Suppr超能文献

纳米白蛋白结合型紫杉醇与吉西他滨作为伴有新型RNA融合和突变的转移性壶腹腺癌的一线治疗方案

Nab-Paclitaxel and Gemcitabine as First-Line Treatment of Metastatic Ampullary Adenocarcinoma with a Novel RNA Fusion and Mutation.

作者信息

Linscott Maryknoll P, Markus Havell, Sennett Mackenzie, Abendroth Catherine, Yee Nelson S

机构信息

Medical Scientist Training Program, Pennsylvania State University College of Medicine, Hershey, PA 17033, USA.

Department of Pathology, Penn State Health Milton S. Hershey Medical Center, Hershey, PA 17033, USA.

出版信息

Biomedicines. 2023 Aug 21;11(8):2326. doi: 10.3390/biomedicines11082326.

Abstract

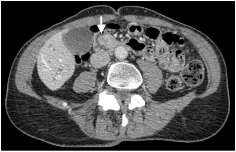
Ampullary adenocarcinoma is a rare malignancy that lacks standard systemic treatment. We describe a case of recurrent metastatic ampullary adenocarcinoma of the pancreaticobiliary subtype treated with nanoparticle albumin-bound (nab)-paclitaxel and gemcitabine as first-line treatment. This report also highlights the molecular profile of the ampullary adenocarcinoma and circulating tumor DNA (ctDNA). This is a case of pancreaticobiliary ampullary adenocarcinoma in a 67-year-old woman who initially presented with painless jaundice. Endoscopic and imaging evaluation revealed biliary ductal dilation secondary to an ampullary mass. Pathology confirmed the diagnosis of ampullary adenocarcinoma of the pancreaticobiliary subtype. She underwent surgical resection of the tumor, followed by adjuvant chemotherapy with gemcitabine and capecitabine. The tumor subsequently recurred in the liver. She received palliative chemotherapy with nab-paclitaxel and gemcitabine, resulting in an objective tumor response for 14 months. Molecular profiling of the tumor and ctDNA revealed a novel RNA fusion and a novel mutation, respectively. Our report suggests that long-term durable response can be achieved in metastatic pancreaticobiliary ampullary adenocarcinoma using nab-paclitaxel and gemcitabine. Molecular profiling of the tumor identified a novel RNA fusion and mutation that can be potentially targeted for treatment.

摘要

壶腹腺癌是一种罕见的恶性肿瘤,缺乏标准的全身治疗方法。我们描述了一例复发性转移性胰胆管亚型壶腹腺癌,该患者一线治疗采用纳米白蛋白结合型(nab)紫杉醇和吉西他滨。本报告还重点介绍了壶腹腺癌的分子特征和循环肿瘤DNA(ctDNA)。这是一名67岁女性的胰胆管壶腹腺癌病例,最初表现为无痛性黄疸。内镜和影像学评估显示,壶腹肿块继发胆管扩张。病理确诊为胰胆管亚型壶腹腺癌。她接受了肿瘤手术切除,随后接受了吉西他滨和卡培他滨辅助化疗。肿瘤随后在肝脏复发。她接受了nab紫杉醇和吉西他滨姑息化疗,肿瘤客观缓解达14个月。肿瘤和ctDNA的分子分析分别发现了一种新的RNA融合和一种新的突变。我们的报告表明,使用nab紫杉醇和吉西他滨可使转移性胰胆管壶腹腺癌获得长期持久缓解。肿瘤的分子分析确定了一种新的RNA融合和一种可潜在用于治疗靶点的突变。

https://cdn.ncbi.nlm.nih.gov/pmc/blobs/7f47/10452745/6937d76ec713/biomedicines-11-02326-g001.jpg

文献AI研究员

20分钟写一篇综述,助力文献阅读效率提升50倍。

立即体验

用中文搜PubMed

大模型驱动的PubMed中文搜索引擎

马上搜索

文档翻译

学术文献翻译模型,支持多种主流文档格式。

立即体验