒的复制。

TRIM21 restricts influenza A virus replication by ubiquitination-dependent degradation of M1.

机构信息

MOA Key Laboratory of Animal Virology, Zhejiang University Center for Veterinary Sciences, Hangzhou, China.

State Key Laboratory for Diagnosis and Treatment of Infectious Diseases, Zhejiang University First Affiliated Hospital, Hangzhou, China.

出版信息

PLoS Pathog. 2023 Jun 21;19(6):e1011472. doi: 10.1371/journal.ppat.1011472. eCollection 2023 Jun.

Abstract

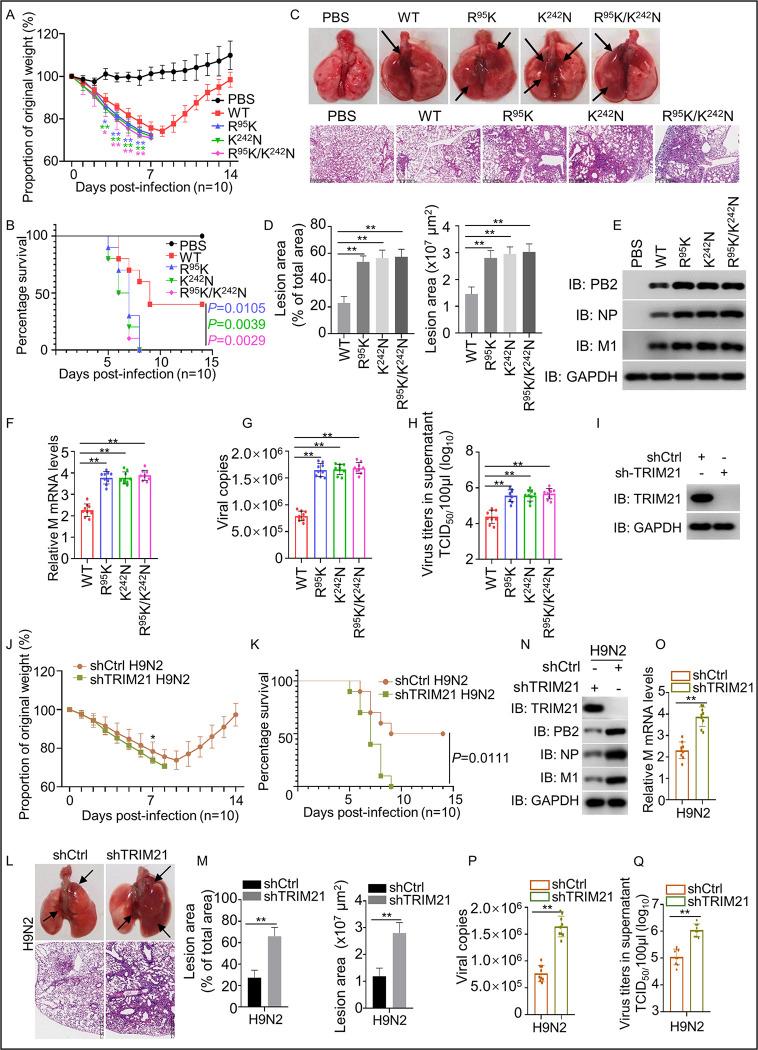
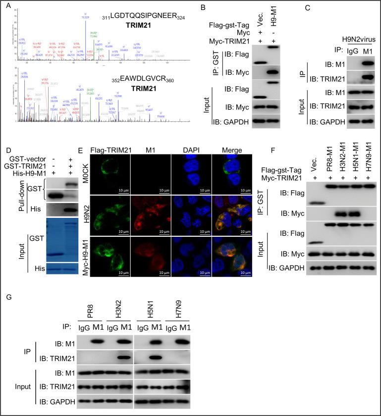
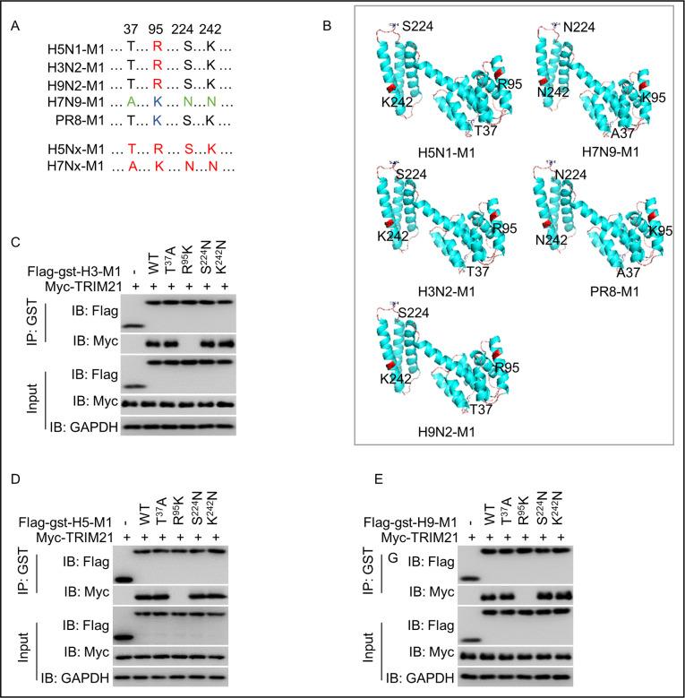
Tripartite motif-containing protein 21 (TRIM21), an E3 ubiquitin ligase, plays a critical role in the host antiviral response. However, the mechanism and antiviral spectrum of TRIM21 in influenza A virus (IAV) remain unclear. Here, we report that TRIM21 inhibits the replication of various IAV subtypes by targeting matrix protein 1 (M1) from H3/H5/H9, but not H1 and H7 M1. Mechanistically, TRIM21 binds to the residue R95 of M1 and facilitates K48 ubiquitination of M1 K242 for proteasome-dependent degradation, leading to the inhibition of H3, H5, and H9 IAV replication. Interestingly, the recombinant viruses with M1 R95K or K242R mutations were resistance to TRIM21 and exhibited more robust replication and severe pathogenicity. Moreover, the amino acid sequence M1 proteins, mainly from avian influenza such as H5N1, H7N9, H9N2, ranging from 1918 to 2022, reveals a gradual dominant accumulation of the TRIM21-driven R95K mutation when the virus jumps into mammals. Thus, TRIM21 in mammals' functions as a host restriction factor and drives a host adaptive mutation of influenza A virus.

