Suppr超能文献

鉴定出一个与 Shashi-Pena 综合征相关的 ASXL2 基因中的新生变异。

Identification of a de novo variant in the ASXL2 gene related to Shashi-Pena syndrome.

机构信息

Department of Neurology, Xi'an Children's Hospital, Xi'an, China.

Cipher Gene LLC, Beijing, China.

出版信息

Mol Genet Genomic Med. 2023 Nov;11(11):e2251. doi: 10.1002/mgg3.2251. Epub 2023 Jul 26.

Abstract

BACKGROUND

ASXL2 encodes proteins involved in epigenetic regulation and the assembly of transcription factors at specific genomic loci. Germline de novo truncating variants in ASXL2 have been implicated in Shashi-Pena syndrome, which results in features of developmental delay (DD), glabellar nevus flammeus, hypotonia, and cardiac disorders. However, the variants are rare, and the clinical spectrum may be incomplete.

METHODS

The clinical data such as brain MRI were collect. The whole exome sequencing was performed for genetic etiology analysis.

RESULTS

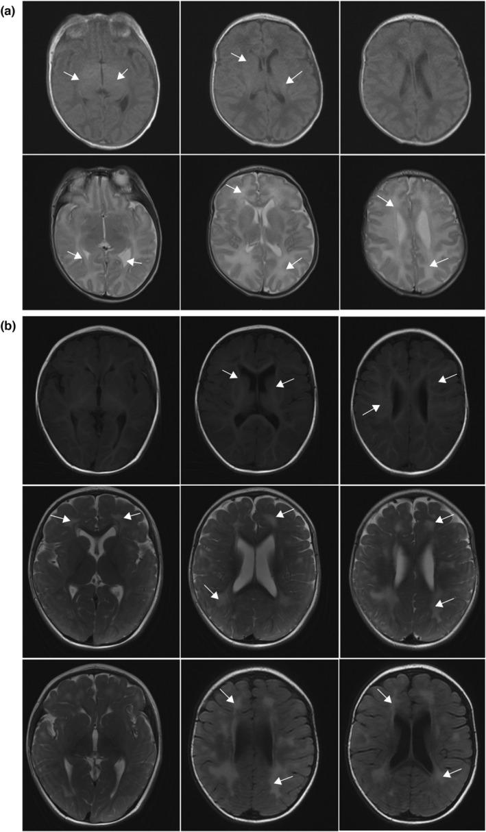
Here, we report a patient with DD, hypotonia, early atrial septal defect, and abnormal white matter signal. She presented with Shashi-Pena syndrome with a truncated variant in ASXL2 (NM_018263.6, c.2142_2152del, p.Ser714Argfs*5). She died of a digestive tract infection when she was 1 year and 6 months old.

CONCLUSIONS

Our study further expanded the spectrum of phenotypes and genetic variations of the syndrome, and we believe that it is necessary to screen the ASXL2 gene in patients with DD and cardiac and bone disorders.

摘要

背景

ASXL2 编码参与表观遗传调控和特定基因组位置转录因子组装的蛋白质。ASXL2 中的胚系从头截短变异与 Shashi-Pena 综合征相关,导致发育迟缓(DD)、额部焰状痣、低张力和心脏疾病等特征。然而,这些变异很罕见,且临床表现可能不完整。

方法

收集了包括脑 MRI 在内的临床数据。进行了全外显子组测序以进行遗传病因分析。

结果

在这里,我们报告了一名患有 DD、低张力、早期房间隔缺损和异常脑白质信号的患者。她携带 ASXL2 中的截断变异(NM_018263.6,c.2142_2152del,p.Ser714Argfs*5),患有 Shashi-Pena 综合征。她在 1 岁零 6 个月时因消化道感染去世。

结论

我们的研究进一步扩展了该综合征的表型和遗传变异谱,我们认为有必要在患有 DD 和心脏及骨骼疾病的患者中筛查 ASXL2 基因。

https://cdn.ncbi.nlm.nih.gov/pmc/blobs/89b1/10655504/fe82a1ba6d02/MGG3-11-e2251-g003.jpg

文献AI研究员

20分钟写一篇综述,助力文献阅读效率提升50倍。

立即体验

用中文搜PubMed

大模型驱动的PubMed中文搜索引擎

马上搜索

文档翻译

学术文献翻译模型,支持多种主流文档格式。

立即体验