Suppr超能文献

lncSNHG3 通过表观遗传增加 CSNK2A1 表达水平驱动乳腺癌进展。

lncSNHG3 drives breast cancer progression by epigenetically increasing CSNK2A1 expression level.

机构信息

Department of Laboratory Medicine, Nanjing First Hospital, Nanjing Medical University, Nanjing 210006, Jiangsu, China.

Division of Clinical Pharmacy, Nanjing First Hospital, China Pharmaceutical University, Nanjing 210006, Jiangsu, China.

出版信息

Aging (Albany NY). 2023 Jun 21;15(12):5734-5750. doi: 10.18632/aging.204824.

Abstract

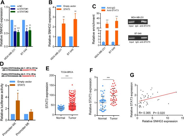
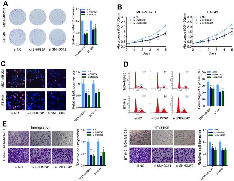
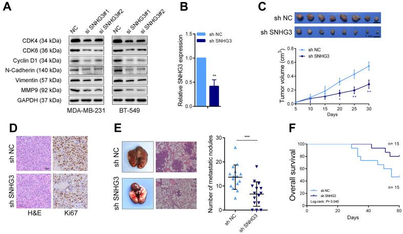
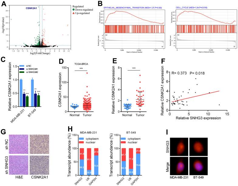
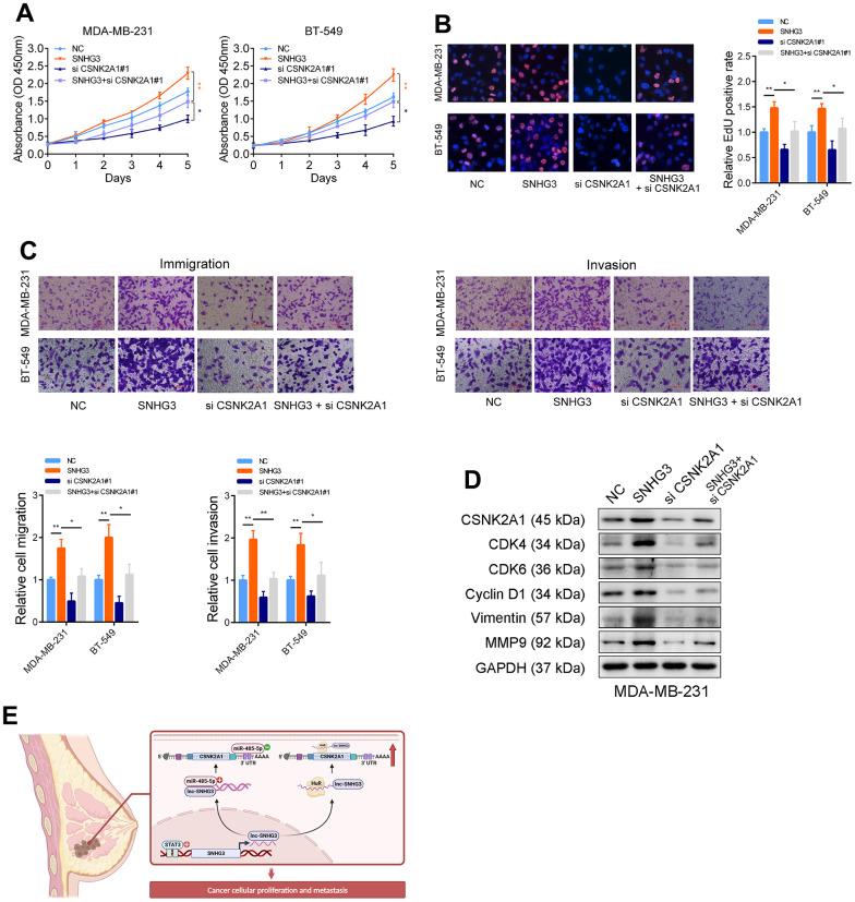
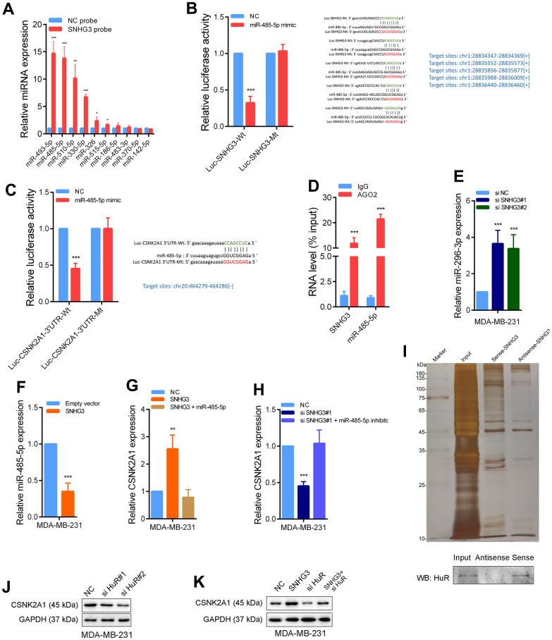
Mounting evidence demonstrates that long noncoding RNAs (lncRNAs) have critical roles in the initiation and progression of cancer. Here, we report that small nucleolar RNA host gene 3 (SNHG3) is a key regulator of breast cancer progression. We analyzed RNA sequencing data to explore abnormally expressed lncRNAs in breast cancer. The effects of SNHG3 on breast cancer were investigated via and assays (CCK-8 assay, colony formation assay, flow cytometry assay, EdU assay, xenograft model, immunohistochemistry, and Western blot). The mechanism of SNHG3 action was explored through bioinformatics, RNA fluorescence hybridization, luciferase reporter assay, RNA pull-down assay, chromatin immunoprecipitation assay and RNA immunoprecipitation assay. We found that SNHG3 expression was upregulated in breast cancer tissues and that its high expression level was associated with poor survival. We also found that high SNHG3 expression was partly induced by STAT3. Moreover, SNHG3 knockdown significantly repressed breast cancer cell growth both and . In the cytoplasm, SNHG3 facilitated the expression of Casein kinase II-A1 (CSNK2A1) by absorbing miR-485-5p and recruiting the HuR protein, participating in the malignant progression of breast cancer. Taken together, our study reveals a SNHG3-based regulatory network, which plays an oncogenic role in breast cancer and suggests that SNHG3 may serve as a potential target for the diagnosis and treatment of breast cancer.

