Suppr超能文献

通过肿瘤比例评分和联合阳性评分进行PD-L1免疫组织化学定量的可重复性:双重免疫染色对病理学家有帮助吗?

Reproducibility in PD-L1 Immunohistochemistry Quantification through the Tumor Proportion Score and the Combined Positive Score: Could Dual Immunostaining Help Pathologists?

作者信息

Mercier Anaïs, Conan-Charlet Virginie, Quintin-Roué Isabelle, Doucet Laurent, Marcorelles Pascale, Uguen Arnaud

机构信息

CHU de Brest, Service D'anatomie et Cytologie Pathologiques, F-29200 Brest, France.

LBAI, UMR1227, Inserm, CHU de Brest, Univ Brest, F-29200 Brest, France.

出版信息

Cancers (Basel). 2023 May 16;15(10):2768. doi: 10.3390/cancers15102768.

Abstract

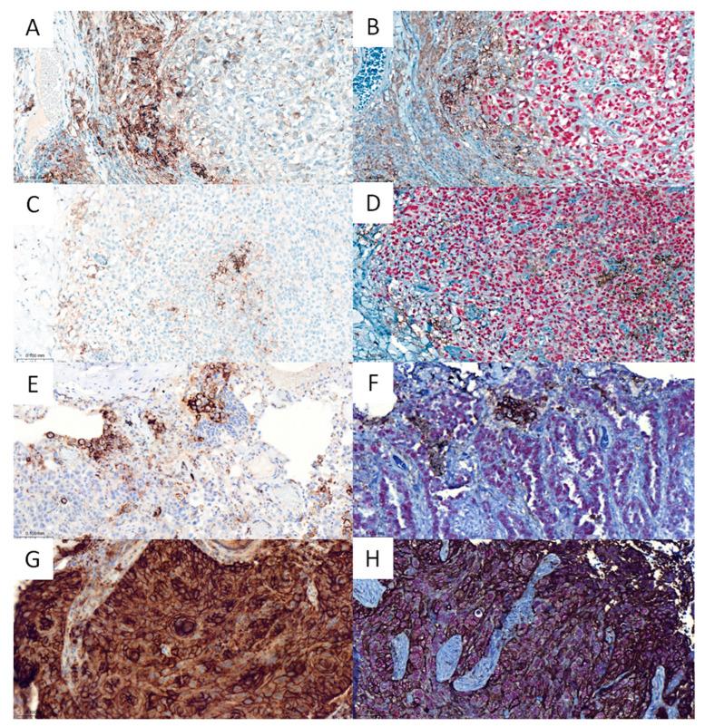
We studied the pathologists' agreements in quantifying PD-L1 expression through the tumor proportion score (TPS) and the combined positive score (CPS) using single PD-L1 immunohistochemistry (S-IHC) and double immunohistochemistry (D-IHC) combining PD-L1 staining and tumor cell markers. S-IHC and D-IHC were applied to 15 cancer samples to generate 60 digital IHC slides (30 whole slides images and 30 regions of interest of 1 mm) for PD-L1 expression quantification using both TPS and CPS, twice by four pathologists. Agreements were estimated calculating intraclass correlation coefficients (ICC). Both S-IHC and D-IHC slides analyses resulted in excellent (for TPS, ICC > 0.9) to good (for CPS, ICC > 0.75) inter- and intra-pathologist agreements with slightly higher ICC with D-IHC than with S-IHC. S-IHC resulted in higher TPS and CPS than D-IHC (+5.6 and +6.1 mean differences, respectively). High reproducibility in the quantification of PD-L1 expression is attainable using S-IHC and D-IHC.

摘要

我们研究了病理学家通过肿瘤比例评分(TPS)和联合阳性评分(CPS)对程序性死亡受体配体1(PD-L1)表达进行定量分析时的一致性,使用单重PD-L1免疫组化(S-IHC)以及将PD-L1染色与肿瘤细胞标志物相结合的双重免疫组化(D-IHC)。将S-IHC和D-IHC应用于15个癌症样本,以生成60张数字免疫组化切片(30张全切片图像和30个1毫米的感兴趣区域),由四名病理学家两次使用TPS和CPS对PD-L1表达进行定量分析。通过计算组内相关系数(ICC)来评估一致性。S-IHC和D-IHC切片分析均得出了病理学家之间及病理学家内部出色的一致性(对于TPS,ICC>0.9)到良好的一致性(对于CPS,ICC>0.75),D-IHC的ICC略高于S-IHC。S-IHC得出的TPS和CPS高于D-IHC(平均差异分别为+5.6和+6.1)。使用S-IHC和D-IHC在PD-L1表达定量方面可实现高重现性。

https://cdn.ncbi.nlm.nih.gov/pmc/blobs/dcb0/10216272/f76bd0768035/cancers-15-02768-g001.jpg

文献AI研究员

20分钟写一篇综述,助力文献阅读效率提升50倍。

立即体验

用中文搜PubMed

大模型驱动的PubMed中文搜索引擎

马上搜索

文档翻译

学术文献翻译模型,支持多种主流文档格式。

立即体验