Suppr超能文献

II 型草鱼呼肠孤病毒通过鼻-嗅觉系统-脑轴、鳃和头部皮肤迅速侵袭草鱼()。

Type II Grass Carp Reovirus Rapidly Invades Grass Carp () via Nostril-Olfactory System-Brain Axis, Gill, and Skin on Head.

机构信息

College of Fisheries, Hubei Hongshan Laboratory, Huazhong Agricultural University, Wuhan 430070, China.

Laboratory for Marine Biology and Biotechnology, Pilot National Laboratory for Marine Science and Technology, Qingdao 266237, China.

出版信息

Viruses. 2023 Jul 23;15(7):1614. doi: 10.3390/v15071614.

Abstract

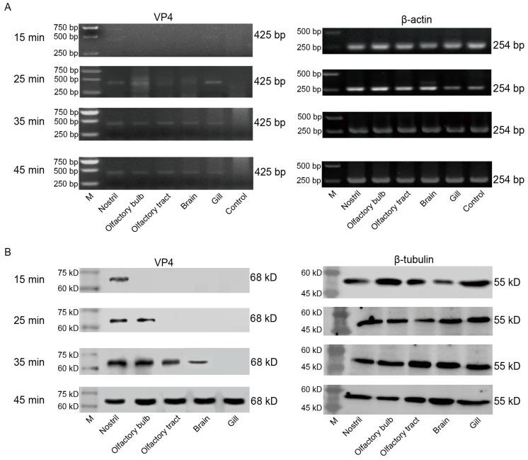
Type II grass carp reovirus (GCRV-II) with high pathogenicity and infectivity causes severe hemorrhagic disease, which leads to extensive death in the grass carp and black carp aquaculture. However, the early invasion portal remains unclear. In this study, we explored the invasion portal, time, and pathway of GCRV-II by immersion infection in grass carp. Through the detection of the infected grass carp external body surface tissues, most of them could be detected to carry GCRV-II within 45 min except for the skin covered by scales. Further shortening the duration of infection, we proved that GCRV-II rapidly invades through the nostril (especially), gill, and skin on head at only 5 min post-immersion, rather than merely by adhesion. Subsequently, visual localization investigations of GCRV-II were conducted on the nostril, olfactory system (olfactory bulb and olfactory tract), and brain via immunofluorescence microscopy and transmission electron microscopy. We found that few viruses were located in the nostril at 5 min post-immersion infection, while a significantly increased quantity of viruses were distributed in all of the examined tissues at 45 min. Furthermore, the semi-qRT-PCR and Western blotting results of different infection times confirmed that GCRV-II invades grass carp via the nostril-olfactory system-brain axis and then viral replication unfolds. These results revealed the infection mechanism of GCRV-II in terms of the invasion portal, time, and pathway in grass carp. This study aims to understand the invasion mode of GCRV-II in grass carp, thus providing theoretical support for the prevention and control strategies of hemorrhagic disease.

摘要

高致病性和感染性的 II 型草鱼呼肠孤病毒(GCRV-II)可引起草鱼和鲤鱼养殖中的严重出血性疾病,导致大量鱼类死亡。然而,其早期入侵门户仍不清楚。在这项研究中,我们通过草鱼浸泡感染来探索 GCRV-II 的入侵门户、时间和途径。通过检测感染草鱼的外部体表组织,我们发现除了被鳞片覆盖的皮肤外,大多数草鱼在 45 分钟内即可检测到携带 GCRV-II。进一步缩短感染时间,我们证明 GCRV-II 可以通过鼻孔(尤其是)、鳃和头部皮肤迅速入侵,只需在浸泡后 5 分钟即可入侵,而不仅仅是通过黏附。随后,通过免疫荧光显微镜和透射电子显微镜,我们对鼻孔、嗅觉系统(嗅球和嗅束)和大脑中的 GCRV-II 进行了可视化定位研究。我们发现,在感染后 5 分钟,仅有少量病毒位于鼻孔中,而在 45 分钟时,所有检测到的组织中都分布着大量的病毒。此外,不同感染时间的半定量 RT-PCR 和 Western blot 结果证实,GCRV-II 通过鼻孔-嗅觉系统-大脑轴入侵草鱼,然后病毒开始复制。这些结果揭示了 GCRV-II 在草鱼中的感染机制,包括入侵门户、时间和途径。本研究旨在了解 GCRV-II 在草鱼中的入侵模式,从而为出血性疾病的防控策略提供理论支持。

https://cdn.ncbi.nlm.nih.gov/pmc/blobs/ba99/10385732/a50b036c5a5f/viruses-15-01614-g001.jpg

文献AI研究员

20分钟写一篇综述,助力文献阅读效率提升50倍。

立即体验

用中文搜PubMed

大模型驱动的PubMed中文搜索引擎

马上搜索

文档翻译

学术文献翻译模型,支持多种主流文档格式。

立即体验