Suppr超能文献

精神活性药物与男性生育力:影响与机制。

Psychoactive drugs and male fertility: impacts and mechanisms.

机构信息

Department of Medical Laboratory Science, Afe Babalola University, Ado-Ekiti, Ekiti State, Nigeria.

The Brainwill Laboratory, Osogbo, Osun State, Nigeria.

出版信息

Reprod Biol Endocrinol. 2023 Jul 28;21(1):69. doi: 10.1186/s12958-023-01098-2.

Abstract

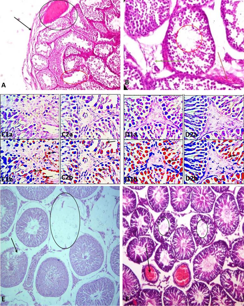
Although psychoactive drugs have their therapeutic values, they have been implicated in the pathogenesis of male infertility. This study highlights psychoactive drugs reported to impair male fertility, their impacts, and associated mechanisms. Published data from scholarly peer-reviewed journals were used for the present study. Papers were assessed through AJOL, DOAJ, Google Scholar, PubMed/PubMed Central, and Scopus using Medical Subjects Heading (MeSH) indexes and relevant keywords. Psychoactive drugs negatively affect male reproductive functions, including sexual urge, androgen synthesis, spermatogenesis, and sperm quality. These drugs directly induce testicular toxicity by promoting ROS-dependent testicular and sperm oxidative damage, inflammation, and apoptosis, and they also suppress the hypothalamic-pituitary-testicular axis. This results in the suppression of circulating androgen, impaired spermatogenesis, and reduced sperm quality. In conclusion, psychoactive drug abuse not only harms male sexual and erectile function as well as testicular functions, viz., testosterone concentration, spermatogenesis, and sperm quality, but it also alters testicular histoarchitecture through a cascade of events via multiple pathways. Therefore, offering adequate and effective measures against psychoactive drug-induced male infertility remains pertinent.

摘要

虽然精神活性药物具有治疗价值,但它们与男性不育的发病机制有关。本研究重点介绍了据报道会损害男性生育力的精神活性药物、它们的影响及其相关机制。本研究使用了来自学术同行评议期刊的已发表数据。通过 AJOL、DOAJ、Google Scholar、PubMed/PubMed Central 和 Scopus 使用医学主题词 (MeSH) 索引和相关关键字对论文进行评估。精神活性药物会对男性生殖功能产生负面影响,包括性欲、雄激素合成、精子发生和精子质量。这些药物通过促进依赖 ROS 的睾丸和精子氧化损伤、炎症和细胞凋亡直接引起睾丸毒性,并且它们还抑制下丘脑-垂体-睾丸轴。这导致循环雄激素水平降低、精子发生受损和精子质量下降。总之,滥用精神活性药物不仅会损害男性的性和勃起功能以及睾丸功能,即睾丸内的睾酮浓度、精子发生和精子质量,还会通过多种途径的级联事件改变睾丸组织学结构。因此,提供针对精神活性药物引起的男性不育的充分和有效措施仍然是相关的。

https://cdn.ncbi.nlm.nih.gov/pmc/blobs/22a4/10375764/d60a8d01d369/12958_2023_1098_Fig1_HTML.jpg

文献AI研究员

20分钟写一篇综述,助力文献阅读效率提升50倍。

立即体验

用中文搜PubMed

大模型驱动的PubMed中文搜索引擎

马上搜索

文档翻译

学术文献翻译模型,支持多种主流文档格式。

立即体验