Suppr超能文献

α-肌球蛋白重链乳酰化维持肌节结构和功能,并缓解心力衰竭的发展。

α-myosin heavy chain lactylation maintains sarcomeric structure and function and alleviates the development of heart failure.

机构信息

Department of Cardiology, First Hospital of China Medical University, Shenyang, Liaoning, China.

NHC Key Laboratory of Advanced Reproductive Medicine and Fertility, National Health Commission, China Medical University, Shenyang, Liaoning, China.

出版信息

Cell Res. 2023 Sep;33(9):679-698. doi: 10.1038/s41422-023-00844-w. Epub 2023 Jul 13.

Abstract

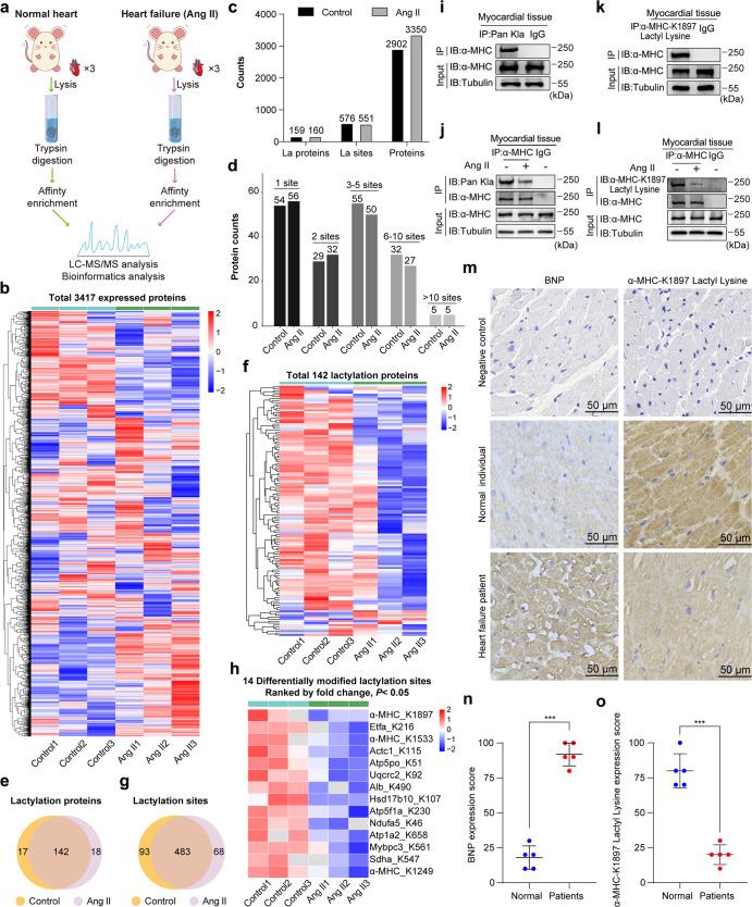
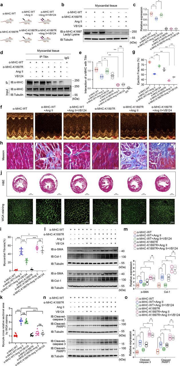
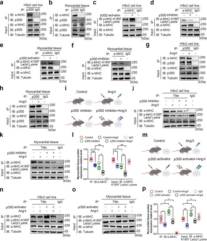
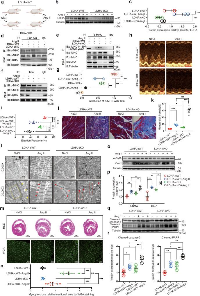
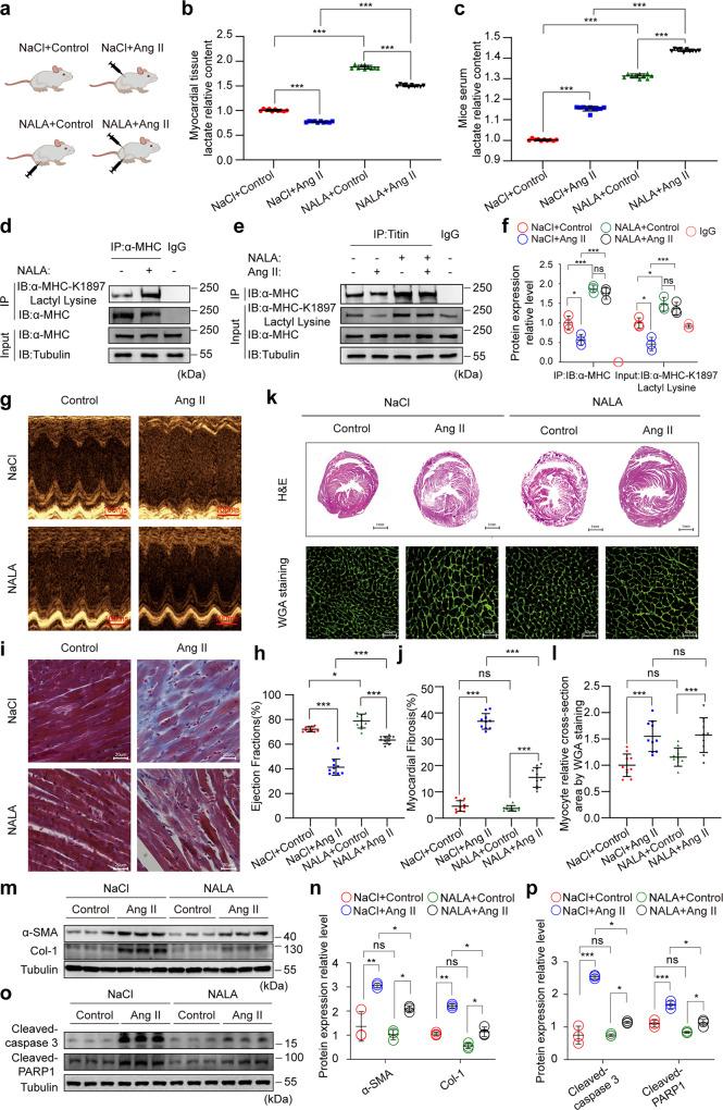
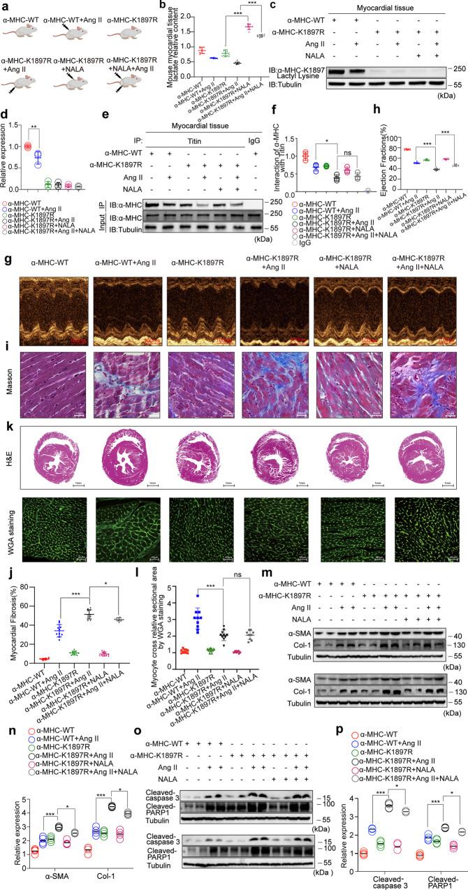
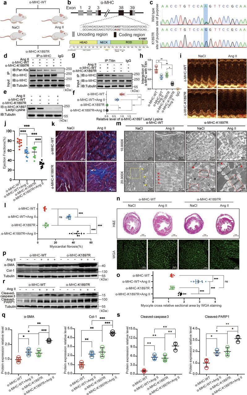
The sarcomeric interaction of α-myosin heavy chain (α-MHC) with Titin is vital for cardiac structure and contraction. However, the mechanism regulating this interaction in normal and failing hearts remains unknown. Lactate is a crucial energy substrate of the heart. Here, we identify that α-MHC undergoes lactylation on lysine 1897 to regulate the interaction of α-MHC with Titin. We observed a reduction of α-MHC K1897 lactylation in mice and patients with heart failure. Loss of K1897 lactylation in α-MHC K1897R knock-in mice reduces α-MHC-Titin interaction and leads to impaired cardiac structure and function. Furthermore, we identified that p300 and Sirtuin 1 act as the acyltransferase and delactylase of α-MHC, respectively. Decreasing lactate production by chemical or genetic manipulation reduces α-MHC lactylation, impairs α-MHC-Titin interaction and worsens heart failure. By contrast, upregulation of the lactate concentration by administering sodium lactate or inhibiting the pivotal lactate transporter in cardiomyocytes can promote α-MHC K1897 lactylation and α-MHC-Titin interaction, thereby alleviating heart failure. In conclusion, α-MHC lactylation is dynamically regulated and an important determinant of overall cardiac structure and function. Excessive lactate efflux and consumption by cardiomyocytes may decrease the intracellular lactate level, which is the main cause of reduced α-MHC K1897 lactylation during myocardial injury. Our study reveals that cardiac metabolism directly modulates the sarcomeric structure and function through lactate-dependent modification of α-MHC.

