Suppr超能文献

天然油通过纳米凝胶增强酮康唑的局部递送用于真菌感染。

Natural Oils Enhance the Topical Delivery of Ketoconazole by Nanoemulgel for Fungal Infections.

作者信息

Ahmad Irfan, Farheen Ms, Kukreti Ashish, Afzal Obaid, Akhter Md Habban, Chitme Havagiray, Visht Sharad, Altamimi Abdulmalik Saleh Alfawaz, Alossaimi Manal A, Alsulami Ebtisam R, Jaremko Mariusz, Emwas Abdul-Hamid

机构信息

Department of Clinical Laboratory Sciences, College of Applied Medical Sciences, King Khalid University, Abha 62521, Saudi Arabia.

School of Pharmaceutical and Population Health Informatics (SoPPHI), DIT University, Dehradun 248009, India.

出版信息

ACS Omega. 2023 Jul 26;8(31):28233-28248. doi: 10.1021/acsomega.3c01571. eCollection 2023 Aug 8.

Abstract

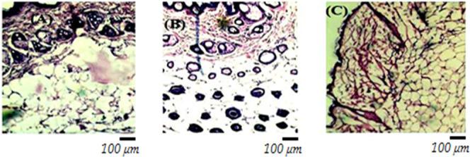
Nanoemulgel (NEG) pharmaceutical formulations are gaining popularity because of their ability to serve both as a nanoemulsion and as a gel. These products are well-known for their ease of use, spreadability, controlled release, and ability to hydrate dry skin. Natural essential oils have been shown to promote the cutaneous permeability of topical formulations, enhancing medication safety and efficacy. Herein, we developed NEG for the enhanced permeation of ketoconazole against candidiasis using clove oil (clove-oil-NEG) or eucalyptus oil (eucalyptus-oil-NEG), using the gelling agents carbopol 943 and hydroxypropyl methylcellulose (HPMC). We tested various excipients to increase the solubility of ketoconazole and formulate a nanoemulsion (NE). We measured the NE droplet particle size, shape, entrapment efficiency, and drug release. Furthermore, the physicochemical properties of the optimized nanoemulsion formulation were characterized by techniques such as Fourier transform infrared (FT-IR) spectroscopy and X-ray diffraction (XRD) analysis. The NEs were loaded into gels to form NEGs. NEGs were characterized for drug content, homogeneity, rheology, spreadability, and antifungal activity against , both and . Optimized ketoconazole NEG preparations consisted of either 15% clove oil or 20% eucalyptus oil. Droplet sizes in the optimized NEs were <100 nm, and the polydispersity indexes were 0.24 and 0.26. The percentages of ketoconazole released after 24 h from the clove-oil-NEG and eucalyptus-oil-NEGs were 91 ± 4.5 and 89 ± 7%, respectively. Scanning electron microscopy (SEM) showed that the NEGs had a smooth, uniform, and consistent shape and internal structural organization. The drug contents in the clove-oil-NEG and eucalyptus-oil-NEG were 98.5 ± 2.2 and 98.8 ± 3.4%, respectively. Permeation values of ketoconazole from clove-oil-NEG and eucalyptus-oil-NEG were 117 ± 7 and 108.34 ± 6 μg cm, respectively. The ketoconazole NEG formulations also had higher levels of fungal growth inhibition than a marketed formulation. Finally, studies showed that the NEGs do not irritate the skin. Ketoconazole NEG with either 15% clove oil or 20% eucalyptus oil is stable with better efficacy than ketoconazole alone due to excellent dispersion, drug dissolution, and permeability and thus might be recommended for the effective and safe treatment of candidiasis.

摘要

纳米乳凝胶(NEG)药物制剂因其兼具纳米乳剂和凝胶的特性而越来越受欢迎。这些产品以其使用方便、铺展性好、控释以及能够滋润干性皮肤而闻名。天然精油已被证明可促进局部制剂的皮肤渗透性,提高药物安全性和疗效。在此,我们使用卡波姆943和羟丙基甲基纤维素(HPMC)作为凝胶剂,开发了用于增强酮康唑抗念珠菌病渗透作用的纳米乳凝胶,分别使用丁香油(丁香油-NEG)或桉叶油(桉叶油-NEG)。我们测试了各种辅料以增加酮康唑的溶解度并制备纳米乳剂(NE)。我们测量了纳米乳剂的液滴粒径、形状、包封率和药物释放情况。此外,通过傅里叶变换红外(FT-IR)光谱和X射线衍射(XRD)分析等技术对优化后的纳米乳剂配方的理化性质进行了表征。将纳米乳剂负载到凝胶中形成纳米乳凝胶。对纳米乳凝胶的药物含量、均匀性、流变学、铺展性以及对白色念珠菌和热带念珠菌的抗真菌活性进行了表征。优化后的酮康唑纳米乳凝胶制剂包含15%的丁香油或20%的桉叶油。优化后的纳米乳剂的液滴尺寸小于100 nm,多分散指数分别为0.24和0.26。丁香油-NEG和桉叶油-NEG在24小时后释放的酮康唑百分比分别为91±4.5%和89±7%。扫描电子显微镜(SEM)显示,纳米乳凝胶具有光滑、均匀且一致的形状和内部结构组织。丁香油-NEG和桉叶油-NEG中的药物含量分别为98.5±2.2%和98.8±3.4%。酮康唑从丁香油-NEG和桉叶油-NEG的渗透值分别为117±7和108.34±6 μg/cm。酮康唑纳米乳凝胶制剂对真菌生长的抑制水平也高于市售制剂。最后,研究表明纳米乳凝胶不会刺激皮肤。含有15%丁香油或20%桉叶油的酮康唑纳米乳凝胶稳定,由于其出色的分散性、药物溶解性和渗透性,其疗效优于单独使用酮康唑,因此可能推荐用于念珠菌病的有效和安全治疗。

https://cdn.ncbi.nlm.nih.gov/pmc/blobs/db79/10413480/685fba262051/ao3c01571_0002.jpg

文献AI研究员

20分钟写一篇综述,助力文献阅读效率提升50倍。

立即体验

用中文搜PubMed

大模型驱动的PubMed中文搜索引擎

马上搜索

文档翻译

学术文献翻译模型,支持多种主流文档格式。

立即体验