Suppr超能文献

髓样甲状腺癌中 PD-L1 和 TIM-3 表达的临床病理和预后意义:一项回顾性免疫组织化学研究。

Clinicopathological and prognostic significance of PD-L1 and TIM-3 expression in medullary thyroid carcinoma: a retrospective immunohistochemistry study.

机构信息

Department of Head and Neck Surgery, National Cancer Center/National Clinical Research Center for Cancer/Cancer Hospital, Chinese Academy of Medical Sciences and Peking Union Medical College, 100021, Beijing, China.

Department of Pathology, National Cancer Center/National Clinical Research Center for Cancer/Cancer Hospital, Chinese Academy of Medical Sciences and Peking Union Medical College, 100021, Beijing, China.

出版信息

J Endocrinol Invest. 2024 Jan;47(1):91-100. doi: 10.1007/s40618-023-02126-z. Epub 2023 Jul 18.

Abstract

PURPOSE

Expression of the programmed death-ligand 1 (PD-L1) and T-cell immunoglobulin and mucin-domain containing-3 (TIM-3) in medullary thyroid carcinoma (MTC) has been controversial and rarely reported.

METHODS

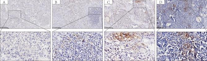
Surgical specimens of 190 MTC patients who had initial curative-intent surgery were collected. Immunohistochemistry of PD-L1 and TIM-3 was performed using 22C3 pharmDx (Dako, Carpinteria, CA) and anti-TIM-3 (1:500, ab241332, Abcam). Stained slides were scored using a combined positive score (CPS) with a cutoff of ≥ 1. We established correlations between PD-L1 expression, TIM-3 expression, clinicopathological, and survival data.

RESULTS

13 cases (13/190, 6.84%) were positive for PD-L1 expression, and 42 cases (42/154, 27.27%) for TIM-3 expression. PD-L1 expression was correlated to TIM-3 expression (P = 0.002), but was not related to overall survival (OS) or progression-free survival (PFS). TIM-3 expression was correlated to perineural invasion (P = 0.040). Multivariate Cox analysis showed that lymphovascular invasion (LVI) was independently associated with OS. And tumor size, LVI, and lymph node metastases were significantly associated with PFS. Furthermore, the multivariate logistic analysis showed multifocal status, LVI, pathological T stage and lymph node metastasis were independent risk factors for biochemical recurrence/persistent disease.

CONCLUSIONS

We demonstrated that PD-L1 and TIM-3 expression were not frequent in MTC and were not associated with survival prognosis. Our results should be considered when clinical trials of PD-L1 or TIM-3 blockades are implemented.

摘要

目的

髓样甲状腺癌(MTC)中程序性死亡配体 1(PD-L1)和 T 细胞免疫球蛋白和粘蛋白结构域 3(TIM-3)的表达存在争议,且鲜有报道。

方法

收集了 190 例接受初始治愈性手术的 MTC 患者的手术标本。使用 22C3 pharmDx(Dako,加利福尼亚州卡平特里亚)和抗 TIM-3(1:500,ab241332,Abcam)进行 PD-L1 和 TIM-3 的免疫组织化学染色。使用阳性评分总和(CPS)进行染色评分,截断值为≥1。我们建立了 PD-L1 表达、TIM-3 表达、临床病理和生存数据之间的相关性。

结果

13 例(13/190,6.84%)PD-L1 表达阳性,42 例(42/154,27.27%)TIM-3 表达阳性。PD-L1 表达与 TIM-3 表达相关(P=0.002),但与总生存期(OS)或无进展生存期(PFS)无关。TIM-3 表达与神经周围侵犯(P=0.040)相关。多变量 Cox 分析显示,血管淋巴管侵犯(LVI)与 OS 独立相关。肿瘤大小、LVI 和淋巴结转移与 PFS 显著相关。此外,多变量逻辑分析显示,多灶性、LVI、病理 T 分期和淋巴结转移是生化复发/持续性疾病的独立危险因素。

结论

我们表明 PD-L1 和 TIM-3 在 MTC 中表达不频繁,与生存预后无关。在实施 PD-L1 或 TIM-3 阻断的临床试验时,应考虑我们的结果。

https://cdn.ncbi.nlm.nih.gov/pmc/blobs/26d7/10776706/32b8c774fd63/40618_2023_2126_Fig1_HTML.jpg

文献AI研究员

20分钟写一篇综述,助力文献阅读效率提升50倍。

立即体验

用中文搜PubMed

大模型驱动的PubMed中文搜索引擎

马上搜索

文档翻译

学术文献翻译模型,支持多种主流文档格式。

立即体验