Suppr超能文献

铁过载诱导的小鼠弓形虫病中的铁死亡促进脑损伤,而地拉罗司可抑制其发生。

Iron-overload-induced ferroptosis in mouse cerebral toxoplasmosis promotes brain injury and could be inhibited by Deferiprone.

机构信息

Department of Health Inspection and Quarantine, School of Public Health, Anhui Medical University, Hefei, China.

Anhui Provincial Laboratory of Microbiology and Parasitology, and Anhui Provincial Laboratory of Zoonoses of High Institutions, Anhui Medical University, Hefei, China.

出版信息

PLoS Negl Trop Dis. 2023 Aug 31;17(8):e0011607. doi: 10.1371/journal.pntd.0011607. eCollection 2023 Aug.

Abstract

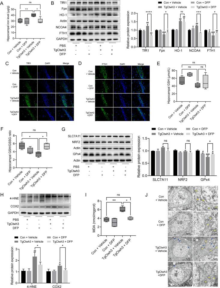
Iron is a trace metal element that is essential for the survival of cells and parasites. The role of iron in cerebral toxoplasmosis (CT) is still unclear. Deferiprone (DFP) is the orally active iron chelator that binds iron in a molar ratio of 3:1 (ligand:iron) and promotes urinary iron excretion to remove excess iron from the body. The aims of this experiment were to observe the alterations in iron in brains with Toxoplasma gondii (T. gondii) acute infections and to investigate the mechanism of ferroptosis in CT using DFP. We established a cerebral toxoplasmosis model in vivo using TgCtwh3, the dominant strains of which are prevalent in China, and treated the mice with DFP at a dose of 75 mg/kg/d. Meanwhile, we treated the HT-22 cells with 100 μM DFP for half an hour and then infected cells with TgCtwh3 in vitro. A qRT-PCR assay of TgSAG1 levels showed a response to the T. gondii burden. We used inductively coupled plasma mass spectrometry, an iron ion assay kit, Western blot analysis, glutathione and glutathione disulfide assay kits, a malonaldehyde assay kit, and immunofluorescence to detect the ferroptosis-related indexes in the mouse hippocampus and HT-22 cells. The inflammatory factors interferon-γ, tumor necrosis factor-α, transforming growth factor-β, and arginase 1 in the hippocampus and cells were detected using the Western blot assay. Hematoxylin and eosin staining, electron microscopy, and the Morris water maze experiment were used to evaluate the brain injuries of the mice. The results showed that TgCtwh3 infection is followed by the activation of ferroptosis-related signaling pathways and hippocampal pathological damage in mice. The use of DFP led to ferroptosis resistance and attenuated pathological changes, inflammatory reactions and T. gondii burden of the mice, prolonging their survival time. The HT-22 cells with TgCtwh3 activated the ferroptosis pathway and was inhibit by DFP in vitro. In TgCtwh3-infected cells, inflammatory response and mitochondrial damage were severe, but these effects could be reduced by DFP. Our study elucidates the mechanism by which T. gondii interferes with the host's iron metabolism and activates ferroptosis, complementing the pathogenic mechanism of CT and further demonstrating the potential value of DFP for the treatment of CT.

摘要

铁是一种微量元素,对细胞和寄生虫的生存至关重要。铁在脑部弓形虫病(CT)中的作用尚不清楚。地拉罗司(DFP)是一种口服活性铁螯合剂,其与铁的摩尔比为 3:1(配体:铁),并促进尿中铁的排泄,从而将多余的铁从体内去除。本实验的目的是观察弓形虫急性感染时大脑中铁的变化,并使用 DFP 研究 CT 中的铁死亡机制。我们使用 TgCtwh3 在体内建立了脑部弓形虫病模型,该模型的优势株在中国很常见,并以 75mg/kg/d 的剂量用 DFP 治疗小鼠。同时,我们用 100μM 的 DFP 处理 HT-22 细胞半小时,然后在体外用 TgCtwh3 感染细胞。TgSAG1 水平的 qRT-PCR 检测显示对弓形虫负荷的反应。我们使用电感耦合等离子体质谱法、铁离子检测试剂盒、Western blot 分析、谷胱甘肽和谷胱甘肽二硫化物检测试剂盒、丙二醛检测试剂盒和免疫荧光法检测小鼠海马体和 HT-22 细胞中的铁死亡相关指标。Western blot 法检测海马体和细胞中的炎症因子干扰素-γ、肿瘤坏死因子-α、转化生长因子-β和精氨酸酶 1。苏木精和伊红染色、电子显微镜和 Morris 水迷宫实验用于评估小鼠的脑损伤。结果表明,TgCtwh3 感染后,小鼠的铁死亡相关信号通路被激活,海马体出现病理损伤。使用 DFP 导致铁死亡抵抗,并减轻了小鼠的病理变化、炎症反应和弓形虫负荷,延长了它们的生存时间。体外用 TgCtwh3 激活的 HT-22 细胞的铁死亡途径被 DFP 抑制。在 TgCtwh3 感染的细胞中,炎症反应和线粒体损伤严重,但这些影响可以通过 DFP 减轻。本研究阐明了弓形虫干扰宿主铁代谢并激活铁死亡的机制,补充了 CT 的发病机制,并进一步证明了 DFP 治疗 CT 的潜在价值。

https://cdn.ncbi.nlm.nih.gov/pmc/blobs/fd67/10508604/9e88e639fa4a/pntd.0011607.g001.jpg

文献AI研究员

20分钟写一篇综述,助力文献阅读效率提升50倍。

立即体验

用中文搜PubMed

大模型驱动的PubMed中文搜索引擎

马上搜索

文档翻译

学术文献翻译模型,支持多种主流文档格式。

立即体验