Suppr超能文献

从局限性到转移性的转变:一例成人TFE3阳性Xp11.2易位性肾细胞癌病例报告

The Transition From Localized to Metastatic: A Case Report of Adult TFE3-Positive Xp11.2 Translocation Renal Cell Carcinoma.

作者信息

Naviwala Mohammad Saad, Dawood Tasneem, Uddin Zeeshan, Chundriger Qurratulain, Jalbani Imran K

机构信息

Oncology, Aga Khan University Hospital, Karachi, PAK.

Pathology and Laboratory Medicine, Aga Khan University Hospital, Karachi, PAK.

出版信息

Cureus. 2023 Aug 12;15(8):e43378. doi: 10.7759/cureus.43378. eCollection 2023 Aug.

Abstract

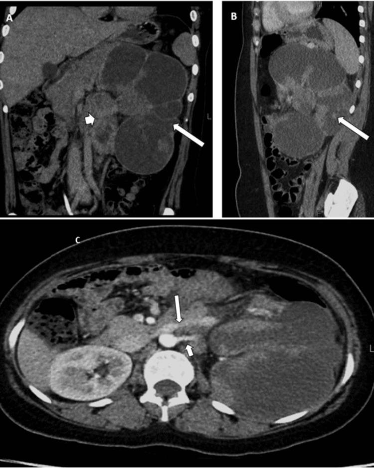
Xp11.2 translocation renal cell carcinoma (Xp11.2 RCC) is a rare tumor, occurring more frequently in childhood than in adulthood. It results from Xp11.2 chromosome translocations and the fusion of the transcription factor E3 (TFE3) gene. In this context, we present a case report of an 18-year-old female who was diagnosed with Xp11.2 RCC following open radical nephrectomy and lymph node dissection on the left side. The histopathological analysis indicated stage T3aN1Mx disease, which was confirmed through immunohistochemistry (IHC) and fluorescent in situ hybridization (FISH). The patient remained under observation until March 2023 when systemic scans uncovered the presence of ascites, peritoneal carcinomatosis, and left supraclavicular lymphadenopathy. A subsequent biopsy reaffirmed the primary disease, leading to the planning of systemic treatment involving tyrosine kinase inhibitors (TKIs) and immunotherapy. However, due to financial constraints, the patient's treatment options were limited to sunitinib initially. The current plan involves reevaluation after three months using scans to determine the subsequent course of treatment. Our case report offers crucial insights into the clinical presentation, diagnosis, and treatment of this rare malignancy. This enhances medical understanding, guides research, and improves the management of similar cases. Case reports like this share practical experiences, shaping future studies and patient care.

摘要

Xp11.2易位性肾细胞癌(Xp11.2 RCC)是一种罕见肿瘤,在儿童期比成人期更常见。它由Xp11.2染色体易位以及转录因子E3(TFE3)基因融合所致。在此背景下,我们报告一例18岁女性病例,该患者在接受左侧开放性根治性肾切除术及淋巴结清扫术后被诊断为Xp11.2 RCC。组织病理学分析显示为T3aN1Mx期疾病,通过免疫组织化学(IHC)和荧光原位杂交(FISH)得以证实。该患者一直接受观察,直至2023年3月全身扫描发现存在腹水、腹膜转移癌和左侧锁骨上淋巴结肿大。随后的活检再次确认了原发性疾病,从而制定了涉及酪氨酸激酶抑制剂(TKIs)和免疫治疗的全身治疗方案。然而,由于经济限制,患者最初的治疗选择仅限于舒尼替尼。目前的计划是三个月后通过扫描重新评估,以确定后续治疗方案。我们的病例报告为这种罕见恶性肿瘤的临床表现、诊断和治疗提供了关键见解。这增进了医学认识,指导了研究,并改善了类似病例的管理。这样的病例报告分享了实际经验,塑造了未来的研究和患者护理。

https://cdn.ncbi.nlm.nih.gov/pmc/blobs/19ac/10494990/d50293303904/cureus-0015-00000043378-i01.jpg

文献AI研究员

20分钟写一篇综述,助力文献阅读效率提升50倍。

立即体验

用中文搜PubMed

大模型驱动的PubMed中文搜索引擎

马上搜索

文档翻译

学术文献翻译模型,支持多种主流文档格式。

立即体验