Suppr超能文献

非综合征性腭裂受累组织中BARX1、DLX4、FOXE1、HOXB3和MSX2的免疫组织化学评估

Immunohistochemical Evaluation of BARX1, DLX4, FOXE1, HOXB3, and MSX2 in Nonsyndromic Cleft Affected Tissue.

作者信息

Vaivads Mārtiņš, Akota Ilze, Pilmane Māra

机构信息

Institute of Anatomy and Anthropology, Riga Stradins University, Riga, Latvia.

Department of Oral and Maxillofacial Surgery, Riga Stradins University, Riga, Latvia.

出版信息

Acta Med Litu. 2022;29(2):271-294. doi: 10.15388/Amed.2022.29.2.13. Epub 2022 Jun 29.

Abstract

BACKGROUND

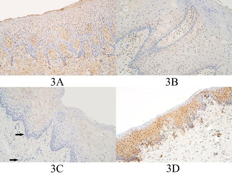
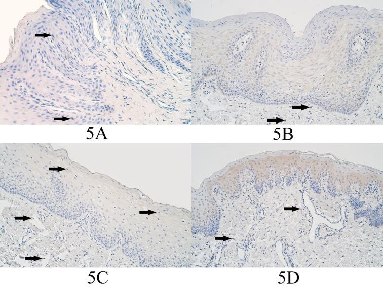
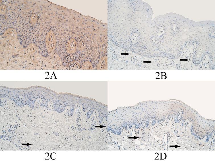
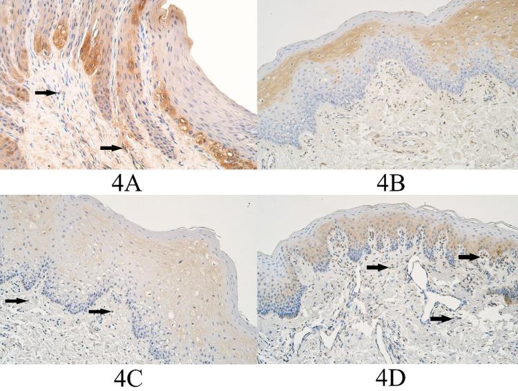
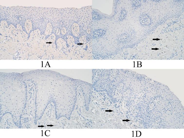
Nonsyndromic craniofacial clefts are relatively common congenital malformations which could create a significant negative effect on the health status and life quality of affected individuals within the pediatric population. Multiple cleft candidate genes and their coded proteins have been described with their possible involvement during cleft formation. Some of these proteins like Homeobox Protein BarH-like 1 (BARX1), Distal-Less Homeobox 4 (DLX4), Forkhead Box E1 (FOXE1), Homeobox Protein Hox-B3 (HOXB3), and Muscle Segment Homeobox 2 (MSX2) have been associated with the formation of craniofacial clefts. Understanding the pathogenetic mechanisms of nonsyndromic craniofacial cleft formation could provide a better knowledge in cleft management and could be a possible basis for development and improvement of cleft treatment options. This study investigates the presence of BARX1, DLX4, FOXE1, HOXB3, and MSX2 positive cells by using immunohistochemistry in different types of cleft-affected tissue while determining their possible connection with cleft pathogenesis process.

MATERIALS AND METHODS

Craniofacial cleft tissue material was obtained during cleft-correcting surgery from patients with nonsyndromic craniofacial cleft diagnosis. Tissue material was gathered from patients who had unilateral cleft lip (n=36), bilateral cleft lip (n=13), and cleft palate (n=26). Control group (n=7) tissue material was received from individuals without any craniofacial clefts. The number of factor positive cells in the control group and patient group tissue was evaluated by using the semiquantitative counting method. Data was evaluated with the use of nonparametric statistical methods.

RESULTS

Statistically significant differences were identified between the number of BARX1, FOXE1, HOXB3, and MSX2-containing cells in controls and cleft patient groups but no statistically significant difference was found for DLX4. Statistically significant correlations between the evaluated factors were also notified in cleft patient groups.

CONCLUSIONS

HOXB3 could be more associated with morphopathogenesis of unilateral cleft lip during postnatal course of the disorder. FOXE1 and BARX1 could be involved with both unilateral and bilateral cleft lip morphopathogenesis. The persistence of MSX2 in all evaluated cleft types could indicate its possible interaction within multiple cleft types. DLX4 most likely is not involved with postnatal cleft morphopathogenesis process.

摘要

背景

非综合征性颅面裂是相对常见的先天性畸形,会对儿科患者的健康状况和生活质量产生重大负面影响。已经描述了多个腭裂候选基因及其编码蛋白,它们可能参与腭裂形成过程。其中一些蛋白,如同源框蛋白BarH样1(BARX1)、远端缺失同源框4(DLX4)、叉头框E1(FOXE1)、同源框蛋白Hox-B3(HOXB3)和肌节同源框2(MSX2),与颅面裂的形成有关。了解非综合征性颅面裂形成的发病机制有助于更好地处理腭裂问题,并可能为腭裂治疗方案的开发和改进提供依据。本研究通过免疫组织化学方法,研究不同类型腭裂组织中BARX1、DLX4、FOXE1、HOXB3和MSX2阳性细胞的存在情况,并确定它们与腭裂发病机制的可能联系。

材料与方法

在非综合征性颅面裂患者的腭裂修复手术中获取颅面裂组织材料。组织材料来自单侧唇裂患者(n = 36)、双侧唇裂患者(n = 13)和腭裂患者(n = 26)。对照组(n = 7)组织材料取自无任何颅面裂的个体。采用半定量计数法评估对照组和患者组组织中因子阳性细胞的数量。数据采用非参数统计方法进行评估。

结果

对照组和腭裂患者组中,含BARX1、FOXE1、HOXB3和MSX2的细胞数量存在统计学显著差异,但DLX4无统计学显著差异。腭裂患者组中评估的因子之间也存在统计学显著相关性。

结论

HOXB3可能与单侧唇裂出生后病程中的形态发病机制更相关。FOXE1和BARX1可能参与单侧和双侧唇裂的形态发病机制。MSX2在所有评估的腭裂类型中持续存在,可能表明其在多种腭裂类型中存在相互作用。DLX4很可能不参与出生后腭裂的形态发病机制过程。

https://cdn.ncbi.nlm.nih.gov/pmc/blobs/f111/9799009/f5e3c38dab87/amed-29-271-g001.jpg

文献AI研究员

20分钟写一篇综述,助力文献阅读效率提升50倍。

立即体验

用中文搜PubMed

大模型驱动的PubMed中文搜索引擎

马上搜索

文档翻译

学术文献翻译模型,支持多种主流文档格式。

立即体验