Suppr超能文献

噬菌体对肉鸡感染肠炎沙门氏菌的影响。

Effects of bacteriophage on Salmonella Enteritidis infection in broilers.

机构信息

Department of Animal Sciences, College of Agriculture, Isfahan University of Technology, Isfahan, 84156-83111, Iran.

AB Vista, Marlborough, SN8 4AN, Wiltshire, UK.

出版信息

Sci Rep. 2023 Jul 27;13(1):12198. doi: 10.1038/s41598-023-38791-6.

Abstract

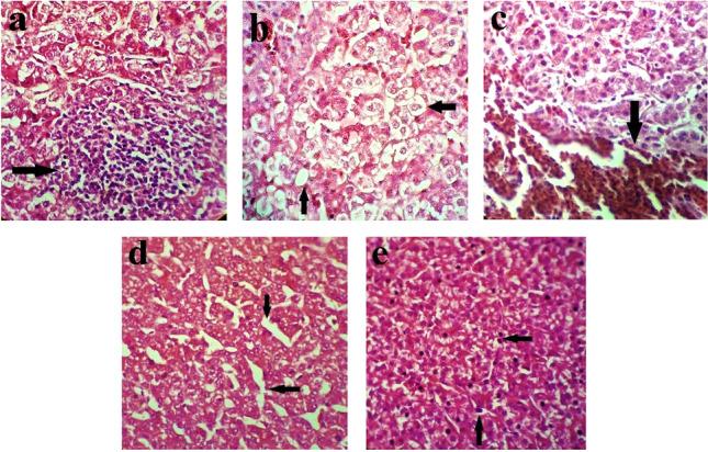
Bacteriophages (BP) are viruses that can infect bacteria. The present study evaluated the effect of BP on Salmonella infected broilers. A number of 150 day-old broilers were used in a completely randomized design with five treatments that included: (1) basal diet from day 0 to 28; (2) basal diet + 0.3 g/kg of colistin from day 0 to 28; (3) basal diet from day 1 to 13, and basal diet + 0.4 g/kg of colistin from day 14 to 28; (4) basal diet + 1 g/kg of BP from day 0 to 28; (5) basal diet + 1.5 g/kg of BP from day 0 to 28. On day 13, 15 chickens from each treatment were challenged by Salmonella Enteritidis (SE), while fifteen from each treatment were not; instead, they were kept in the same cage with the challenged chickens (exposed chickens). At 7 and 14 days post-challenge, the number of SE and coliform bacteria in the cecum and liver of colistin and BP-fed birds was lower than the control treatment. In exposed and challenged chickens, the height and surface area of villus were greater in the BP and colistin-supplemented groups. Serum concentrations of aspartate aminotransferase and alanine transaminase were greater, while serum albumin and triglycerides concentrations were lower in the control treatment. The liver of the challenged chickens had more pathological lesions than exposed birds. BP significantly decreased PPARγ gene expression in exposed chickens. In the challenged and exposed chickens, TLR4 gene expression was lower in BP and colistin-treated birds as compared to the control. In conclusion, adding BP to the diet from the day of age prevents the spread of Salmonella.

摘要

噬菌体(BP)是可以感染细菌的病毒。本研究评估了 BP 对感染沙门氏菌的肉鸡的影响。使用了 150 日龄的肉鸡进行完全随机设计,有五个处理组,包括:(1)从 0 天到 28 天的基础日粮;(2)从 0 天到 28 天的基础日粮+0.3g/kg 黏菌素;(3)从 1 天到 13 天的基础日粮,从 14 天到 28 天的基础日粮+0.4g/kg 黏菌素;(4)从 0 天到 28 天的基础日粮+1g/kg BP;(5)从 0 天到 28 天的基础日粮+1.5g/kg BP。在第 13 天,每个处理组的 15 只鸡受到肠炎沙门氏菌(SE)的挑战,而其余 15 只鸡则没有,而是与受到挑战的鸡(暴露鸡)放在同一个笼子里。在攻毒后第 7 天和第 14 天,黏菌素和 BP 组鸡的盲肠和肝脏中 SE 和大肠菌群的数量低于对照组。在暴露和攻毒的鸡中,BP 和黏菌素组的绒毛高度和表面积更大。天冬氨酸转氨酶和丙氨酸转氨酶的血清浓度较高,而白蛋白和甘油三酯的血清浓度较低。攻毒鸡的肝脏病变比暴露鸡多。BP 显著降低了暴露鸡的 PPARγ 基因表达。在攻毒和暴露的鸡中,BP 和黏菌素处理组的 TLR4 基因表达低于对照组。综上所述,从鸡的日龄开始在饮食中添加 BP 可防止沙门氏菌的传播。

https://cdn.ncbi.nlm.nih.gov/pmc/blobs/1207/10374914/742a0d557376/41598_2023_38791_Fig1_HTML.jpg

文献AI研究员

20分钟写一篇综述,助力文献阅读效率提升50倍。

立即体验

用中文搜PubMed

大模型驱动的PubMed中文搜索引擎

马上搜索

文档翻译

学术文献翻译模型,支持多种主流文档格式。

立即体验