Suppr超能文献

宏基因组二代测序检测到的肺炎克雷伯菌和奇异变形杆菌共感染所致肺脓肿:病例系列报道

Lung abscess by and spp. co-infection by mNGS: A case series.

作者信息

Wang Na, Gao Zhichao, He Shuai, Han Mengzhen, Han Wenjie, Liu Xiaolin, Cao Hui, Jing Mingxi, Sun Tao, Xu Junnan

机构信息

Department of Breast Medicine, Cancer Hospital of China Medical University, Liaoning Cancer Hospital, Shenyang, 110042, China.

Department of Pharmacology, Cancer Hospital of China Medical University, Liaoning Cancer Hospital, Shenyang, 110042, China.

出版信息

Open Life Sci. 2023 Jul 17;18(1):20220651. doi: 10.1515/biol-2022-0651. eCollection 2023.

Abstract

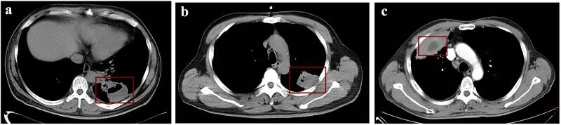
A lung abscess is a necrotizing infection caused by microbiomes that lead to the loss of healthy lung tissue. The routine culture is a waste of time and yields false-negative results, and clinicians could only choose empiric therapy or use broad-spectrum antibiotics, which could significantly contribute to the problem of resistance or aggravate the condition. We report three patients with a routine-culture-negative lung abscess. The presenting symptoms included fever, cough, dyspnea, and chest pain, and a computed tomography scan revealed a lesion in the lungs. The bronchoalveolar lavage fluid and pleural fluid were tested for pathogens using metagenome next-generation sequencing (mNGS), and the results revealed and spp. (, ) as the most represented microbial pathogens. Our data demonstrated that mNGS could be a promising alternative diagnostic tool for pathogen detection, and the pathogen lists indicate that it will be important to focus on the genus rather than the dominant spp. in terms of co-infection of pathogen determined by shotgun mNGS.

摘要

肺脓肿是由微生物群落引起的坏死性感染,可导致健康肺组织丧失。常规培养浪费时间且会产生假阴性结果,临床医生只能选择经验性治疗或使用广谱抗生素,这可能会显著加剧耐药问题或使病情恶化。我们报告了3例常规培养阴性的肺脓肿患者。主要症状包括发热、咳嗽、呼吸困难和胸痛,计算机断层扫描显示肺部有病变。使用宏基因组下一代测序(mNGS)检测支气管肺泡灌洗液和胸腔积液中的病原体,结果显示 和 菌属( , )是最主要的微生物病原体。我们的数据表明,mNGS可能是一种很有前景的病原体检测替代诊断工具,病原体清单表明,在通过鸟枪法mNGS确定病原体合并感染方面,关注 菌属而非占主导地位的 菌属将很重要。

https://cdn.ncbi.nlm.nih.gov/pmc/blobs/e546/10358748/72503de8b4c7/j_biol-2022-0651-ga001.jpg

文献AI研究员

20分钟写一篇综述,助力文献阅读效率提升50倍。

立即体验

用中文搜PubMed

大模型驱动的PubMed中文搜索引擎

马上搜索

文档翻译

学术文献翻译模型,支持多种主流文档格式。

立即体验