Suppr超能文献

波兰首次报道犬和狼感染肝血巴尔通体:临床和流行病学特征。

The first report on Hepatozoon canis in dogs and wolves in Poland: clinical and epidemiological features.

机构信息

Institute of Biochemistry and Biophysics, Polish Academy of Sciences, 5A Pawińskiego Str, 02-106, Warsaw, Poland.

Vetlab Sp. Z O. O., Veterinary Diagnostic Laboratory, Wodzisławska Str 6, 52-017, Wrocław, Poland.

出版信息

Parasit Vectors. 2023 Sep 4;16(1):313. doi: 10.1186/s13071-023-05928-5.

Abstract

BACKGROUND

Canine hepatozoonosis caused by Hepatozoon canis is a common infection in dogs, with frequent case reports from the Mediterranean region and more recently from several Central European countries, such as Hungary and Germany. Despite the high prevalence of H. canis in red foxes, no infections have been reported to date in dogs in Poland. We describe here the first autochthonous cases of H. canis infection in dogs, including their clinical features, and report the prevalence of H. canis in grey wolves from different regions of Poland.

METHODS

Thin smears prepared from blood samples collected from dogs were evaluated by microscopic examination. A total of 60 wolves and 47 dogs were tested. Infections were confirmed by PCR and sequencing.

RESULTS

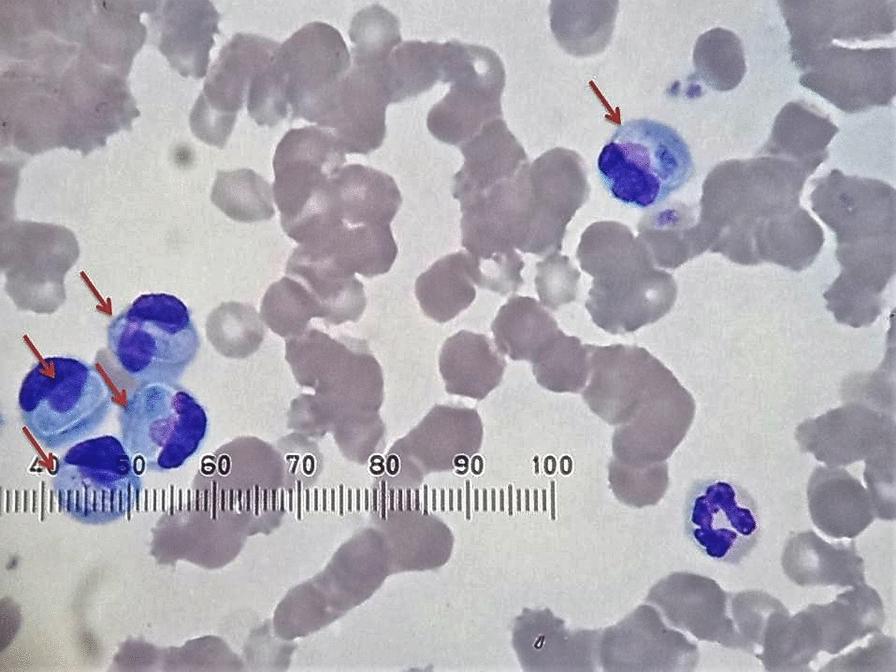
Gamonts of H. canis were found in > 50% of the neutrophils of two dogs and in < 10% of the neutrophils in another five dogs. Molecular typing by PCR sequencing of the 18S ribosomal RNA gene fragment confirmed infections in 11 dogs from different regions of Poland, in 2.7% of dogs attending veterinary practices in central Poland and in 35% of wolves from various geographical regions of Poland. Clinical features manifested mostly in older dogs, and the most common signs were anaemia and apathy. Young dogs usually remained asymptomatic.

CONCLUSIONS

This is the first report of H. canis infection in dogs and wolves in Poland. Although the exact vector of the parasite is not known, veterinary practitioners should be aware of this new parasitosis and should consider appropriate diagnostics to confirm/exclude this infection. Further studies are needed to understand the transmission routes of H. canis in domestic and wild canids in Poland.

摘要

背景

由犬肝血巴尔通体引起的犬肝血巴尔通体病是犬的一种常见感染,在地中海地区和最近的几个中欧国家(如匈牙利和德国)经常有病例报告。尽管红狐中 H. canis 的患病率很高,但迄今为止,波兰的犬中没有报告感染病例。我们在此描述了犬中 H. canis 感染的首例本地病例,包括其临床特征,并报告了来自波兰不同地区的灰狼中 H. canis 的流行情况。

方法

从犬血液样本制备的薄涂片通过显微镜检查进行评估。共检测了 60 只狼和 47 只犬。通过 PCR 和测序确认感染。

结果

在两只犬的中性粒细胞中发现了 H. canis 的配子体,占超过 50%,而在另外五只犬的中性粒细胞中占<10%。通过 18S 核糖体 RNA 基因片段的 PCR 测序进行分子分型,确认了来自波兰不同地区的 11 只犬感染,在波兰中部兽医诊所就诊的犬中占 2.7%,在来自波兰不同地理区域的各种狼中占 35%。临床特征主要表现为老年犬,最常见的症状是贫血和乏力。年轻犬通常无症状。

结论

这是波兰犬和狼中 H. canis 感染的首次报告。尽管寄生虫的确切载体尚不清楚,但兽医从业者应该意识到这种新的寄生虫病,并应考虑进行适当的诊断以确认/排除这种感染。需要进一步研究以了解 H. canis 在波兰的家养和野生犬科动物中的传播途径。

https://cdn.ncbi.nlm.nih.gov/pmc/blobs/bbd8/10476436/9f833d6f7346/13071_2023_5928_Fig1_HTML.jpg

文献AI研究员

20分钟写一篇综述,助力文献阅读效率提升50倍。

立即体验

用中文搜PubMed

大模型驱动的PubMed中文搜索引擎

马上搜索

文档翻译

学术文献翻译模型,支持多种主流文档格式。

立即体验