摘要

越来越多的证据表明,长非编码 RNA(lncRNA)在癌症的发生和发展中具有重要作用。在这里,我们报告了核仁小分子 RNA 宿主基因 3(SNHG3)是乳腺癌进展的关键调节因子。我们通过 RNA 测序数据分析探索乳腺癌中异常表达的 lncRNA。通过 CCK-8 检测、集落形成检测、流式细胞术检测、EdU 检测、异种移植模型、免疫组织化学和 Western blot 检测来研究 SNHG3 对乳腺癌的影响。通过生物信息学、RNA 荧光原位杂交、荧光素酶报告基因检测、RNA 下拉检测、染色质免疫沉淀检测和 RNA 免疫沉淀检测来探索 SNHG3 的作用机制。我们发现 SNHG3 在乳腺癌组织中表达上调,其高表达水平与不良预后相关。我们还发现 STAT3 部分诱导 SNHG3 的高表达。此外,SNHG3 敲低显著抑制乳腺癌细胞在体内和体外的生长。在细胞质中,SNHG3 通过吸收 miR-485-5p 并募集 HuR 蛋白来促进 Casein kinase II-A1(CSNK2A1)的表达,参与乳腺癌的恶性进展。总之,我们的研究揭示了一个基于 SNHG3 的调控网络,它在乳腺癌中发挥致癌作用,并表明 SNHG3 可能作为诊断和治疗乳腺癌的潜在靶点。

https://cdn.ncbi.nlm.nih.gov/pmc/blobs/ab23/10333090/29d8ce17acdd/aging-15-204824-g001.jpg

文献AI研究员

20分钟写一篇综述,助力文献阅读效率提升50倍。

立即体验

用中文搜PubMed

大模型驱动的PubMed中文搜索引擎

马上搜索

文档翻译

学术文献翻译模型,支持多种主流文档格式。

立即体验