Suppr超能文献

一种新型肿瘤内药物递送载体,用于治疗口腔鳞状细胞癌。

A novel intra-tumoral drug delivery carrier for treatment of oral squamous cell carcinoma.

机构信息

Dental Biomaterials, Faculty of Dentistry, Zagazig University, Mansoura, Egypt.

Dental Biomaterials, Faculty of Dentistry, Alexandria University, Alexandria, Egypt.

出版信息

Sci Rep. 2023 Jul 25;13(1):11984. doi: 10.1038/s41598-023-38230-6.

Abstract

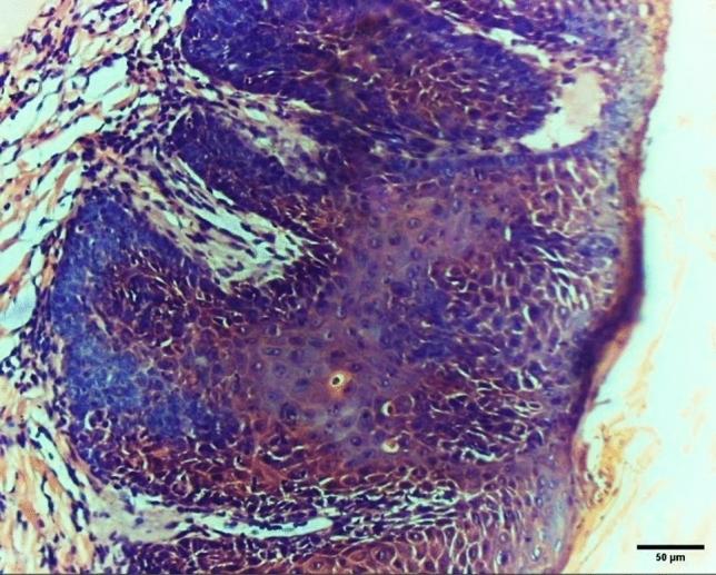
The treatment of oral squamous cell carcinoma (OSCC) includes systemic chemotherapy and is associated with aggressive side effects on patients. This study evaluated a new intra-tumor-targeted drug delivery method for the treatment of OSCC induced on the dorsum of the tongue in white mice. The induced tumors were examined by needle biopsy. A targeted anticancer drug (Cetuximab) and [Cisplatin and 5 Fluorouracil (5-FU)] chemotherapeutic agents were loaded on polyethylene glycol-polylactide-polyethylene glycol (PEG-PLA-PEG) nanoparticles (NPs) designed for intralesional injection while systemic administration was used as control. Fourier transform infrared spectroscopy (FTIR) was performed to study NP chemical structure, a drug release profile was conducted to study release kinetics, and histopathological evaluation was performed before and after treatment to evaluate tissue reactions (n-28, ά = 0.05). The drug release profile was characteristic of the chemotherapeutic agent showing early quick ascend followed by sustained slow release. FTIR peaks identified the polymeric structure of the drug nano-carrier. Histopathologic examination of chemically induced OSCC revealed different grades ranging from non-invasive to invasive stages of OSCC. Intra-tumoral test group revealed significant remission of observed cancer grade compared to the systemically administered group (X = 12.63, P < 0.001). Finally, using synthesized PEG-PLA-PEG NPs for intralesional injection is a promising route for the treatment of OSCC.

摘要

口腔鳞状细胞癌 (OSCC) 的治疗包括全身化疗,并伴有对患者的侵袭性副作用。本研究评估了一种新的肿瘤内靶向药物输送方法,用于治疗在白色小鼠舌背诱导的 OSCC。通过针吸活检检查诱导的肿瘤。将靶向抗癌药物(西妥昔单抗)和[顺铂和 5-氟尿嘧啶 (5-FU)]化疗药物加载到设计用于瘤内注射的聚乙二醇-聚乳酸-聚乙二醇(PEG-PLA-PEG)纳米颗粒(NPs)上,同时进行全身给药作为对照。进行傅里叶变换红外光谱 (FTIR) 以研究 NP 的化学结构,进行药物释放曲线以研究释放动力学,并在治疗前后进行组织病理学评估以评估组织反应(n-28,α=0.05)。药物释放曲线是化疗药物的特征,表现为早期快速上升,随后持续缓慢释放。FTIR 峰鉴定了药物纳米载体的聚合物结构。化学诱导的 OSCC 的组织病理学检查显示出不同的分级,从非浸润性到 OSCC 的浸润性阶段。肿瘤内实验组与全身给药组相比,观察到的癌症分级有明显缓解(X=12.63,P<0.001)。最后,使用合成的 PEG-PLA-PEG NPs 进行瘤内注射是治疗 OSCC 的一种很有前途的途径。

https://cdn.ncbi.nlm.nih.gov/pmc/blobs/0c8d/10368636/cfdd7eef9aef/41598_2023_38230_Fig1_HTML.jpg

文献AI研究员

20分钟写一篇综述,助力文献阅读效率提升50倍。

立即体验

用中文搜PubMed

大模型驱动的PubMed中文搜索引擎

马上搜索

文档翻译

学术文献翻译模型,支持多种主流文档格式。

立即体验