Suppr超能文献

基于计算机预测宫颈癌长链非编码 RNA 中潜在四链体形成序列。

In Silico Identification of Potential Quadruplex Forming Sequences in LncRNAs of Cervical Cancer.

机构信息

Department of Biological Engineering, Indian Institute of Technology Gandhinagar, Gandhinagar 382355, India.

Department of Chemistry, Indian Institute of Technology Gandhinagar, Gandhinagar 382355, India.

出版信息

Int J Mol Sci. 2023 Aug 10;24(16):12658. doi: 10.3390/ijms241612658.

Abstract

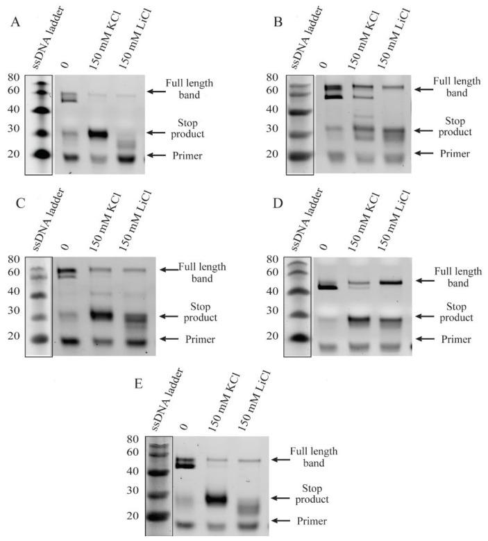
Long non-coding RNAs (lncRNAs) have emerged as auxiliary regulators of gene expression influencing tumor microenvironment, metastasis and radio-resistance in cancer. The presence of lncRNA in extracellular fluids makes them promising diagnostic markers. LncRNAs deploy higher-order structures to facilitate a complex range of functions. Among such structures, G-quadruplexes (G4s) can be detected or targeted by small molecular probes to drive theranostic applications. The in vitro identification of G4 formation in lncRNAs can be a tedious and expensive proposition. Bioinformatics-driven strategies can provide comprehensive and economic alternatives in conjunction with suitable experimental validation. We propose a pipeline to identify G4-forming sequences, protein partners and biological functions associated with dysregulated lncRNAs in cervical cancer. We identified 17 lncRNA clusters which possess transcripts that can fold into a G4 structure. We confirmed in vitro G4 formation in the four biologically active isoforms of SNHG20, MEG3, CRNDE and LINP1 by Circular Dichroism spectroscopy and Thioflavin-T-assisted fluorescence spectroscopy and reverse-transcriptase stop assay. Gene expression data demonstrated that these four lncRNAs can be potential prognostic biomarkers of cervical cancer. Two approaches were employed for identifying G4 specific protein partners for these lncRNAs and FMR2 was a potential interacting partner for all four clusters. We report a detailed investigation of G4 formation in lncRNAs that are dysregulated in cervical cancer. LncRNAs MEG3, CRNDE, LINP1 and SNHG20 are shown to influence cervical cancer progression and we report G4 specific protein partners for these lncRNAs. The protein partners and G4s predicted in lncRNAs can be exploited for theranostic objectives.

摘要

长链非编码 RNA(lncRNA)已成为辅助基因表达调控因子,影响肿瘤微环境、癌症转移和放射抵抗性。lncRNA 存在于细胞外液中,使其成为有前途的诊断标志物。lncRNA 采用高级结构来实现复杂的功能。在这些结构中,G-四链体(G4)可以通过小分子探针进行检测或靶向,从而推动治疗应用。lncRNA 中 G4 形成的体外鉴定可能是一项繁琐且昂贵的工作。基于生物信息学的策略可以与合适的实验验证相结合,提供全面和经济的替代方案。我们提出了一种鉴定与宫颈癌中失调 lncRNA 相关的 G4 形成序列、蛋白质伴侣和生物学功能的管道。我们确定了 17 个 lncRNA 簇,这些簇的转录本可以折叠成 G4 结构。我们通过圆二色性光谱和噻唑蓝-T 辅助荧光光谱和逆转录酶停止试验证实了 SNHG20、MEG3、CRNDE 和 LINP1 的四个生物活性异构体中体外 G4 的形成。基因表达数据表明,这四个 lncRNA 可以成为宫颈癌的潜在预后生物标志物。我们采用了两种方法来鉴定这些 lncRNA 的 G4 特异性蛋白伴侣,FMR2 是所有四个簇的潜在相互作用伴侣。我们报告了对宫颈癌中失调的 lncRNA 中 G4 形成的详细研究。lncRNA MEG3、CRNDE、LINP1 和 SNHG20 被证明影响宫颈癌的进展,我们报告了这些 lncRNA 的 G4 特异性蛋白伴侣。lncRNA 中预测的蛋白伴侣和 G4 可用于治疗目的。

https://cdn.ncbi.nlm.nih.gov/pmc/blobs/ddcb/10454738/641af641180e/ijms-24-12658-g001.jpg

文献AI研究员

20分钟写一篇综述,助力文献阅读效率提升50倍。

立即体验

用中文搜PubMed

大模型驱动的PubMed中文搜索引擎

马上搜索

文档翻译

学术文献翻译模型,支持多种主流文档格式。

立即体验