Suppr超能文献

一项用于前列腺癌检测和 Gleason 分级算法的国际多机构验证研究。

An international multi-institutional validation study of the algorithm for prostate cancer detection and Gleason grading.

作者信息

Tolkach Yuri, Ovtcharov Vlado, Pryalukhin Alexey, Eich Marie-Lisa, Gaisa Nadine Therese, Braun Martin, Radzhabov Abdukhamid, Quaas Alexander, Hammerer Peter, Dellmann Ansgar, Hulla Wolfgang, Haffner Michael C, Reis Henning, Fahoum Ibrahim, Samarska Iryna, Borbat Artem, Pham Hoa, Heidenreich Axel, Klein Sebastian, Netto George, Caie Peter, Buettner Reinhard

机构信息

Institute of Pathology, University Hospital Cologne, Cologne, Germany.

Indica Labs, Albuquerque, NM, USA.

出版信息

NPJ Precis Oncol. 2023 Aug 15;7(1):77. doi: 10.1038/s41698-023-00424-6.

Abstract

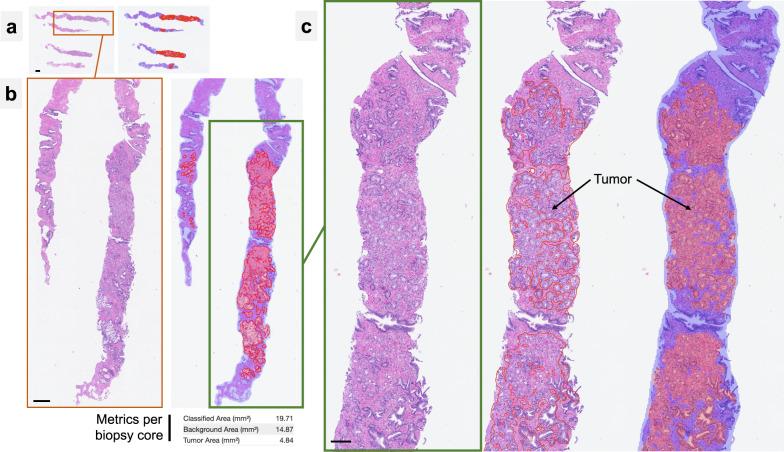
Pathologic examination of prostate biopsies is time consuming due to the large number of slides per case. In this retrospective study, we validate a deep learning-based classifier for prostate cancer (PCA) detection and Gleason grading (AI tool) in biopsy samples. Five external cohorts of patients with multifocal prostate biopsy were analyzed from high-volume pathology institutes. A total of 5922 H&E sections representing 7473 biopsy cores from 423 patient cases (digitized using three scanners) were assessed concerning tumor detection. Two tumor-bearing datasets (core n = 227 and 159) were graded by an international group of pathologists including expert urologic pathologists (n = 11) to validate the Gleason grading classifier. The sensitivity, specificity, and NPV for the detection of tumor-bearing biopsies was in a range of 0.971-1.000, 0.875-0.976, and 0.988-1.000, respectively, across the different test cohorts. In several biopsy slides tumor tissue was correctly detected by the AI tool that was initially missed by pathologists. Most false positive misclassifications represented lesions suspicious for carcinoma or cancer mimickers. The quadratically weighted kappa levels for Gleason grading agreement for single pathologists was 0.62-0.80 (0.77 for AI tool) and 0.64-0.76 (0.72 for AI tool) for the two grading datasets, respectively. In cases where consensus for grading was reached among pathologists, kappa levels for AI tool were 0.903 and 0.855. The PCA detection classifier showed high accuracy for PCA detection in biopsy cases during external validation, independent of the institute and scanner used. High levels of agreement for Gleason grading were indistinguishable between experienced genitourinary pathologists and the AI tool.

摘要

由于每个病例的切片数量众多,前列腺活检的病理检查耗时较长。在这项回顾性研究中,我们验证了一种基于深度学习的分类器,用于在活检样本中检测前列腺癌(PCA)并进行Gleason分级(人工智能工具)。从高容量病理机构分析了五个多灶性前列腺活检患者的外部队列。共评估了代表来自423例患者病例(使用三台扫描仪数字化)的7473个活检核心的5922张苏木精-伊红(H&E)切片的肿瘤检测情况。由包括专家泌尿病理学家(n = 11)在内的国际病理学家小组对两个含肿瘤数据集(核心数量分别为n = 227和159)进行分级,以验证Gleason分级分类器。在不同测试队列中,检测含肿瘤活检的敏感性、特异性和阴性预测值分别在0.971 - 1.000、0.875 - 0.976和0.988 - 1.000范围内。在几张活检切片中,人工智能工具正确检测出了病理学家最初遗漏的肿瘤组织。大多数假阳性误分类代表可疑癌或癌症模仿病变。两个分级数据集的单病理学家Gleason分级一致性的二次加权kappa水平分别为0.62 - 0.80(人工智能工具为0.77)和0.64 - 0.76(人工智能工具为0.72)。在病理学家之间达成分级共识的病例中,人工智能工具的kappa水平分别为0.903和0.855。PCA检测分类器在外部验证期间对活检病例中的PCA检测显示出高准确性,与所使用的机构和扫描仪无关。经验丰富的泌尿生殖病理学家和人工智能工具在Gleason分级方面的一致性水平很高,难以区分。

https://cdn.ncbi.nlm.nih.gov/pmc/blobs/bae7/10427608/a9befb599f17/41698_2023_424_Fig1_HTML.jpg

文献AI研究员

20分钟写一篇综述,助力文献阅读效率提升50倍。

立即体验

用中文搜PubMed

大模型驱动的PubMed中文搜索引擎

马上搜索

文档翻译

学术文献翻译模型,支持多种主流文档格式。

立即体验