Suppr超能文献

碘生物强化生菜可促进人胃肠道癌细胞中线粒体依赖的凋亡途径。

Iodine-Biofortified Lettuce Can Promote Mitochondrial Dependent Pathway of Apoptosis in Human Gastrointestinal Cancer Cells.

机构信息

Department of Human Nutrition and Dietetics, Faculty of Food Technology, University of Agriculture in Krakow, Balicka 122, 31-149 Krakow, Poland.

Department of Plant Biology and Biotechnology, Faculty of Biotechnology and Horticulture, University of Agriculture in Krakow, Al. 29 Listopada 54, 31-425 Krakow, Poland.

出版信息

Int J Mol Sci. 2023 Jun 7;24(12):9869. doi: 10.3390/ijms24129869.

Abstract

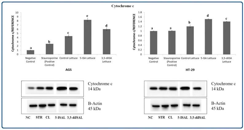
Previously, our research provided evidence that exposure of gastric and colon cancer cells to extracts from iodine-biofortified lettuce leads to a reduction of cell viability and proliferation through cell cycle arrest and upregulation of pro-apoptotic genes. The aim of the present study was to determine the potential cellular mechanisms of induction of cell death in human gastrointestinal cancer cell lines after treatment with iodine-biofortified lettuce. We demonstrated that extracts from lettuce enriched with iodine induce apoptosis in gastric AGS and colon HT-29 cancer cells and the mechanism of programmed cell death may be triggered and executed through different signaling pathways, depending on the type of cells. Western blot analysis revealed that iodine-fortified lettuce leads to cell death through the release of cytochrome c to the cytosolic fraction and activation of the primary drivers of apoptosis: caspase-3, caspase-7, and caspase-9. Furthermore, we have reported that apoptotic effects of lettuce extracts may be mediated by poly (ADP-ribose) polymerase (PARP) and activation of pro-apoptotic Bcl-2 family proteins such as Bad, Bax, and BID. We also observed mitochondrial dysfunction with the dissipation of the mitochondrial membrane potential in cells exposed to lettuce extracts. Taken together, these results indicate that the organic form of iodine such as 5-ISA and 3,5-diISA is an important factor in the activation of intrinsic mitochondrial apoptotic pathway in AGS and HT-29 cancer cells in a p53-independent manner.

摘要

先前,我们的研究提供了证据表明,暴露于碘生物强化生菜提取物中的胃癌和结肠癌细胞的细胞活力和增殖减少,通过细胞周期停滞和促凋亡基因的上调来实现。本研究的目的是确定用碘生物强化生菜处理人胃肠道癌细胞系后诱导细胞死亡的潜在细胞机制。我们证明,富含碘的生菜提取物在胃癌 AGS 和结肠 HT-29 癌细胞中诱导细胞凋亡,程序性细胞死亡的机制可能通过不同的信号通路触发和执行,这取决于细胞类型。Western blot 分析表明,碘强化生菜通过将细胞色素 c 释放到细胞质部分并激活凋亡的主要驱动因子:caspase-3、caspase-7 和 caspase-9,导致细胞死亡。此外,我们还报告说,生菜提取物的凋亡作用可能通过多聚(ADP-核糖)聚合酶(PARP)和促凋亡 Bcl-2 家族蛋白如 Bad、Bax 和 BID 的激活来介导。我们还观察到暴露于生菜提取物的细胞中线粒体功能障碍,线粒体膜电位耗散。总之,这些结果表明,有机碘形式,如 5-ISA 和 3,5-二碘ISA,是 AGS 和 HT-29 癌细胞中内在线粒体凋亡途径激活的重要因素,与 p53 无关。

https://cdn.ncbi.nlm.nih.gov/pmc/blobs/752e/10298746/8cb1ddfb811d/ijms-24-09869-g001.jpg

文献AI研究员

20分钟写一篇综述,助力文献阅读效率提升50倍。

立即体验

用中文搜PubMed

大模型驱动的PubMed中文搜索引擎

马上搜索

文档翻译

学术文献翻译模型,支持多种主流文档格式。

立即体验