摘要

肌球蛋白重链(α-MHC)与 Titin 的肌节相互作用对心脏结构和收缩至关重要。然而,调节正常和衰竭心脏中这种相互作用的机制尚不清楚。乳酸是心脏的重要能量底物。在这里,我们确定 α-MHC 在赖氨酸 1897 上发生乳酰化,以调节 α-MHC 与 Titin 的相互作用。我们观察到心力衰竭小鼠和患者的α-MHC K1897 乳酰化减少。α-MHC K1897R 敲入小鼠中 K1897 乳酰化的缺失减少了α-MHC-Titin 的相互作用,导致心脏结构和功能受损。此外,我们确定 p300 和 Sirtuin 1 分别作为 α-MHC 的酰基转移酶和脱乳酰酶。通过化学或遗传操作降低乳酸的产生会减少α-MHC 乳酰化,损害α-MHC-Titin 的相互作用并加重心力衰竭。相比之下,通过给予乳酸钠或抑制心肌细胞中关键的乳酸转运体来增加乳酸浓度可以促进α-MHC K1897 乳酰化和α-MHC-Titin 的相互作用,从而缓解心力衰竭。总之,α-MHC 乳酰化是动态调节的,是整体心脏结构和功能的重要决定因素。心肌损伤时,心肌细胞中过多的乳酸外流和消耗可能会降低细胞内的乳酸水平,这是导致α-MHC K1897 乳酰化减少的主要原因。我们的研究表明,心脏代谢通过依赖于乳酸的α-MHC 修饰直接调节肌节结构和功能。

https://cdn.ncbi.nlm.nih.gov/pmc/blobs/4d17/10474270/aafa41cbc3c7/41422_2023_844_Fig1_HTML.jpg

文献AI研究员

20分钟写一篇综述,助力文献阅读效率提升50倍。

立即体验

用中文搜PubMed

大模型驱动的PubMed中文搜索引擎

马上搜索

文档翻译

学术文献翻译模型,支持多种主流文档格式。

立即体验