摘要

三结构域蛋白 21(TRIM21)是一种 E3 泛素连接酶,在宿主抗病毒反应中发挥关键作用。然而,TRIM21 在甲型流感病毒(IAV)中的作用机制和抗病毒谱尚不清楚。在这里,我们报告 TRIM21 通过靶向 H3/H5/H9 的基质蛋白 1(M1),而非 H1 和 H7 的 M1,抑制各种 IAV 亚型的复制。在机制上,TRIM21 结合 M1 的残基 R95,并促进 M1 K242 的 K48 泛素化,用于蛋白酶体依赖性降解,从而抑制 H3、H5 和 H9 IAV 的复制。有趣的是,具有 M1 R95K 或 K242R 突变的重组病毒对 TRIM21 具有抗性,表现出更强的复制能力和更严重的致病性。此外,M1 蛋白的氨基酸序列,主要来自禽流感,如 1918 年至 2022 年的 H5N1、H7N9、H9N2,揭示了当病毒进入哺乳动物时,TRIM21 驱动的 R95K 突变逐渐占据主导地位。因此,哺乳动物中的 TRIM21 作为宿主限制因子发挥作用,并驱动甲型流感病毒的宿主适应性突变。

https://cdn.ncbi.nlm.nih.gov/pmc/blobs/1dd1/10325077/2cb0a52c323c/ppat.1011472.g001.jpg

文献AI研究员

20分钟写一篇综述,助力文献阅读效率提升50倍。

立即体验

用中文搜PubMed

大模型驱动的PubMed中文搜索引擎

马上搜索

文档翻译

学术文献翻译模型,支持多种主流文档格式。

立即体验