Suppr超能文献

人脐带间充质干细胞来源的细胞外囊泡与明胶甲基丙烯酰水凝胶联合促进分激光损伤创面愈合。

Human umbilical cord mesenchymal stem cell-derived exosomes combined with gelatin methacryloyl hydrogel to promote fractional laser injury wound healing.

机构信息

Department of Plastic Surgery, Peking University Third Hospital, Beijing, China.

出版信息

Int Wound J. 2023 Dec;20(10):4040-4049. doi: 10.1111/iwj.14295. Epub 2023 Jul 10.

Abstract

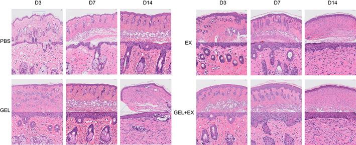
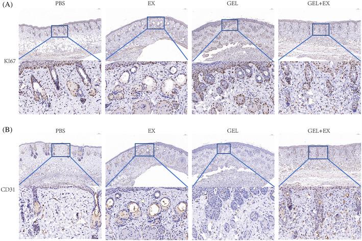
To investigate whether human umbilical cord mesenchymal stem cell-derived exosomes combined with gelatin methacryloyl (GelMA) hydrogel are beneficial in promoting healing of laser-injured skin wounds in mice. Supernatants of cultured human umbilical cord mesenchymal stem cells (HUC-MSCs) were collected to obtain human umbilical cord MSC-derived exosomes (HUC-MSCs-Exos), which were combined with GelMA hydrogel complex to treat a mouse fractional laser injury model. The study was divided into PBS group, EX (HUC-MSCs-Exos) group, GEL (GelMA hydrogel) group and EX+GEL (HUC-MSCs-Exos combined with GelMA hydrogel) group. The healing of laser-injured skin in each group was observed by gross view and dermatoscopy, and changes in skin structure, angiogenesis and proliferation-related indexes were observed during the healing process of laser-injured skin in each group. The results of the animal experiments showed that the EX and GEL groups alone and the EL+EX group exhibited less inflammatory response compared to the PBS group. The EX and GEL groups showed marked tissue proliferation and favourable angiogenesis, which promoted the wound healing well. The GEL+EX group had the most significant promotion of wound healing compared to the PBS group. qPCR results showed that the expression levels of proliferation-related factors, including KI67 and VEGF and angiogenesis-related factor CD31, were significantly higher in the GEL+EX group than in the other groups, with a time-dependent effect. The combination of HUC-MSCs-Exos and GelMA hydrogel is beneficial in reducing the early inflammatory response of laser-injured skin in mice and promoting its proliferation and angiogenesis, which in turn promotes wound healing.

摘要

为了研究人脐带间充质干细胞衍生的外泌体与明胶甲基丙烯酰(GelMA)水凝胶联合应用是否有利于促进激光损伤皮肤小鼠的伤口愈合。收集培养的人脐带间充质干细胞(HUC-MSCs)的上清液以获得人脐带 MSC 衍生的外泌体(HUC-MSCs-Exos),将其与 GelMA 水凝胶复合物联合用于治疗小鼠部分激光损伤模型。该研究分为 PBS 组、EX(HUC-MSCs-Exos)组、GEL(GelMA 水凝胶)组和 EX+GEL(HUC-MSCs-Exos 联合 GelMA 水凝胶)组。通过大体观察和皮肤镜观察各组激光损伤皮肤的愈合情况,并观察各组激光损伤皮肤愈合过程中皮肤结构、血管生成和增殖相关指标的变化。动物实验结果表明,与 PBS 组相比,EX 和 GEL 组单独以及 EX+GEL 组的炎症反应较轻。EX 和 GEL 组表现出明显的组织增生和良好的血管生成,这促进了伤口的良好愈合。与 PBS 组相比,GEL+EX 组对伤口愈合的促进作用最为显著。qPCR 结果显示,GEL+EX 组增殖相关因子 KI67 和 VEGF 以及血管生成相关因子 CD31 的表达水平明显高于其他组,且具有时间依赖性。HUC-MSCs-Exos 与 GelMA 水凝胶联合应用有利于减轻激光损伤皮肤的早期炎症反应,促进其增殖和血管生成,从而促进伤口愈合。

https://cdn.ncbi.nlm.nih.gov/pmc/blobs/0dbb/10681517/c61d46f4ac5e/IWJ-20-4040-g004.jpg

文献AI研究员

20分钟写一篇综述,助力文献阅读效率提升50倍。

立即体验

用中文搜PubMed

大模型驱动的PubMed中文搜索引擎

马上搜索

文档翻译

学术文献翻译模型,支持多种主流文档格式。

立即体验