Suppr超能文献

肝 炎 E 病毒多聚蛋白在多个保守位点被凝血酶裂解,这是基因组复制所必需的。

Thrombin cleavage of the hepatitis E virus polyprotein at multiple conserved locations is required for genome replication.

机构信息

School of Molecular and Cellular Biology, Faculty of Biological Sciences and Astbury Centre for Structural Molecular Biology, University of Leeds, Leeds, United Kingdom.

Discovery and Translational Science Department, Leeds Institute of Cardiovascular and Metabolic Medicine, University of Leeds, Leeds, United Kingdom.

出版信息

PLoS Pathog. 2023 Jul 21;19(7):e1011529. doi: 10.1371/journal.ppat.1011529. eCollection 2023 Jul.

Abstract

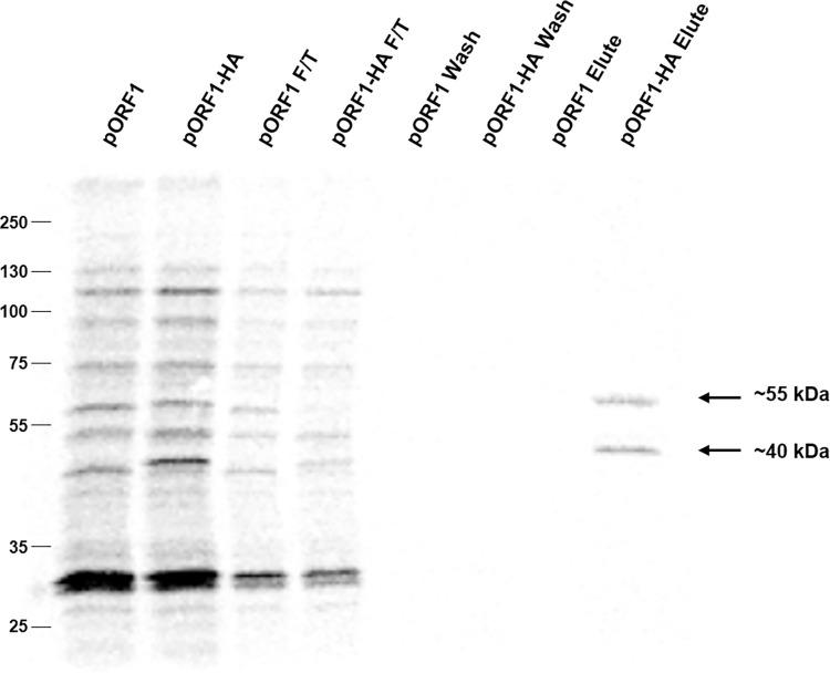
The genomes of positive-sense RNA viruses encode polyproteins that are essential for mediating viral replication. These viral polyproteins must undergo proteolysis (also termed polyprotein processing) to generate functional protein units. This proteolysis can be performed by virally-encoded proteases as well as host cellular proteases, and is generally believed to be a key step in regulating viral replication. Hepatitis E virus (HEV) is a leading cause of acute viral hepatitis. The positive-sense RNA genome is translated to generate a polyprotein, termed pORF1, which is necessary and sufficient for viral genome replication. However, the mechanism of polyprotein processing in HEV remains to be determined. In this study, we aimed to understand processing of this polyprotein and its role in viral replication using a combination of in vitro translation experiments and HEV sub-genomic replicons. Our data suggest no evidence for a virally-encoded protease or auto-proteolytic activity, as in vitro translation predominantly generates unprocessed viral polyprotein precursors. However, seven cleavage sites within the polyprotein (suggested by bioinformatic analysis) are susceptible to the host cellular protease, thrombin. Using two sub-genomic replicon systems, we demonstrate that mutagenesis of these sites prevents replication, as does pharmacological inhibition of serine proteases including thrombin. Overall, our data supports a model where HEV uses host proteases to support replication and could have evolved to be independent of a virally-encoded protease for polyprotein processing.

摘要

正链 RNA 病毒的基因组编码多蛋白,这些多蛋白对于介导病毒复制是必不可少的。这些病毒多蛋白必须经过蛋白水解(也称为多蛋白加工)才能生成有功能的蛋白单位。这种蛋白水解可以由病毒编码的蛋白酶和宿主细胞蛋白酶来完成,一般认为这是调节病毒复制的关键步骤。戊型肝炎病毒(HEV)是急性病毒性肝炎的主要病因。正链 RNA 基因组被翻译生成一种多蛋白,称为 pORF1,它是病毒基因组复制所必需和充分的。然而,HEV 中多蛋白加工的机制仍有待确定。在这项研究中,我们旨在通过体外翻译实验和 HEV 亚基因组复制子的组合来了解这种多蛋白的加工及其在病毒复制中的作用。我们的数据表明,没有证据表明存在病毒编码的蛋白酶或自身蛋白水解活性,因为体外翻译主要产生未加工的病毒多蛋白前体。然而,多蛋白内的七个切割位点(通过生物信息学分析推测)易受宿主细胞蛋白酶-凝血酶的影响。使用两个亚基因组复制子系统,我们证明这些位点的突变会阻止复制,而包括凝血酶在内的丝氨酸蛋白酶的药理学抑制也是如此。总的来说,我们的数据支持这样一种模型,即 HEV 使用宿主蛋白酶来支持复制,并且可能已经进化到不需要病毒编码的蛋白酶来进行多蛋白加工。

https://cdn.ncbi.nlm.nih.gov/pmc/blobs/5b7c/10395923/04aeb7d05d11/ppat.1011529.g001.jpg

文献AI研究员

20分钟写一篇综述,助力文献阅读效率提升50倍。

立即体验

用中文搜PubMed

大模型驱动的PubMed中文搜索引擎

马上搜索

文档翻译

学术文献翻译模型,支持多种主流文档格式。

立即体验