Suppr超能文献

胃型(胃肠道型)子宫内膜腺癌表现为单发子宫内膜息肉:一种新型且具有潜在侵袭性的子宫内膜癌组织学类型的病例报告及文献复习。

Gastric (gastrointestinal)-type endometrial adenocarcinoma presenting as a solitary endometrial polyp: a case report and literature review on a novel and potentially aggressive endometrial cancer histotype.

机构信息

Unit of Surgical Pathology, Santa Chiara Hospital, APSS, Trento.

Department of Medical and Surgical Sciences and Advanced Technologies "G.F. Ingrassia", Anatomic Pathology, University of Catania, Catania, Italy.

出版信息

Pathologica. 2023 Aug;115(4):227-231. doi: 10.32074/1591-951X-870.

Abstract

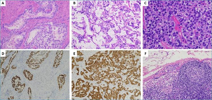
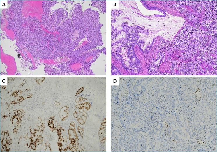
Gastric-type carcinoma of the endometrium is a rare endometrial cancer histotype, recently introduced in the 2020 WHO classification of the female genital tract tumors. Clinico-pathological features, as well as treatment strategies for this rare histotype, are not fully defined. We herein present an unusual case of endometrial carcinoma with mucinous features arising in a 58-year-old menopausal woman. Morphological features of the present case as well as immunohistochemical profile were consistent with gastrointestinal differentiation. Therefore, after clinical and imaging studies ruled out the possibility of a metastatic origin, a final diagnosis of gastric-type carcinoma of the endometrium was rendered.

摘要

胃型子宫内膜癌是一种罕见的子宫内膜癌组织学类型,最近被纳入 2020 年女性生殖道肿瘤 WHO 分类。这种罕见组织学类型的临床病理特征和治疗策略尚未完全明确。本文报告了一例发生于 58 岁绝经后女性的具有黏液特征的子宫内膜癌的不典型病例。本病例的形态学特征和免疫组织化学表型均符合胃肠道分化。因此,在临床和影像学研究排除转移来源的可能性后,最终诊断为胃型子宫内膜癌。

https://cdn.ncbi.nlm.nih.gov/pmc/blobs/dab6/10688243/6fa058255835/pathol-2023-04-227-g001.jpg

文献AI研究员

20分钟写一篇综述,助力文献阅读效率提升50倍。

立即体验

用中文搜PubMed

大模型驱动的PubMed中文搜索引擎

马上搜索

文档翻译

学术文献翻译模型,支持多种主流文档格式。

立即体验