Suppr超能文献

常见涉禽和潜水鸭物种对 2.3.2.1 分支 H5N1 高致病性禽流感病毒易感性的实验感染研究。

Susceptibility of common dabbling and diving duck species to clade 2.3.2.1 H5N1 high pathogenicity avian influenza virus: an experimental infection study.

机构信息

Department of Joint Veterinary Medicine, Faculty of Agriculture, Tottori University, Tottori, Japan.

Avian Zoonosis Research Center, Faculty of Agriculture, Tottori University, Tottori, Japan.

出版信息

J Vet Med Sci. 2023 Sep 7;85(9):942-949. doi: 10.1292/jvms.23-0122. Epub 2023 Jul 26.

Abstract

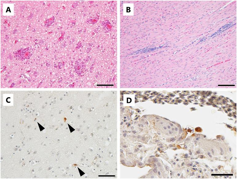
In the winter of 2010-2011, Japan experienced a large outbreak of infections caused by clade 2.3.2.1 H5N1 high pathogenicity avian influenza viruses (HPAIVs) in wild birds. Interestingly, many tufted ducks (Aythya fuligula), which are migratory diving ducks, succumbed to the infection, whereas only one infection case was reported in migratory dabbling duck species, the major natural hosts of the influenza A virus, during the outbreak. To assess whether the susceptibility of each duck species to HPAIVs was correlated with the number of cases, tufted duck and dabbling duck species (Eurasian wigeon, Mareca penelope; mallard, Anas platyrhynchos; Northern pintail, Anas acuta) were intranasally inoculated with A/Mandarin duck/Miyazaki/22M807-1/2011 (H5N1), an index clade 2.3.2.1 virus previously used for experimental infection studies in various bird species. All ducks observed for 10 days post-inoculation (dpi) mostly shed the virus via the oral route and survived. The tufted ducks shed a higher titer of the virus than the other dabbling duck species, and one of them showed apparent neurological symptoms after 7 dpi, which were accompanied by eye lesions. No clinical symptoms were observed in the dabbling ducks, although systemic infection and viremia were observed in some of them sacrificed at 3 dpi. These results suggest that the susceptibility of clade 2.3.2.1 HPAIVs might differ by duck species.

摘要

在 2010-2011 年冬季,日本野鸟中发生了由 2.3.2.1 分支 H5N1 高致病性禽流感病毒(HPAIV)引起的大规模感染。有趣的是,许多迁徙性潜鸭(Aythya fuligula)感染了这种病毒,而在此次疫情中,主要的流感 A 病毒自然宿主迁徙性涉禽物种中,仅报告了一例感染病例。为了评估每种鸭种对 HPAIV 的易感性是否与病例数相关,我们用鸭源 H5N1 病毒 A/Mandarin duck/Miyazaki/22M807-1/2011 对潜鸭和涉禽物种(斑嘴鸭、绿头鸭、针尾鸭)进行了鼻腔接种,该病毒曾被用于各种鸟类的实验感染研究。所有接种后的鸭子观察了 10 天(dpi),大部分通过口腔途径排出病毒并存活。潜鸭排出的病毒滴度高于其他涉禽物种,其中一只在 7 dpi 后出现明显的神经症状,并伴有眼部病变。涉禽没有观察到临床症状,尽管在 3 dpi 处死的一些涉禽中观察到了系统感染和病毒血症。这些结果表明,2.3.2.1 分支 HPAIV 的易感性可能因鸭种而异。

https://cdn.ncbi.nlm.nih.gov/pmc/blobs/f8c7/10539830/cb9b56f22fb0/jvms-85-942-g001.jpg

文献AI研究员

20分钟写一篇综述,助力文献阅读效率提升50倍。

立即体验

用中文搜PubMed

大模型驱动的PubMed中文搜索引擎

马上搜索

文档翻译

学术文献翻译模型,支持多种主流文档格式。

立即体验