Suppr超能文献

运动对一组训练有素的军犬尿液生化参数和蛋白质的影响。

Effects of exercise on urinary biochemical parameters and proteins in a group of well-trained military working dogs.

机构信息

Department of Veterinary Medical Sciences, University of Bologna, Ozzano, Italy.

Italian Army Military Veterinary Center (CEMIVET), Grosseto, Italy.

出版信息

Vet Q. 2023 Dec;43(1):1-9. doi: 10.1080/01652176.2023.2241551.

Abstract

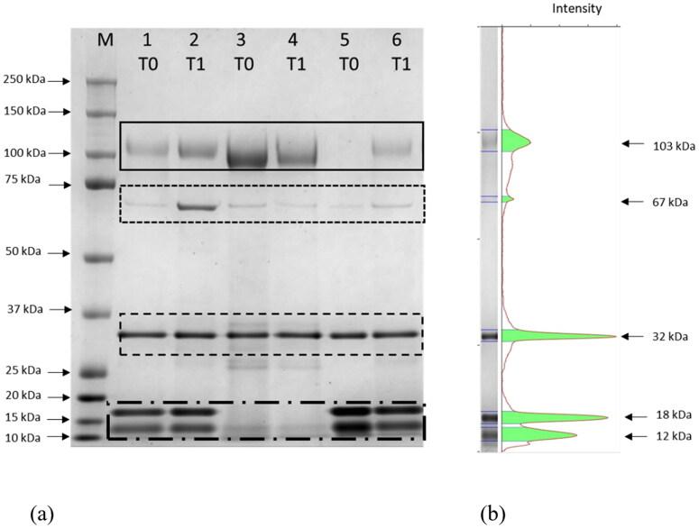
Exercise-induced proteinuria has been widely investigated in humans, also in relation to intensity and duration of activity. Instead, there are only limited publications regarding urinary biochemical parameters and urinary proteins before and after physical activity in dogs. This paper aimed to investigate the effects of exercise on urinary biochemistry and proteins in military dogs. Twenty-four dogs were enrolled in this study. All the dogs were clinically sound, and they were examined before and after activity. Pulse rates (PR) and respiratory rate (RR) were monitored. Urine was sampled before and after a training session of search activity. Standard urinalysis was carried out, urine total proteins and creatinine were measured and the urinary protein:creatinine ratio was calculated; finally, the urinary proteins were separated using sodium dodecyl sulphate-polyacrylamide gel electrophoresis (SDS-PAGE). Clinical examination before and after activity did not reveal any pathological finding. After activity, the PR was slightly increased, while the RR was notably increased ( < 0.05). Total proteins, albumin, and their ratio with creatinine were significantly higher after exercise when considering all the dogs included or only the females while, when considering only the males no significant difference was detected. The clinical relevance of this study was related to the possibility of using urine as a non-invasive sample for monitoring health status after training activity and exercise in dogs. An increase in microalbuminuria after search activity, measured using SDS-PAGE could be considered an early biomarker of renal function during training sessions.

摘要

运动性蛋白尿已在人类中得到广泛研究,也与活动的强度和持续时间有关。然而,关于犬在体力活动前后尿液生化参数和蛋白质的研究仅有有限的报道。本文旨在研究运动对军犬尿液生化和蛋白质的影响。本研究纳入了 24 只犬。所有犬均临床状况良好,在活动前后进行了检查。监测了脉搏率(PR)和呼吸率(RR)。在搜索活动训练前后采集尿液样本。进行了标准尿液分析,测量了尿液总蛋白和肌酐,并计算了尿蛋白/肌酐比值;最后,使用十二烷基硫酸钠-聚丙烯酰胺凝胶电泳(SDS-PAGE)分离尿液蛋白。活动前后的临床检查未发现任何病理发现。活动后,PR 略有增加,而 RR 明显增加(<0.05)。考虑到所有包括的犬或仅雌性犬,总蛋白、白蛋白及其与肌酐的比值在运动后显著升高,而仅考虑雄性犬时则未检测到显著差异。本研究的临床意义在于可以将尿液作为监测训练活动和运动后犬健康状况的非侵入性样本。使用 SDS-PAGE 测量的搜索活动后微量白蛋白尿的增加可被认为是训练期间肾功能的早期生物标志物。

https://cdn.ncbi.nlm.nih.gov/pmc/blobs/08fd/10388792/1d5e9f74ac5e/TVEQ_A_2241551_F0001_C.jpg

文献AI研究员

20分钟写一篇综述,助力文献阅读效率提升50倍。

立即体验

用中文搜PubMed

大模型驱动的PubMed中文搜索引擎

马上搜索

文档翻译

学术文献翻译模型,支持多种主流文档格式。

立即体验