Suppr超能文献

氟苯并呋喃和二氢苯并呋喃作为抗炎和潜在的抗癌药物。

Fluorinated Benzofuran and Dihydrobenzofuran as Anti-Inflammatory and Potential Anticancer Agents.

机构信息

Department of Biochemistry and Molecular Genetics, Faculty of Medicine, American University of Beirut, Beirut 1107 2020, Lebanon.

Laboratory of Cancer Biology and Molecular Immunology, Faculty of Sciences I, Lebanese University, Hadath 1104, Lebanon.

出版信息

Int J Mol Sci. 2023 Jun 20;24(12):10399. doi: 10.3390/ijms241210399.

Abstract

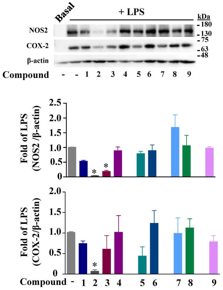
Benzofuran and 2,3-dihydrobenzofuran scaffolds are heterocycles of high value in medicinal chemistry and drug synthesis. Targeting inflammation in cancer associated with chronic inflammation is a promising therapy. In the present study, we investigated the anti-inflammatory effects of fluorinated benzofuran and dihydrobenzofuran derivatives in macrophages and in the air pouch model of inflammation, as well as their anticancer effects in the human colorectal adenocarcinoma cell line HCT116. Six of the nine compounds suppressed lipopolysaccharide-stimulated inflammation by inhibiting the expression of cyclooxygenase-2 and nitric oxide synthase 2 and decreased the secretion of the tested inflammatory mediators. Their IC values ranged from 1.2 to 9.04 µM for interleukin-6; from 1.5 to 19.3 µM for Chemokine (C-C) Ligand 2; from 2.4 to 5.2 µM for nitric oxide; and from 1.1 to 20.5 µM for prostaglandin E. Three novel synthesized benzofuran compounds significantly inhibited cyclooxygenase activity. Most of these compounds showed anti-inflammatory effects in the zymosan-induced air pouch model. Because inflammation may lead to tumorigenesis, we tested the effects of these compounds on the proliferation and apoptosis of HCT116. Two compounds with difluorine, bromine, and ester or carboxylic acid groups inhibited the proliferation by approximately 70%. Inhibition of the expression of the antiapoptotic protein Bcl-2 and concentration-dependent cleavage of PARP-1, as well as DNA fragmentation by approximately 80%, were described. Analysis of the structure-activity relationship suggested that the biological effects of benzofuran derivatives are enhanced in the presence of fluorine, bromine, hydroxyl, and/or carboxyl groups. In conclusion, the designed fluorinated benzofuran and dihydrobenzofuran derivatives are efficient anti-inflammatory agents, with a promising anticancer effect and a combinatory treatment in inflammation and tumorigenesis in cancer microenvironments.

摘要

苯并呋喃和 2,3-二氢苯并呋喃骨架是药物化学和药物合成中具有高价值的杂环。针对与慢性炎症相关的癌症中的炎症是一种有前途的治疗方法。在本研究中,我们研究了氟代苯并呋喃和二氢苯并呋喃衍生物在巨噬细胞中的抗炎作用以及在气囊炎症模型中的抗炎作用,以及它们在人结直肠腺癌细胞系 HCT116 中的抗癌作用。在所研究的 9 种化合物中,有 6 种通过抑制环氧合酶-2 和一氧化氮合酶 2 的表达抑制脂多糖刺激的炎症,并减少所测试的炎症介质的分泌,从而抑制炎症。它们对白细胞介素-6 的 IC 值范围为 1.2 至 9.04 µM;对趋化因子(C-C)配体 2 的 IC 值范围为 1.5 至 19.3 µM;对一氧化氮的 IC 值范围为 2.4 至 5.2 µM;对前列腺素 E 的 IC 值范围为 1.1 至 20.5 µM。三种新合成的苯并呋喃化合物显著抑制了环氧合酶活性。这些化合物中的大多数在酵母聚糖诱导的气囊模型中表现出抗炎作用。由于炎症可能导致肿瘤发生,因此我们测试了这些化合物对 HCT116 增殖和凋亡的影响。两种具有二氟、溴、酯或羧酸基团的化合物使增殖抑制了约 70%。描述了对抗凋亡蛋白 Bcl-2 的表达的抑制以及浓度依赖性的 PARP-1 切割和大约 80%的 DNA 片段化。结构-活性关系分析表明,在存在氟、溴、羟基和/或羧基的情况下,苯并呋喃衍生物的生物学效应得到增强。总之,设计的氟代苯并呋喃和二氢苯并呋喃衍生物是有效的抗炎剂,具有有前途的抗癌作用,并在癌症微环境中的炎症和肿瘤发生中具有联合治疗作用。

https://cdn.ncbi.nlm.nih.gov/pmc/blobs/1e96/10299677/24d3a901f301/ijms-24-10399-g001.jpg

文献AI研究员

20分钟写一篇综述,助力文献阅读效率提升50倍。

立即体验

用中文搜PubMed

大模型驱动的PubMed中文搜索引擎

马上搜索

文档翻译

学术文献翻译模型,支持多种主流文档格式。

立即体验